Comparison

Anti-SCN1B Antibody Picoband® European Partner

Item no. BOS-A03061-1-PE
Manufacturer Boster
Amount 100 ug/vial
Quantity options 100 ug/vial 10 ug 100 ug/vial 100 ug/vial 100 ug/vial 100 ug 100 ug 100 ug 100 ug/vial 100 ug/vial 100 ug/vial 100 ug/vial
Category
Type Antibody Polyclonal
Format Lyophilized
Applications WB, IHC, ELISA
Specific against Human (Homo sapiens), Mouse (Murine, Mus musculus), Rat (Rattus norvegicus)
Host Rabbit
Isotype IgG
Conjugate/Tag PE
Citations 1. Makita, N.; Sloan-Brown, K.; Weghuis, D. O.; Ropers, H. H.; George, A. L., Jr. : Genomic organization and chromosomal assignment of the human voltage-gated Na(+) channel beta-1 subunit gene (SCN1B). Genomics 23: 628-634, 1994.
2. Chen, C.; Westenbroek, R. E.; Xu, X.; Edwards, C. A.; Sorenson, D. R.; Chen, Y.; McEwen, D. P.; O'Malley, H. A.; Bharucha, V.; Meadows, L. S.; Knudsen, G. A.; Vilaythong, A.; Noebels, J. L.; Saunders, T. L.; Scheuer, T.; Shrager, P.; Catterall, W. A.; Isom, L. L. : Mice lacking sodium channel beta-1 subunits display defects in neuronal excitability, sodium channel expression, and nodal architecture. J. Neurosci. 24: 4030-4042, 2004.
ECLASS 10.1 32160702
ECLASS 11.0 32160702
UNSPSC 12352203
Alias Ubiquitin carboxyl-terminal hydrolase 15,Deubiquitinating enzyme 15,Ubiquitin thioesterase 15,Ubiquitin-specific-processing protease 15,Unph-2,Unph4,USP15,KIAA0529
Available
Manufacturer - Category
Primary Antibodies
Storage Conditions
Store at -20°C for one year from date of receipt. After reconstitution, at 4°C for one month. It can also be aliquotted and stored frozen at -20°C for six months. Avoid repeated freeze-thaw cycles.
Observed Molecular weight
25 kDa, 38 kDa
Clonality
Polyclonal
Application Details
Western blot, 0.25-0.5μg/ml, Mouse, Rat
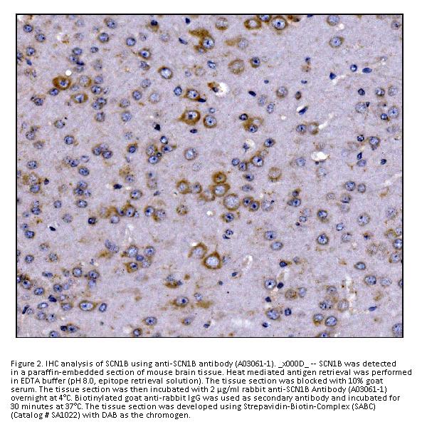
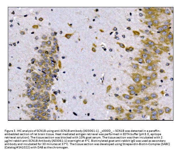
Immunohistochemistry (Paraffin-embedded Section), 2-5μg/ml, Mouse, Rat
ELISA, 0.1-0.5μg/ml
Gene Name
SCN1B
Gene Full Name
ubiquitin specific peptidase 15
Background
Voltage-gated sodium (Na+) channels are essential for the generation and propagation of action potentials in striated muscle and neuronal tissues. The complete coding region of Sodium channel, voltage-gated, beta 1 (SCN1B) is found in approximately 9.0 kb of genomic DNA and consists of five exons (72 to 749 bp) and four introns (90 bp to 5.5 kb). It is mapped to 19q13.1 and can act as a candidate gene for hereditary disorders affecting membrane excitability. Sodium channel beta1 subunits play important roles in the regulation of sodium channel density and localization and are involved in axo-glial communication at nodes of Ranvier.
Immunogen
E.coli-derived human SCN1B recombinant protein (Position: C21-E218).
Contents
Each vial contains 4mg Trehalose, 0.9mg NaCl, 0.2mg Na2HPO4.
Purification
Immunogen affinity purified.
Reconstitution
Add 0.2ml of distilled water will yield a concentration of 500ug/ml.
Concentration
Adding 0.2 ml of distilled water will yield a concentration of 500 μg/ml.
Manufacturer - Research Category
Calcium Binding Proteins, Calcium Signaling, Cell Type Marker, Neuron Marker, Neuroscience, Neurotransmission
Protein Function
Hydrolase that removes conjugated ubiquitin from target proteins and regulates various pathways such as the TGF-beta receptor signaling, NF-kappa-B and RNF41/NRDP1-PRKN pathways. Acts as a key regulator of TGF-beta receptor signaling pathway, but the precise mechanism is still unclear: according to a report, acts by promoting deubiquitination of monoubiquitinated R-SMADs (SMAD1, SMAD2 and/or SMAD3), thereby alleviating inhibition of R-SMADs and promoting activation of TGF-beta target genes. According to another reports, regulates the TGF-beta receptor signaling pathway by mediating deubiquitination and stabilization of TGFBR1, leading to an enhanced TGF-beta signal. Able to mediate deubiquitination of monoubiquitinated substrates as well as 'Lys-48'-linked polyubiquitin chains, protecting them against proteasomal degradation. May also regulate gene expression and/or DNA repair through the deubiquitination of histone H2B. Acts as an inhibitor of mitophagy by counteracting the action of parkin (PRKN): hydrolyzes cleavage of 'Lys-48'- and 'Lys-63'-linked polyubiquitin chains attached by parkin on target proteins such as MFN2, thereby reducing parkin's ability to drive mitophagy. Acts as an associated component of COP9 signalosome complex (CSN) and regulates different pathways via this association: regulates NF-kappa-B by mediating deubiquitination of NFKBIA and deubiquitinates substrates bound to VCP. Involved in endosome organization by mediating deubiquitination of SQSTM1: ubiquitinated SQSTM1 forms a molecular bridge that restrains cognate vesicles in the perinuclear region and its deubiquitination releases target vesicles for fast transport into the cell periphery. (Microbial infection) Protects APC and human papillomavirus type 16 protein E6 against degradation via the ubiquitin proteasome pathway.
Subcellular Localization
Mitochondrion. Nucleus. Cytoplasm.
Description
Boster Bio Anti-SCN1B Antibody Picoband® catalog # A03061-1. Tested in ELISA, IHC, WB applications. This antibody reacts with Human, Mouse, Rat. The brand Picoband indicates this is a premium antibody that guarantees superior quality, high affinity, and strong signals with minimal background in Western blot applications. Only our best-performing antibodies are designated as Picoband, ensuring unmatched performance.
Tissue Specificity
Expressed in skeletal muscle, kidney, heart, placenta, liver, thymus, lung, and ovary, with little or no expression in other tissues.
Manufacturer - Cross Reactivity
No cross-reactivity with other proteins.

Note: The presented information and documents (Manual, Product Datasheet, Safety Datasheet and Certificate of Analysis) correspond to our latest update and should serve for orientational purpose only. We do not guarantee the topicality. We would kindly ask you to make a request for specific requirements, if necessary.

All products are intended for research use only (RUO). Not for human, veterinary or therapeutic use.

Amount: 100 ug/vial
Available: In stock
available

Compare

Add to wishlist

Get an offer

Request delivery time

Ask a technical question

Submit a bulk request

Questions about this Product?