Comparison

Anti-CDR2 Antibody Picoband® European Partner

Item no. BOS-A02973-2-FITC
Manufacturer Boster
Amount 100 ug
Quantity options 100 ug/vial 10 ug 100 ug 100 ug 100 ug 100 ug 100 ug 100 ug 100 ug 100 ug 100 ug 100 ug
Category
Type Primary Antibody
Format Lyophilized
Applications WB, FC, IHC, ELISA
Specific against Human (Homo sapiens)
Host Rabbit
Isotype IgG
Conjugate/Tag FITC
Citations 1. Fletcher, C. F., Okano, H. J., Gilbert, D. J., Yang, Y., Yang, C., Copeland, N. G., Jenkins, N. A., Darnell, R. B. Mouse chromosomal locations of nine genes encoding homologs of human paraneoplastic neurologic disorder antigens. Genomics 45: 313-319, 1997.
2. Furneaux, H. M., Rosenblum, M. K., Dalmau, J., Wong, E., Woodruff, P., Graus, F., Posner, J. B. Selective expression of Purkinje-cell antigens in tumor tissue from patients with paraneoplastic cerebellar degeneration. New Eng. J. Med. 322: 1844-1851, 1990.
3. Gress, T., Baldini, A., Rocchi, M., Furneaux, H., Posner, J. B., Siniscalco, M. In situ mapping of the gene coding for a leucine zipper DNA binding protein (CDR 2) to the region between two rare fragile sites of autosome 16 (16p12-p13.1). (Abstract) Cytogenet. Cell Genet. 58: 1999-2000, 1991.
ECLASS 10.1 32160702
ECLASS 11.0 32160702
UNSPSC 12352203
Alias Cerebellar degeneration-related protein 2,Major Yo paraneoplastic antigen,Paraneoplastic cerebellar degeneration-associated antigen,CDR2,PCD17
Available
Manufacturer - Category
Primary Antibodies
Storage Conditions
Store at -20°C for one year from date of receipt. After reconstitution, at 4°C for one month. It can also be aliquotted and stored frozen at -20°C for six months. Avoid repeated freeze-thaw cycles.
Observed Molecular weight
62 kDa
Calculated Molecular weight
51855 MW
Clonality
Polyclonal
Application Details
Western blot, 0.25-0.5μg/ml, Human
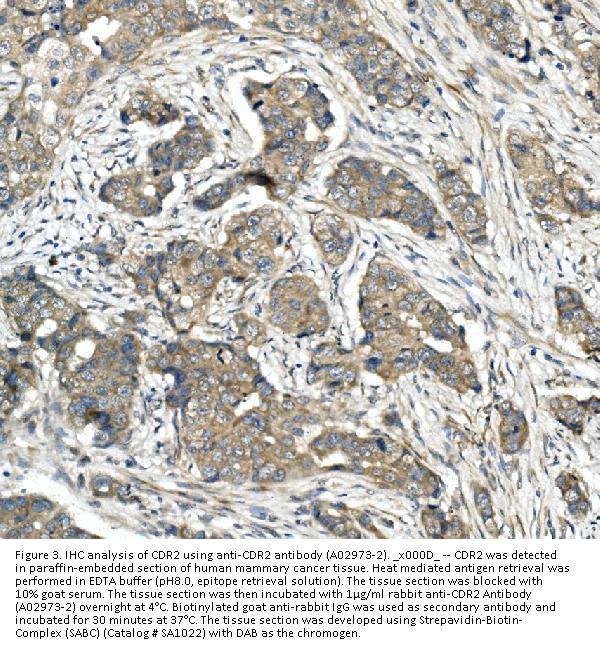
Immunohistochemistry (Paraffin-embedded Section), 0.5-1μg/ml, Human
Flow Cytometry (Fixed), 1-3μg/1x106 cells, Human
ELISA, 0.1-0.5μg/ml
Gene Name
CDR2
Gene Full Name
cerebellar degeneration related protein 2
Manufacturer - Specificity
No cross reactivity with other proteins.
Background
Cerebellar degeneration-related protein 2 is a protein that in humans is encoded by the CDR2 gene. By a combination of study of rodent/human somatic cell hybrids and in situ hybridization, this gene is assigned to 16p13.1-p12. The onconeuronal cerebellar degeneration-related antigen Cdr2 is associated with paraneoplastic syndromes. Neoplastic expression of Cdr2 in ovary and breast tumors triggers an autoimmune response that suppresses tumor growth by developing tumor immunity, but culminates in cerebellar degeneration when Cdr2-specific immune cells recognize neuronal Cdr2.
Immunogen
E.coli-derived human CDR2 recombinant protein (Position: M1-D441).
Contents
Each vial contains 4mg Trehalose, 0.9mg NaCl, 0.2mg Na2HPO4, 0.05mg NaN3.
Purification
Immunogen affinity purified.
Reconstitution
Add 0.2ml of distilled water will yield a concentration of 500ug/ml.
Concentration
Adding 0.2 ml of distilled water will yield a concentration of 500 μg/ml.
Manufacturer - Research Category
Autoimmune, Cancer, Immune System Diseases, Immunology, Oncoproteins, Tumor Biomarkers
Protein Name
Cerebellar degeneration-related protein 2
Protein Function
Binds and regulates the promoters of the insulin, glucagon and somatostatin genes. Involved in the specificarion of motor neurons in cooperation with LHX3 and LDB1 (By similarity).
Subcellular Localization
Cytoplasm.
Description
Boster Bio Anti-CDR2 Antibody Picoband® catalog # A02973-2. Tested in ELISA, Flow Cytometry, IHC, WB applications. This antibody reacts with Human. The brand Picoband indicates this is a premium antibody that guarantees superior quality, high affinity, and strong signals with minimal background in Western blot applications. Only our best-performing antibodies are designated as Picoband, ensuring unmatched performance.
Tissue Specificity
Expressed in subsets of neurons of the adrenal medulla and dorsal root ganglion, inner nuclear and ganglion cell layers in the retina, the pineal and some regions of the brain.
Manufacturer - Cross Reactivity
No cross-reactivity with other proteins.

Note: The presented information and documents (Manual, Product Datasheet, Safety Datasheet and Certificate of Analysis) correspond to our latest update and should serve for orientational purpose only. We do not guarantee the topicality. We would kindly ask you to make a request for specific requirements, if necessary.

All products are intended for research use only (RUO). Not for human, veterinary or therapeutic use.

Amount: 100 ug
Available: In stock
available

Compare

Add to wishlist

Get an offer

Request delivery time

Ask a technical question

Submit a bulk request

Questions about this Product?