Comparison

Anti-Ribonuclease 3/RNASE3 Antibody Picoband® European Partner

Item no. BOS-A03115-1-APC
Manufacturer Boster
Amount 100 ug
Quantity options 100 ug/vial 10 ug 100 ug 100 ug 100 ug 100 ug 100 ug 100 ug 100 ug 100 ug 100 ug 100 ug
Category
Type Antibody Primary
Format Lyophilized
Applications WB, IHC, ELISA
Specific against Human (Homo sapiens), Mouse (Murine, Mus musculus), Rat (Rattus norvegicus)
Host Rabbit
Isotype IgG
Conjugate/Tag APC
Citations 1. Mastrianni DM, Eddy RL, Rosenberg HF, Corrette SE, Shows TB, Tenen DG, Ackerman SJ (May 1992). Localization of the human eosinophil Charcot-Leyden crystal protein (lysophospholipase) gene (CLC) to chromosome 19 and the human ribonuclease 2 (eosinophil-derived neurotoxin) and ribonuclease 3 (eosinophil cationic protein) genes (RNS2 and RNS3) to chromosome 14. Genomics. 13 (1): 240–2.
2. Rosenberg, H. F., Ackerman, S. J., Tenen, D. G. Human eosinophil cationic protein: molecular cloning of a cytotoxin and helminthotoxin with ribonuclease activity. J. Exp. Med. 170: 163-176, 1989.
ECLASS 10.1 32160702
ECLASS 11.0 32160702
UNSPSC 12352203
Alias Eosinophil cationic protein,ECP,Ribonuclease 3,RNase 3,RNASE3,ECP,RNS3
Available
Manufacturer - Category
Primary Antibodies
Storage Conditions
Store at -20°C for one year from date of receipt. After reconstitution, at 4°C for one month. It can also be aliquotted and stored frozen at -20°C for six months. Avoid repeated freeze-thaw cycles.
Observed Molecular weight
18 kDa
Calculated Molecular weight
64406 MW
Clonality
Polyclonal
Application Details
Western blot, 0.1-0.5μg/ml
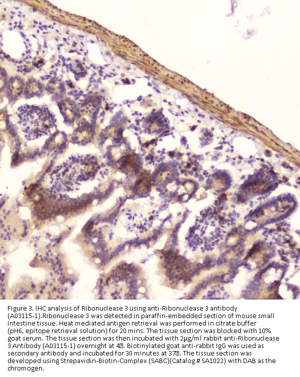
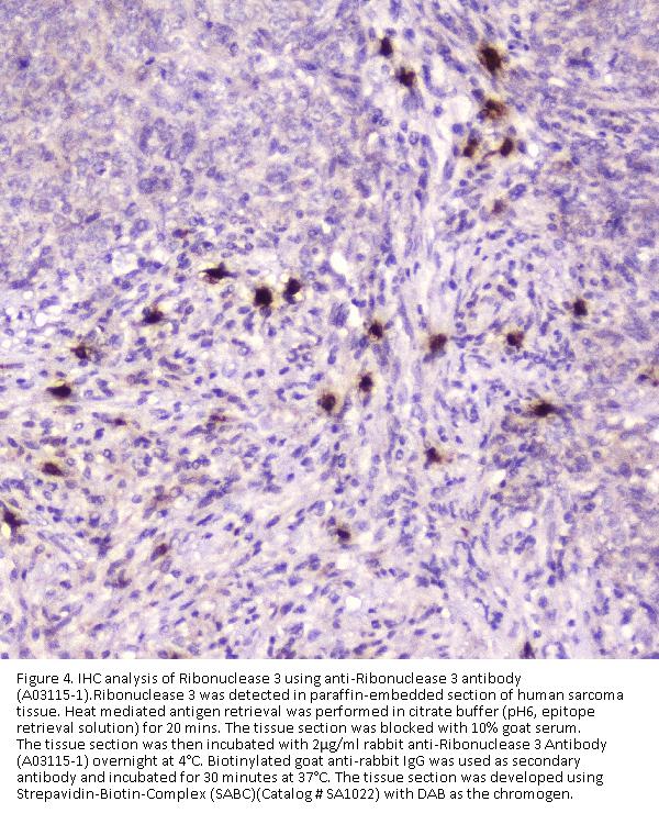
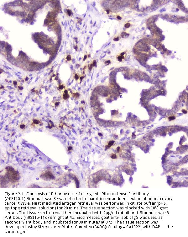
Immunohistochemistry (Paraffin-embedded Section), 0.5-1μg/ml
ELISA, 0.1-0.5μg/ml
Gene Name
RNASE3
Gene Full Name
ribonuclease A family member 3
Manufacturer - Specificity
No cross reactivity with other proteins.
Background
Eosinophil Cationic Protein (ECP) also known as ribonuclease 3 is a basic protein located in the eosinophil primary matrix. In humans, the eosinophil cationic protein is encoded by the RNASE3 gene. The protein encoded by this gene belongs to the pancreatic ribonuclease family, a subset of the ribonuclease A superfamily. ECP is released during degranulation of eosinophils. This protein is related to inflammation and asthma because in these cases, there are increased levels of ECP in the body.
Immunogen
E. coli-derived human Ribonuclease 3 recombinant protein (Position: R28-I160).
Contents
Each vial contains 4mg Trehalose, 0.9mg NaCl, 0.2mg Na2HPO4, 0.05mg NaN3.
Purification
Immunogen affinity purified.
