Comparison

Anti-VRL1/TRPV2 Antibody Picoband® European Partner

Item no. BOS-A02786-3-Dylight550
Manufacturer Boster
Amount 100 ug
Quantity options 100 ug/vial 10 ug 100 ug 100 ug 100 ug 100 ug 100 ug 100 ug 100 ug 100 ug 100 ug 100 ug
Category
Type Primary Antibody
Format Lyophilized
Applications WB, FC, ELISA
Specific against Human (Homo sapiens), Mouse (Murine, Mus musculus), Rat (Rattus norvegicus)
Host Rabbit
Isotype IgG
Conjugate/Tag Dylight 550
Citations 1. Caterina, M. J., Rosen, T. A., Tominaga, M., Brake, A. J., Julius, D. A capsaicin-receptor homologue with a high threshold for noxious heat. Nature 398: 436-441, 1999.
2. Iwata, Y., Katanosaka, Y., Arai, Y., Shigekawa, M., Wakabayashi, S. Dominant-negative inhibition of Ca(2+) influx via TRPV2 ameliorates muscular dystrophy in animal models. Hum. Molec. Genet. 18: 824-834, 2009.
ECLASS 10.1 32160702
ECLASS 11.0 32160702
UNSPSC 12352203
Alias CD3 antigen,epsilon polypeptide,CD3e molecule,Cd3e,Cd3e_predicted,rCG_58471
Available
Manufacturer - Category
Primary Antibodies
Storage Conditions
Store at -20°C for one year from date of receipt. After reconstitution, at 4°C for one month. It can also be aliquotted and stored frozen at -20°C for six months. Avoid repeated freeze-thaw cycles.
Observed Molecular weight
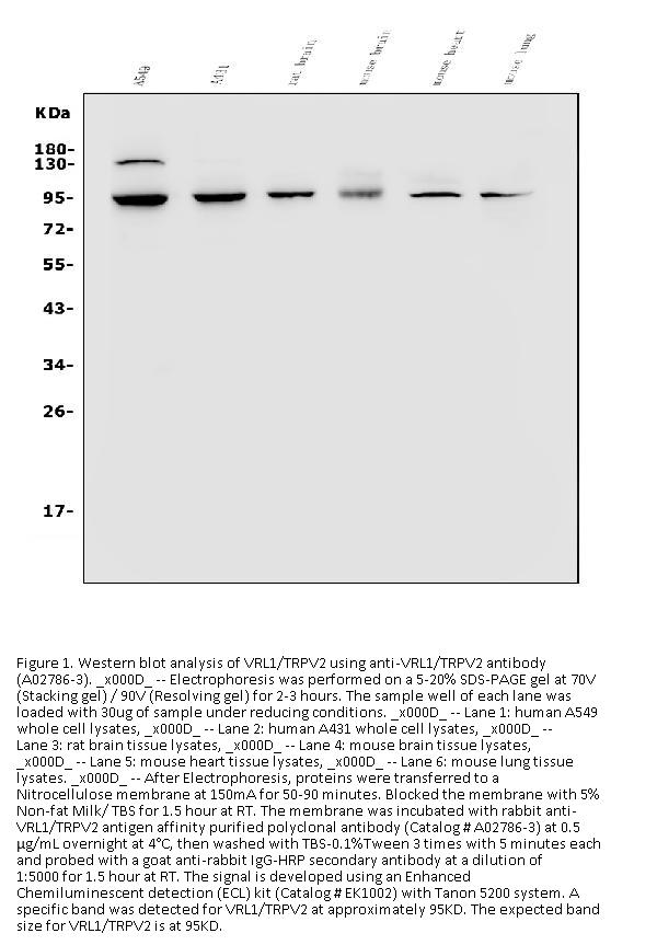
95 kDa
Calculated Molecular weight
12252 MW
Clonality
Polyclonal
Application Details
Western blot, 0.25-0.5μg/ml, Human, Mouse, Rat
Flow Cytometry (Fixed), 1-3μg/1x106 cells, Human
ELISA, 0.1-0.5μg/ml
Gene Name
TRPV2
Gene Full Name
CD3e molecule
Background
TRPV2 (Transient Receptor Potential Cation Channel Subfamily V Member 2), also known as VRL1, is a protein that, in humans, is encoded by the TRPV1 gene. The International Radiation Hybrid Mapping Consortium mapped the TRPV2 gene to chromosome 17. This gene encodes an ion channel that is activated by high temperatures above 52C. The protein may be involved in transduction of high-temperature heat responses in sensory ganglia. It is though that in other tissues the channel may be activated by stimuli other than heat.
Immunogen
E.coli-derived human VRL1/TRPV2 recombinant protein (Position: S7-K390).
Contents
Each vial contains 4mg Trehalose, 0.9mg NaCl, 0.2mg Na2HPO4, 0.01mg NaN3.
Purification
Immunogen affinity purified.
Reconstitution
Add 0.2ml of distilled water will yield a concentration of 500ug/ml.
Concentration
Adding 0.2 ml of distilled water will yield a concentration of 500 μg/ml.
Manufacturer - Research Category
Cardiovascular, Chemokines, Immunology, Innate Immunity, Platelets
Protein Function
Part of the TCR-CD3 complex present on T-lymphocyte cell surface that plays an essential role in adaptive immune response. When antigen presenting cells (APCs) activate T-cell receptor (TCR), TCR-mediated signals are transmitted across the cell membrane by the CD3 chains CD3D, CD3E, CD3G and CD3Z. All CD3 chains contain immunoreceptor tyrosine-based activation motifs (ITAMs) in their cytoplasmic domain. Upon TCR engagement, these motifs become phosphorylated by Src family protein tyrosine kinases LCK and FYN, resulting in the activation of downstream signaling pathways. In addition of this role of signal transduction in T-cell activation, CD3E plays an essential role in correct T-cell development (PubMed:19956738, PubMed:24899501). Participates also in internalization and cell surface down-regulation of TCR-CD3 complexes via endocytosis sequences present in CD3E cytosolic region.
Subcellular Localization
alpha-beta T cell receptor complex; external side of plasma membrane; immunological synapse; cell body; cell-cell junction; dendritic spine; integral component of membrane
Description
Boster Bio Anti-VRL1/TRPV2 Antibody Picoband® catalog # A02786-3. Tested in ELISA, Flow Cytometry, WB applications. This antibody reacts with Human, Mouse, Rat. The brand Picoband indicates this is a premium antibody that guarantees superior quality, high affinity, and strong signals with minimal background in Western blot applications. Only our best-performing antibodies are designated as Picoband, ensuring unmatched performance.
Manufacturer - Cross Reactivity
No cross-reactivity with other proteins.

Note: The presented information and documents (Manual, Product Datasheet, Safety Datasheet and Certificate of Analysis) correspond to our latest update and should serve for orientational purpose only. We do not guarantee the topicality. We would kindly ask you to make a request for specific requirements, if necessary.

All products are intended for research use only (RUO). Not for human, veterinary or therapeutic use.

Amount: 100 ug
Available: In stock
available

Compare

Add to wishlist

Get an offer

Request delivery time

Ask a technical question

Submit a bulk request

Questions about this Product?