Comparison

Anti-Milk Fat Globule 1/MFGE8 Antibody Picoband® European Partner

Item no. BOS-A02518-3-Dylight550
Manufacturer Boster
Amount 100 ug
Quantity options 100 ug/vial 10 ug 100 ug/vial 100 ug/vial 100 ug/vial 100 ug 100 ug 100 ug 100 ug/vial 100 ug/vial 100 ug/vial 100 ug/vial
Category
Type Antibody
Format Lyophilized
Applications WB, IHC, ELISA
Specific against Human (Homo sapiens)
Host Rabbit
Isotype IgG
Conjugate/Tag Dylight 550
Citations 1. Bu, H.-F., Zuo, X.-L., Wang, X., Ensslin, M. A., Koti, V., Hsueh, W., Raymond, A. S., Shur, B. D., Tan, X.-D. Milk fat globule-EGF factor 8/lactadherin plays a crucial role in maintenance and repair of murine intestinal epithelium. J. Clin. Invest. 117: 3673-3683, 2007.
2. Collins, C., Nehlin, J. O., Stubbs, J. D., Kowbel, D., Kuo, W.-L., Parry, G. Mapping of a newly discovered human gene homologous to the apoptosis associated-murine mammary protein, MFG-E8, to chromosome 15q25. Genomics 39: 117-118, 1997.
3. Hanayama, R., Tanaka, M., Miwa, K., Shinohara, A., Iwamatsu, A., Nagata, S. Identification of a factor that links apoptotic cells to phagocytes. Nature 417: 182-187, 2002.
ECLASS 10.1 32160702
ECLASS 11.0 32160702
UNSPSC 12352203
Alias Tumor necrosis factor receptor superfamily member 4,MRC OX40,OX40 antigen,OX40L receptor,CD134,Tnfrsf4,Ox40,Txgp1l
Available
Manufacturer - Category
Primary Antibodies
Storage Conditions
At -20°C for one year from date of receipt.
After reconstitution, at 4°C for one month. It can also be aliquotted and stored frozen at -20°C for six months.
Avoid repeated freezing and thawing.
Observed Molecular weight
43 kDa
Clonality
Polyclonal
Application Details
Western blot, 0.25-0.5 μg/ml, Human
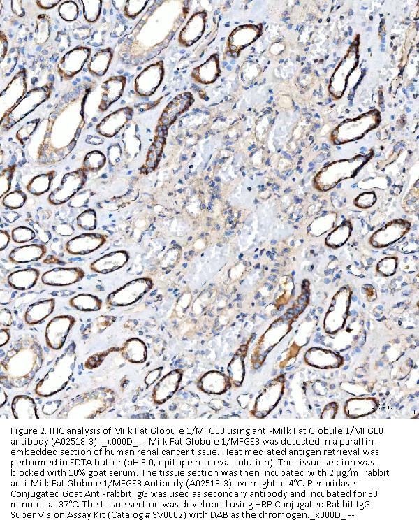
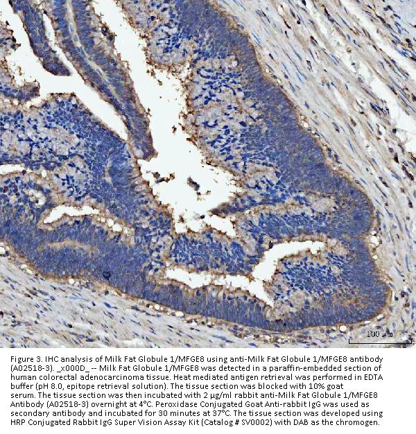
Immunohistochemistry(Paraffin-embedded Section), 2-5 μg/ml, Human
ELISA, 0.1-0.5 μg/ml
Gene Name
MFGE8
Gene Full Name
TNF receptor superfamily member 4
Background
MFGE8(Milk Fat Globule-Egf Factor 8), also called as Lactadherin or SED1, is a protein which in humans is encoded by the MFGE8 gene. Mfge8 is secreted protein found in vertebrates, including mammals as well as birds. By fluorescence in situ hybridization, Collins et al.(1997) mapped the MFGE8 gene to chromosome 15q25. Hanayama et al.(2002) found that MFGE8 is a factor that links apoptotic cells to phagocytes. MFGE8 specifically bound to apoptotic cells by recognizing aminophospholipids such as phosphatidylserine. MFGE8, when engaged by phospholipids, bound to cells via its RGD motif. It bound particularly strongly to cells expressing alpha-V-beta-3 integrin. Bu et al.(2007) showed that Mfge8 was expressed in intestinal lamina propria macrophages in mice. Using a wound-healing assay, they showed that Mfge8 promoted migration of intestinal epithelial cells through a PKC-epsilon(PRKCE)-dependent mechanism.
Immunogen
E.coli-derived human Milk Fat Globule 1/MFGE8 recombinant protein (Position: L24-C387).
Contents
Each vial contains 4 mg Trehalose, 0.9 mg NaCl, 0.2 mg Na2HPO4.
Purification
Immunogen affinity purified.
Reconstitution
Adding 0.2 ml of distilled water will yield a concentration of 500 μg/ml.
Concentration
Adding 0.2 ml of distilled water will yield a concentration of 500 μg/ml.
Manufacturer - Research Category
Adaptive Immunity, Autoimmune, B Cells, Cytokines, Hematopoietic Progenitors, Immune System Diseases, Immunology, Innate Immunity, Lymphoid, Stem Cells, T Cells, T Lymphocytic Lineage, TNF Superfamily
Protein Function
Receptor for TNFSF4/OX40L/GP34. Is a costimulatory molecule implicated in long-term T-cell immunity (By similarity).
Subcellular Localization
Membrane; Single-pass type I membrane protein.
Description
Boster Bio Anti-Milk Fat Globule 1/MFGE8 Antibody Picoband® catalog # A02518-3. Tested in ELISA, IHC, WB applications. This antibody reacts with Human. The brand Picoband indicates this is a premium antibody that guarantees superior quality, high affinity, and strong signals with minimal background in Western blot applications. Only our best-performing antibodies are designated as Picoband, ensuring unmatched performance.
Manufacturer - Cross Reactivity
No cross-reactivity with other proteins.

Note: The presented information and documents (Manual, Product Datasheet, Safety Datasheet and Certificate of Analysis) correspond to our latest update and should serve for orientational purpose only. We do not guarantee the topicality. We would kindly ask you to make a request for specific requirements, if necessary.

All products are intended for research use only (RUO). Not for human, veterinary or therapeutic use.

Amount: 100 ug
Available: In stock
available

Compare

Add to wishlist

Get an offer

Request delivery time

Ask a technical question

Submit a bulk request

Questions about this Product?