Comparison

Anti-RAB7/RAB7A Antibody Picoband® European Partner

Item no. BOS-A02409-1-Biotin
Manufacturer Boster
Amount 100 ug
Quantity options 100 ug/vial 10 ug 100 ug 100 ug 100 ug 100 ug 100 ug 100 ug 100 ug 100 ug 100 ug 100 ug
Category
Type Antibody
Format Lyophilized
Applications WB, FC, IHC, ELISA
Specific against Human (Homo sapiens), Mouse (Murine, Mus musculus), Rat (Rattus norvegicus)
Host Rabbit
Isotype IgG
Conjugate/Tag Biotin
Citations 1. Entrez Gene: RAB7A RAB7A, member RAS oncogene family.
2. Davies JP, Cotter PD, Ioannou YA (Apr 1997). Cloning and mapping of human Rab7 and Rab9 cDNA sequences and identification of a Rab9 pseudogene. Genomics 41 (1): 131–4.
3. Kashuba VI, Gizatullin RZ, Protopopov AI, Allikmets R, Korolev S, Li J, Boldog F, Tory K, Zabarovska V, Marcsek Z, Sumegi J, Klein G, Zabarovsky ER, Kisselev L (Dec 1997). NotI linking/jumping clones of human chromosome 3: mapping of the TFRC, RAB7 and HAUSP genes to regions rearranged in leukemia and deleted in solid tumors. FEBS Letters 419 (2-3): 181–5.
ECLASS 10.1 32160702
ECLASS 11.0 32160702
UNSPSC 12352203
Alias Nuclear pore complex protein Nup214,214 kDa nucleoporin,Nucleoporin Nup214,Protein CAN,NUP214,CAIN,CAN,KIAA0023
Available
Manufacturer - Category
Primary Antibodies
Storage Conditions
At -20°C for one year from date of receipt.
After reconstitution, at 4°C for one month. It can also be aliquotted and stored frozen at -20°C for six months.
Avoid repeated freezing and thawing.
Observed Molecular weight
23 kDa
Calculated Molecular weight
78948 MW
Clonality
Polyclonal
Application Details
Western blot, 0.25-0.5 μg/ml, Human, Mouse, Rat
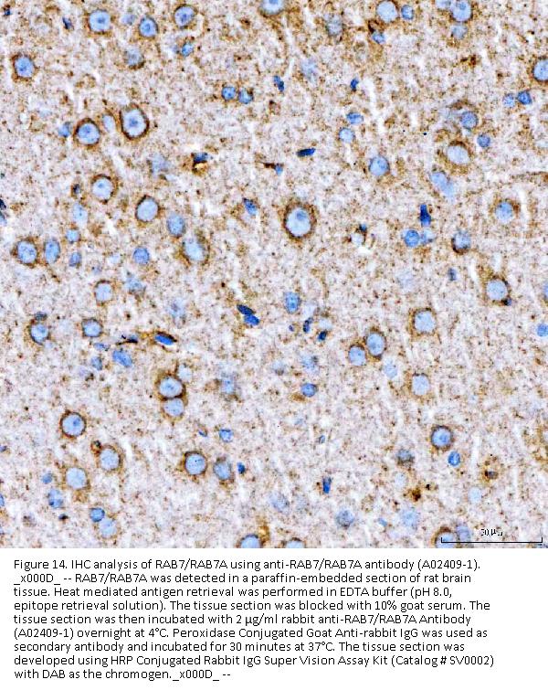
