Comparison

Anti-ARL1 Antibody Picoband® European Partner

Item no. BOS-A03733-1-Cy3
Manufacturer Boster
Amount 100 ug
Quantity options 100 ug/vial 10 ug 100 ug 100 ug 100 ug 100 ug 100 ug 100 ug 100 ug 100 ug 100 ug 100 ug
Category
Type Antibody
Format Lyophilized
Applications WB, FC, IF, IHC
Specific against Human (Homo sapiens)
Host Rabbit
Isotype IgG
Conjugate/Tag Cy3
Citations 1. Gross, M. B. Personal Communication. Baltimore, Md. 7/25/2012.
2. Hong, J.-X., Lee, F.-J. S., Patton, W. A., Lin, C. Y., Moss, J., Vaughan, M. Phospholipid- and GTP-dependent activation of cholera toxin and phospholipase D by human ADP-ribosylation factor-like protein 1 (HARL1). J. Biol. Chem. 273: 15872-15876, 1998.
3. Lu, L., Tai, G., Hong, W. Autoantigen golgin-97, an effector of Arl1 GTPase, participates in traffic from the endosome to the trans-Golgi network. Molec. Biol. Cell 15: 4426-4443, 2004.
ECLASS 10.1 32160702
ECLASS 11.0 32160702
UNSPSC 12352203
Alias ATP-dependent RNA helicase DDX1,DEAD box protein 1,DEAD box protein retinoblastoma,DBP-RB,DDX1
Available
Manufacturer - Category
Primary Antibodies
Storage Conditions
At -20°C for one year from date of receipt. After reconstitution, at 4°C for one month. It can also be aliquotted and stored frozen at -20°C for six months. Avoid repeated freezing and thawing.
Observed Molecular weight
20 kDa
Calculated Molecular weight
26934 MW
Clonality
Polyclonal
Application Details
Western blot, 0.25-0.5 μg/ml/ml, Human
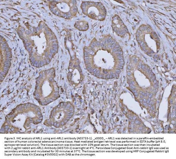
Immunohistochemistry(Paraffin-embedded Section), 2-5 μg/ml/ml, Human
Immunofluorescence, 5 μg/ml, Human
Flow Cytometry (Fixed), 1-3 μg/ml/1x10^6 cells, Human
Gene Name
ARL1
Gene Full Name
DEAD-box helicase 1
Background
ADP-ribosylation factor-like protein 1 is a protein that in humans is encoded by the ARL1 gene. The protein encoded by this gene belongs to the ARL (ADP-ribosylation factor-like) family of proteins, which are structurally related to ADP-ribosylation factors (ARFs). ARFs, described as activators of cholera toxin (CT) ADP-ribosyltransferase activity, regulate intracellular vesicular membrane trafficking, and stimulate a phospholipase D (PLD) isoform. Although, ARL proteins were initially thought not to activate CT or PLD, later work showed that they are weak stimulators of PLD and CT in a phospholipid dependent manner. Alternative splicing results in multiple transcript variants encoding different isoforms.
Immunogen
A synthetic peptide corresponding to a sequence at the C-terminus of human ARL1, identical to the related mouse and rat sequences.
Contents
Each vial contains 4 mg Trehalose, 0.9 mg NaCl, 0.2 mg Na2HPO4.
Purification
Immunogen affinity purified.
Reconstitution
Adding 0.2 ml of distilled water will yield a concentration of 500 μg/ml.
Concentration
Adding 0.2 ml of distilled water will yield a concentration of 500 μg/ml.
Manufacturer - Research Category
Cardiovascular, Cell Biology, Protease Inhibitors, Proteolysis/Ubiquitin
Protein Name
Tissue factor pathway inhibitor 2
Protein Function
Acts as an ATP-dependent RNA helicase, able to unwind both RNA-RNA and RNA-DNA duplexes. Possesses 5' single-stranded RNA overhang nuclease activity. Possesses ATPase activity on various RNA, but not DNA polynucleotides. May play a role in RNA clearance at DNA double-strand breaks (DSBs), thereby facilitating the template-guided repair of transcriptionally active regions of the genome. Together with RELA, acts as a coactivator to enhance NF-kappa-B-mediated transcriptional activation. Acts as a positive transcriptional regulator of cyclin CCND2 expression. Binds to the cyclin CCND2 promoter region. Associates with chromatin at the NF-kappa-B promoter region via association with RELA. Binds to poly (A) RNA. May be involved in 3'-end cleavage and polyadenylation of pre-mRNAs. Component of the tRNA-splicing ligase complex required to facilitate the enzymatic turnover of catalytic subunit RTCB: together with archease (ZBTB8OS), acts by facilitating the guanylylation of RTCB, a key intermediate step in tRNA ligation (PubMed:24870230). Component of a multi-helicase-TICAM1 complex that acts as a cytoplasmic sensor of viral double-stranded RNA (dsRNA) and plays a role in the activation of a cascade of antiviral responses including the induction of proinflammatory cytokines via the adapter molecule TICAM1. Specifically binds (via helicase ATP-binding domain) on both short and long poly (I:C) dsRNA (By similarity). (Microbial infection) Required for HIV-1 Rev function as well as for HIV-1 and coronavirus IBV replication. Binds to the RRE sequence of HIV-1 mRNAs. (Microbial infection) Required for Coronavirus IBV replication.
Subcellular Localization
Secreted.
Description
Boster Bio Anti-ARL1 Antibody Picoband® catalog # A03733-1. Tested in Flow Cytometry, IF, IHC, WB applications. This antibody reacts with Human. The brand Picoband indicates this is a premium antibody that guarantees superior quality, high affinity, and strong signals with minimal background in Western blot applications. Only our best-performing antibodies are designated as Picoband, ensuring unmatched performance.
Tissue Specificity
Highest levels of transcription in 2 retinoblastoma cell lines and in tissues of neuroectodermal origin including the retina, brain, and spinal cord.
Manufacturer - Cross Reactivity
No cross-reactivity with other proteins.

Note: The presented information and documents (Manual, Product Datasheet, Safety Datasheet and Certificate of Analysis) correspond to our latest update and should serve for orientational purpose only. We do not guarantee the topicality. We would kindly ask you to make a request for specific requirements, if necessary.

All products are intended for research use only (RUO). Not for human, veterinary or therapeutic use.

Amount: 100 ug
Available: In stock
available

Compare

Add to wishlist

Get an offer

Request delivery time

Ask a technical question

Submit a bulk request

Questions about this Product?