Comparison

Anti-MCM6 Antibody Picoband® European Partner

Item no. BOS-A02755-1-APC
Manufacturer Boster
Amount 100 ug
Quantity options 100 ug/vial 10 ug 100 ug 100 ug 100 ug 100 ug 100 ug 100 ug 100 ug 100 ug 100 ug 100 ug
Category
Type Primary Antibody
Format Lyophilized
Applications WB, FC, IF, IHC, ICC, ELISA
Specific against Human (Homo sapiens), Mouse (Murine, Mus musculus), Rat (Rattus norvegicus)
Host Rabbit
Isotype IgG
Conjugate/Tag APC
Citations 1. Bersaglieri, T., Sabeti, P. C., Patterson, N., Vanderploeg, T., Schaffner, S. F., Drake, J. A., Rhodes, M., Reich, D. E., Hirschhorn, J. N. Genetic signatures of strong recent positive selection at the lactase gene. Am. J. Hum. Genet. 74: 1111-1120, 2004.
2. Coelho, M., Luiselli, D., Bertorelle, G., Lopes, A. I., Seixas, S., Destro-Bisol, G., Rocha, J. Microsatellite variation and evolution of human lactase persistence. Hum. Genet. 117: 329-339, 2005.
3. Enattah, N. S., Sahi, T., Savilahti, E., Terwilliger, J. D., Peltonen, L., Jarvela, I. Identification of a variant associated with adult-type hypolactasia. Nature Genet. 30: 233-237, 2002.
ECLASS 10.1 32160702
ECLASS 11.0 32160702
UNSPSC 12352203
Alias Platelet basic protein,PBP,C-X-C motif chemokine 7,Leukocyte-derived growth factor,LDGF,Macrophage-derived growth factor,MDGF,Small-inducible cytokine B7,PPBP,CTAP3,CXCL7,SCYB7,TGB1,THBGB1,NAP-2
Available
Manufacturer - Category
Primary Antibodies
Storage Conditions
Store at -20°C for one year from date of receipt. After reconstitution, at 4°C for one month. It can also be aliquotted and stored frozen at -20°C for six months. Avoid repeated freeze-thaw cycles.
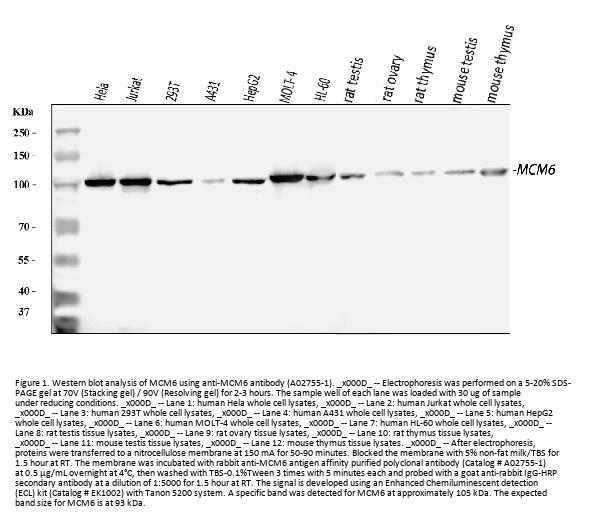
Observed Molecular weight
105 kDa
Calculated Molecular weight
12252 MW
Clonality
Polyclonal
Application Details
Western blot, 0.25-0.5μg/ml, Human, Mouse, Rat
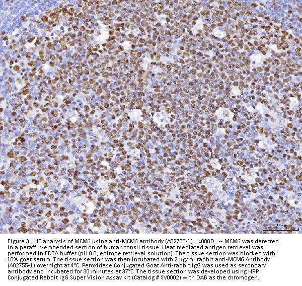
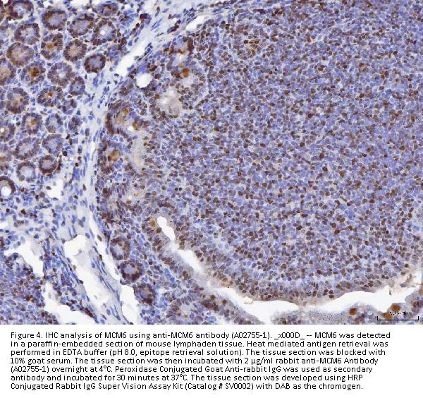
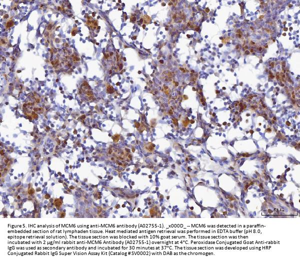
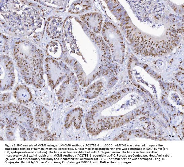
Immunohistochemistry (Paraffin-embedded Section), 2-5μg/ml, Human, Mouse, Rat
Immunocytochemistry/Immunofluorescence, 5μg/ml, Human
Flow Cytometry (Fixed), 1-3μg/1x106 cells, Human
ELISA, 0.1-0.5μg/ml
Gene Name
MCM6
Gene Full Name
Neutrophil-activating peptide 2
Background