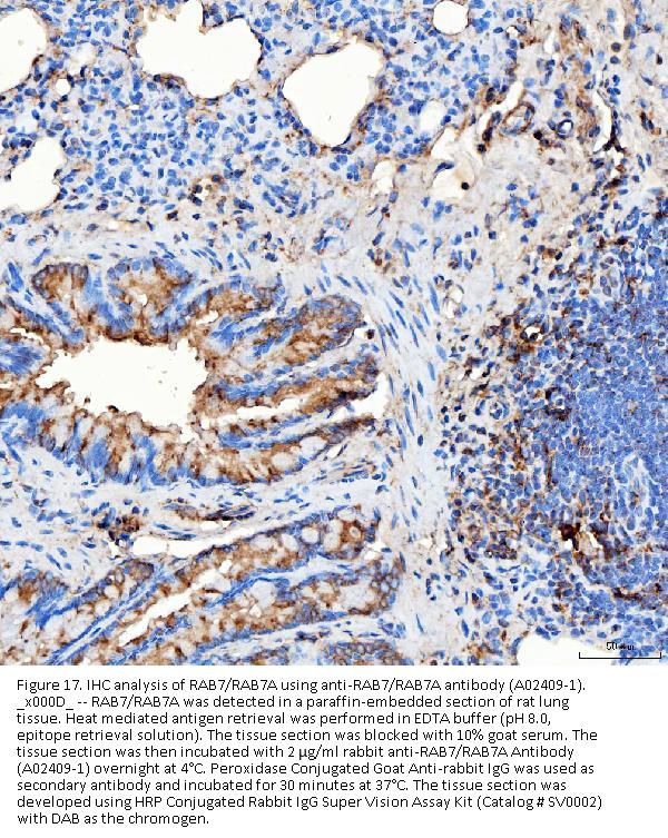
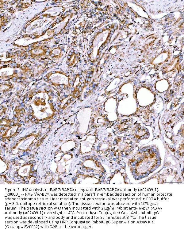
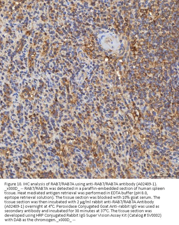
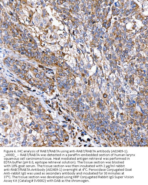
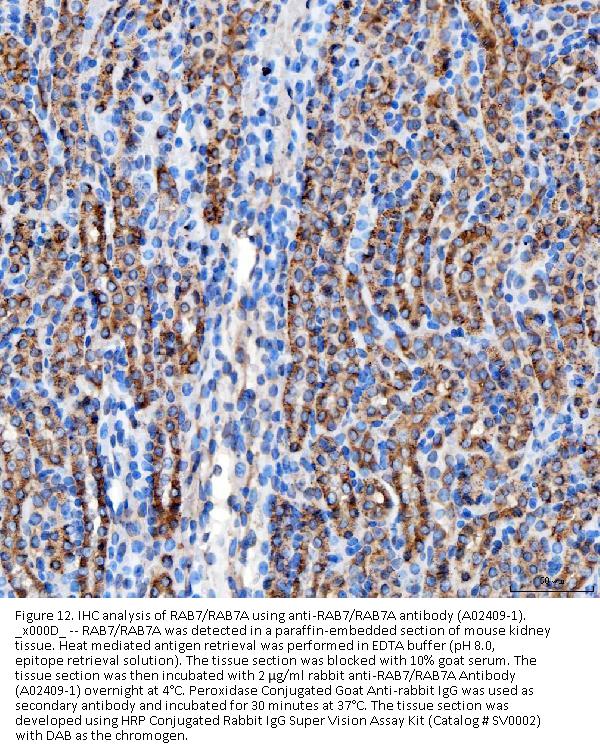
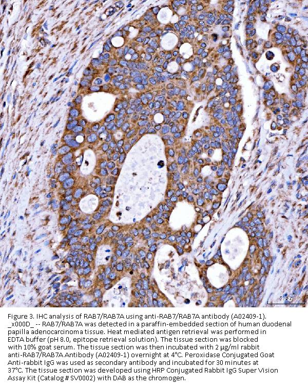
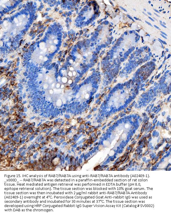
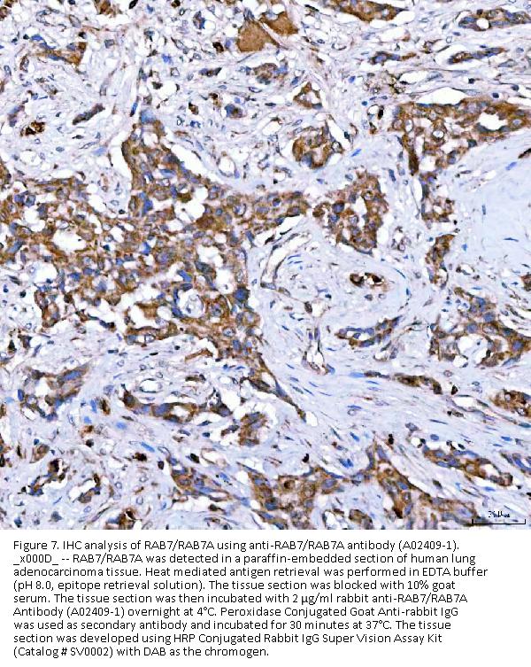
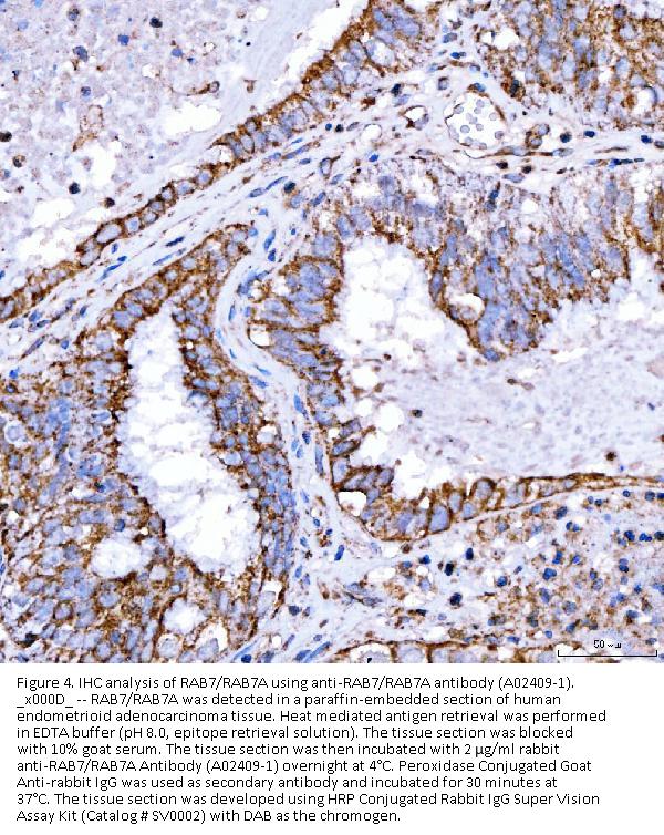
Immunohistochemistry(Paraffin-embedded Section), 2-5 μg/ml, Human, Mouse, Rat
Flow Cytometry (Fixed), 1-3 μg/1x106 cells, Human
ELISA, 0.1-0.5 μg/ml
Gene Name
RAB7A
Gene Full Name
nucleoporin 214
Background
Ras-related protein Rab-7a is a protein that in humans is encoded by the RAB7A gene. RAB7A functions as a key regulator in endo-lysosomal trafficking, governs early-to-late endosomal maturation, microtubule minus-end as well as plus-end ed endosomal migration and positions, and endosome-lysosome transport through different protein-protein interaction cascades. Furthermore, RAB7A is involved in regulation of some specialized endosomal membrane trafficking, such as maturation of melanosomes through modulation of SOX10 and the oncogene MYC. Mutations in the lysosomal pathway result in tumor progression in melanoma cells.
Immunogen
E.coli-derived human RAB7/RAB7A recombinant protein (Position: K21-E177).
Contents
Each vial contains 4 mg Trehalose, 0.9 mg NaCl, 0.2 mg Na2HPO4.
Purification
Immunogen affinity purified.
Reconstitution
Adding 0.2 ml of distilled water will yield a concentration of 500 μg/ml.
Concentration
Adding 0.2 ml of distilled water will yield a concentration of 500 μg/ml.
Manufacturer - Research Category
Cytoplasmic, Signaling Pathways, Stem Cells
Protein Name
Segment polarity protein dishevelled homolog DVL-2
