Comparison

Anti-Muscarinic Acetylcholine Receptor 1/CHRM1 Antibody Picoband® European Partner

Item no. BOS-A04081-Dylight550
Manufacturer Boster
Amount 100 ug
Quantity options 100 ug/vial 10 ug 100 ug 100 ug 100 ug 100 ug 100 ug 100 ug 100 ug 100 ug 100 ug 100 ug 100 ug
Category
Type Primary Antibody
Format Lyophilized
Applications WB, FC, IHC
Specific against Human (Homo sapiens), Mouse (Murine, Mus musculus), Rat (Rattus norvegicus)
Host Rabbit
Isotype IgG
Conjugate/Tag Dylight 550
Sensitivity <10 pg/ml
Citations 1. Anagnostaras, S. G., Murphy, G. G., Hamilton, S. E., Mitchell, S. L., Rahnama, N. P., Nathanson, N. M., Silva, A. J. Selective cognitive dysfunction in acetylcholine M1 muscarinic receptor mutant mice. Nature Neurosci. 6: 51-58, 2003.
2. Bonner, T. I., Buckley, N. J., Young, A. C., Brann, M. R. Identification of a family of muscarinic acetylcholine receptor genes. Science 237: 527-532, 1987. Note: Erratum: Science 237: 1556 only, 1987.
3. Bonner, T. I., Modi, W. S., Seuanez, H. N., O'Brien, S. J. Chromosomal mapping of five human genes encoding muscarinic acetylcholine receptors. (Abstract) Cytogenet. Cell Genet. 58: 1850-1851, 1991.
ECLASS 10.1 32160702
ECLASS 11.0 32160702
UNSPSC 12352203
Alias Muscarinic acetylcholine receptor M1,CHRM1
Available
Manufacturer - Category
Primary Antibodies
Storage Conditions
Store at -20°C for one year from date of receipt. After reconstitution, at 4°C for one month. It can also be aliquotted and stored frozen at -20°C for six months. Avoid repeated freeze-thaw cycles.
Observed Molecular weight
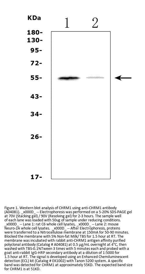
55 kDa
Calculated Molecular weight
211344 MW
Clonality
Polyclonal
Application Details
Western blot, 0.25-0.5μg/ml, Mouse, Rat
Immunohistochemistry (Paraffin-embedded Section), 0.5-1μg/ml, Mouse, Rat
Flow Cytometry (Fixed), 1-3μg/1x106 cells, Human
Gene Name
CHRM1
Gene Full Name
cholinergic receptor muscarinic 1
Manufacturer - Specificity
No cross reactivity with other proteins.
Background
The muscarinic acetylcholine receptor M1, also known as the cholinergic receptor, muscarinic 1, is a muscarinic receptor that in humans is encoded by the CHRM1 gene. The muscarinic cholinergic receptors belong to a larger family of G protein-coupled receptors. The functional diversity of these receptors is defined by the binding of acetylcholine and includes cellular responses such as adenylate cyclase inhibition, phosphoinositide degeneration, and potassium channel mediation. Muscarinic receptors influence many effects of acetylcholine in the central and peripheral nervous system. The muscarinic cholinergic receptor 1 is involved in mediation of vagally-induced bronchoconstriction and in the acid secretion of the gastrointestinal tract. The gene encoding this receptor is localized to 11q13.
Immunogen
A synthetic peptide corresponding to a sequence at the C-terminus of human Muscarinic Acetylcholine Receptor 1/CHRM1, identical to the related mouse and rat sequences.
Contents
Each vial contains 4mg Trehalose, 0.9mg NaCl, 0.2mg Na2HPO4, 0.05mg NaN3.
Purification
Immunogen affinity purified.
Reconstitution
Add 0.2ml of distilled water will yield a concentration of 500ug/ml.
Concentration
Adding 0.2 ml of distilled water will yield a concentration of 500 μg/ml.
Manufacturer - Research Category
Signal Transduction
Protein Name
Chromodomain-helicase-DNA-binding protein 2
Protein Function
The muscarinic acetylcholine receptor mediates various cellular responses, including inhibition of adenylate cyclase, breakdown of phosphoinositides and modulation of potassium channels through the action of G proteins. Primary transducing effect is Pi turnover.
Subcellular Localization
Cell membrane. Multi-pass membrane protein. Postsynaptic cell membrane. Multi-pass membrane protein.
Description
Boster Bio Anti-Muscarinic Acetylcholine Receptor 1/CHRM1 Antibody catalog # A04081. Tested in Flow Cytometry, IHC, WB applications. This antibody reacts with Human, Mouse, Rat. The brand Picoband indicates this is a premium antibody that guarantees superior quality, high affinity, and strong signals with minimal background in Western blot applications. Only our best-performing antibodies are designated as Picoband, ensuring unmatched performance.
Tissue Specificity
Sperm. Mainly localized in the tail and in the postacrosomal region but is also found in the midpiece and basal region in a small percentage of sperm cells. Reduced levels found in the sperms of asthenozoospermia and leukocytospermia patients (at protein level). Spleen, lymph nodes, appendix, and fetal liver. Expressed in lymphocytes, T-cells and B-cells but not in natural killer cells, monocytes or granulocytes.
Manufacturer - Cross Reactivity
No cross-reactivity with other proteins.

Note: The presented information and documents (Manual, Product Datasheet, Safety Datasheet and Certificate of Analysis) correspond to our latest update and should serve for orientational purpose only. We do not guarantee the topicality. We would kindly ask you to make a request for specific requirements, if necessary.

All products are intended for research use only (RUO). Not for human, veterinary or therapeutic use.

Amount: 100 ug
Available: In stock
available

Compare

Add to wishlist

Get an offer

Request delivery time

Ask a technical question

Submit a bulk request

Questions about this Product?