MCM6 (Minichromosome maintenance, s. pombe, homolog of, 6) is a protein that in humans is encoded by the MCM6 gene. MCM6 is one of the highly conserved mini-chromosome maintenance proteins (MCM) that are essential for the initiation of eukaryotic genome replication. The MCM genes were originally identified in yeast defective in minichromosome maintenance and have since been shown to play roles in the progression of the cell cycle; many are cell division control genes. The MCM6 gene is mapped on 2q21.3. Mcm 6 has recently been shown to interact strongly Cdt1 at defined residues, by mutating these target residues Wei et al. observed lack of Cdt1 recruitment of Mcm2-7 to the pre-RC. An approximately 200-kb region surrounding the C/T (-13910) polymorphism in MCM6 intron 13 functioned as an enhancer of the lactase gene promoter in intestinal cell culture.
Immunogen
E.coli-derived human MCM6 recombinant protein (Position: Q14-D821).
Contents
Each vial contains 4 mg Trehalose, 0.9 mg NaCl and 0.2 mg Na2HPO4.
Purification
Immunogen affinity purified.
Reconstitution
Add 0.2ml of distilled water will yield a concentration of 500ug/ml.
Concentration
Adding 0.2 ml of distilled water will yield a concentration of 500 μg/ml.
Manufacturer - Research Category
Cardiovascular, Chemokines, Immunology, Innate Immunity, Platelets
Protein Function
LA-PF4 stimulates DNA synthesis, mitosis, glycolysis, intracellular cAMP accumulation, prostaglandin E2 secretion, and synthesis of hyaluronic acid and sulfated glycosaminoglycan. It also stimulates the formation and secretion of plasminogen activator by human synovial cells. NAP-2 is a ligand for CXCR1 and CXCR2, and NAP-2, NAP-2 (73), NAP-2 (74), NAP-2 (1-66), and most potent NAP-2 (1-63) are chemoattractants and activators for neutrophils. TC-1 and TC-2 are antibacterial proteins, in vitro released from activated platelet alpha-granules. CTAP-III (1-81) is more potent than CTAP-III desensitize chemokine-induced neutrophil activation.
Description
Boster Bio Anti-MCM6 Antibody Picoband® catalog # A02755-1. Tested in ELISA, Flow Cytometry, IF, IHC, ICC, WB applications. This antibody reacts with Human, Mouse, Rat. The brand Picoband indicates this is a premium antibody that guarantees superior quality, high affinity, and strong signals with minimal background in Western blot applications. Only our best-performing antibodies are designated as Picoband, ensuring unmatched performance.

Note: The presented information and documents (Manual, Product Datasheet, Safety Datasheet and Certificate of Analysis) correspond to our latest update and should serve for orientational purpose only. We do not guarantee the topicality. We would kindly ask you to make a request for specific requirements, if necessary.

All products are intended for research use only (RUO). Not for human, veterinary or therapeutic use.

Amount: 100 ug
Available: In stock
available

Compare

Add to wishlist

Get an offer

Request delivery time

Ask a technical question

Submit a bulk request

Questions about this Product?