Comparison

Anti-IL3RA/CD123 Antibody Picoband® European Partner

Item no. BOS-A04307-Dylight550
Manufacturer Boster
Amount 100 ug
Quantity options 100 ug/vial 10 ug 100 ug 100 ug 100 ug 100 ug 100 ug 100 ug 100 ug 100 ug 100 ug 100 ug 100 ug
Category
Type Primary Antibody
Format Lyophilized
Applications WB, FC, IHC, ELISA
Specific against Human (Homo sapiens)
Host Rabbit
Isotype IgG
Conjugate/Tag Dylight 550
Citations 1. Itoh, N., Yonehara, S., Schreurs, J., Gorman, D. M., Maruyama, K., Ishii, A., Yahara, I., Arai, K., Miyajima, A. Cloning of an interleukin-3 receptor gene: a member of a distinct receptor gene family. Science 247: 324-327, 1990.
2. Kitamura, T., Sato, N., Arai, K., Miyajima, A. Expression cloning of the human IL-3 receptor cDNA reveals a shared beta-subunit for the human IL-3 and GM-CSF receptors. Cell 66: 1165-1174, 1991.
3. Kosugi, H., Nakagawa, Y., Hotta, T., Saito, H., Miyajima, A., Arai, K., Yokota, T. Structure of the gene encoding the alpha subunit of the human interleukin 3 receptor. Biochem. Biophys. Res. Commun. 208: 360-367, 1995.
ECLASS 10.1 32160702
ECLASS 11.0 32160702
UNSPSC 12352203
Alias Interleukin-3 receptor subunit alpha,IL-3 receptor subunit alpha,IL-3R subunit alpha,IL-3R-alpha,IL-3RA,CD123,IL3RA,IL3R
Available
Manufacturer - Category
Primary Antibodies
Storage Conditions
Store at -20°C for one year from date of receipt. After reconstitution, at 4°C for one month. It can also be aliquotted and stored frozen at -20°C for six months. Avoid repeated freeze-thaw cycles.
Observed Molecular weight
60 kDa
Clonality
Polyclonal
Application Details
Western blot, 0.25-0.5μg/ml, Human
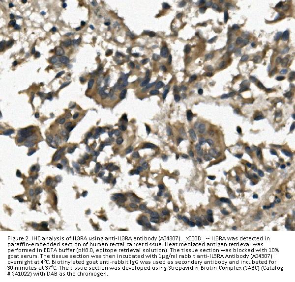
Immunohistochemistry (Paraffin-embedded Section), 0.5-1μg/ml, Human
Flow Cytometry (Fixed), 1-3μg/1x106 cells, Human
ELISA, 0.1-0.5μg/ml
Gene Name
IL3RA
Gene Full Name
interleukin 3 receptor subunit alpha
Manufacturer - Specificity
No cross reactivity with other proteins.
Background
Interleukin 3 receptor, alpha (low affinity) (IL3RA), also known as CD123 (Cluster of Differentiation 123), is a human gene. It is mapped to Xp22.33 and Yp11.2. The protein encoded by this gene is an interleukin 3 specific subunit of a heterodimeric cytokine receptor. The receptor is comprised of a ligand specific alpha subunit and a signal transducing beta subunit shared by the receptors for interleukin 3 (IL3), colony stimulating factor 2 (CSF2/GM-CSF), and interleukin 5 (IL5). The binding of this protein to IL3 depends on the beta subunit. The beta subunit is activated by the ligand binding, and is required for the biological activities of IL3. This gene and the gene encoding the colony stimulating factor 2 receptor alpha chain (CSF2RA) form a cytokine receptor gene cluster in a X-Y pseudoautosomal region on chromosomes X or Y. Alternatively spliced transcript variants encoding distinct isoforms have been found.
Immunogen
E.coli-derived human IL3RA/CD123 recombinant protein (Position: T111-T378).
Contents
Each vial contains 4mg Trehalose, 0.9mg NaCl, 0.2mg Na2HPO4, 0.05mg NaN3.
Purification
Immunogen affinity purified.
Reconstitution
Add 0.2ml of distilled water will yield a concentration of 500ug/ml.
Concentration
Adding 0.2 ml of distilled water will yield a concentration of 500 μg/ml.
Manufacturer - Research Category
Adaptive Immunity, B Cells, Hematopoietic Progenitors, Immunoglobulins, Immunology, Lymphoid, Receptors, Stem Cells
Protein Function
This is a receptor for interleukin-3.
Subcellular Localization
Membrane. Single-pass type I membrane protein.
Description
Boster Bio Anti-IL3RA/CD123 Antibody Picoband® catalog # A04307. Tested in ELISA, Flow Cytometry, IHC, WB applications. This antibody reacts with Human. The brand Picoband indicates this is a premium antibody that guarantees superior quality, high affinity, and strong signals with minimal background in Western blot applications. Only our best-performing antibodies are designated as Picoband, ensuring unmatched performance.
Tissue Specificity
Brain.
Manufacturer - Cross Reactivity
No cross-reactivity with other proteins.

Note: The presented information and documents (Manual, Product Datasheet, Safety Datasheet and Certificate of Analysis) correspond to our latest update and should serve for orientational purpose only. We do not guarantee the topicality. We would kindly ask you to make a request for specific requirements, if necessary.

All products are intended for research use only (RUO). Not for human, veterinary or therapeutic use.

Amount: 100 ug
Available: In stock
available

Compare

Add to wishlist

Get an offer

Request delivery time

Ask a technical question

Submit a bulk request

Questions about this Product?