Protein Function
May serve as a docking site in the receptor-mediated import of substrates across the nuclear pore complex.
Subcellular Localization
Cell membrane; Peripheral membrane protein; Cytoplasmic side. Cytoplasm, cytosol. Cytoplasmic vesicle. Localizes at the cell membrane upon interaction with frizzled family members and promotes their internalization. Localizes to cytoplasmic puncta (By similarity).
Description
Boster Bio Anti-RAB7/RAB7A Antibody Picoband® catalog # A02409-1. Tested in ELISA, Flow Cytometry, IHC, WB applications. This antibody reacts with Human, Mouse, Rat. The brand Picoband indicates this is a premium antibody that guarantees superior quality, high affinity, and strong signals with minimal background in Western blot applications. Only our best-performing antibodies are designated as Picoband, ensuring unmatched performance.
Tissue Specificity
Expressed in thymus, spleen, bone marrow, kidney, brain and testis, but hardly in all other tissues or in whole embryos during development.
Manufacturer - Cross Reactivity
No cross-reactivity with other proteins.

Note: The presented information and documents (Manual, Product Datasheet, Safety Datasheet and Certificate of Analysis) correspond to our latest update and should serve for orientational purpose only. We do not guarantee the topicality. We would kindly ask you to make a request for specific requirements, if necessary.

All products are intended for research use only (RUO). Not for human, veterinary or therapeutic use.

Amount: 100 ug
Available: In stock
available

Compare

Add to wishlist

Get an offer

Request delivery time

Ask a technical question

Submit a bulk request

Questions about this Product?