Reconstitution
Add 0.2ml of distilled water will yield a concentration of 500ug/ml.
Concentration
Adding 0.2 ml of distilled water will yield a concentration of 500 μg/ml.
Manufacturer - Research Category
2339, DNA/RNA, Epigenetics and Nuclear Signaling, Nuclear Receptors, Nuclear Signaling Pathways, RNA Processing
Protein Name
Transcription factor E2F3
Protein Function
Cytotoxin and helminthotoxin with low-efficiency ribonuclease activity. Possesses a wide variety of biological activities. Exhibits antibacterial activity, including cytoplasmic membrane depolarization of preferentially Gram-negative, but also Gram-positive strains. Promotes E.coli outer membrane detachment, alteration of the overall cell shape and partial loss of cell content.
Subcellular Localization
Secreted. Located in the matrix of eosinophil large specific granule, which are released following activation by an immune stimulus.
Description
Boster Bio Anti-Ribonuclease 3/RNASE3 Antibody Picoband® catalog # A03115-1. Tested in ELISA, IHC, WB applications. This antibody reacts with Human, Mouse, Rat. The brand Picoband indicates this is a premium antibody that guarantees superior quality, high affinity, and strong signals with minimal background in Western blot applications. Only our best-performing antibodies are designated as Picoband, ensuring unmatched performance.
Tissue Specificity
Mainly expressed in pachytene spermatocytes of testis and in lymphocyte-rich areas of spleen and lymph nodes. Isoform v1 is expressed in spleen. Isoform v2 is expressed in testis. Also detected in ovary, placenta, pancreas, cardiac fibroblasts. Expressed in B-cells and prostate malignant cells. Isoform v1 and isoform v3 are expressed in epithelial colorectal adenocarcinoma cells. Isoform v2 and isoform v4 are expressed in endothelial cells. Isoform v1, isoform v2, isoform v3 and isoform v4 are expressed in pulmonary artery smooth muscle cells. Isoform v2 and isoform v5 are expressed in microvascular endothelial cells (at protein level).

Note: The presented information and documents (Manual, Product Datasheet, Safety Datasheet and Certificate of Analysis) correspond to our latest update and should serve for orientational purpose only. We do not guarantee the topicality. We would kindly ask you to make a request for specific requirements, if necessary.

All products are intended for research use only (RUO). Not for human, veterinary or therapeutic use.

Amount: 100 ug
Available: In stock
available

Compare

Add to wishlist

Get an offer

Request delivery time

Ask a technical question

Submit a bulk request

Questions about this Product?