Comparison

Anti-Thioredoxin 2/TXN2 Antibody Picoband® European Partner

Item no. BOS-A04586-1-HRP
Manufacturer Boster
Amount 100 ug
Quantity options 100 ug/vial 10 ug 100 ug 100 ug 100 ug 100 ug 100 ug 100 ug 100 ug 100 ug 100 ug 100 ug
Category
Type Antibody Polyclonal
Format Lyophilized
Applications WB, FC, IF, IHC, ICC, ELISA
Specific against Human (Homo sapiens), Mouse (Murine, Mus musculus), Rat (Rattus norvegicus)
Host Rabbit
Isotype IgG
Conjugate/Tag HRP
Sensitivity >5000 cells
Citations 1. Benhar, M., Forrester, M. T., Hess, D. T., Stamler, J. S. Regulated protein denitrosylation by cytosolic and mitochondrial thioredoxins. Science 320: 1050-1054, 2008.
2. Chen, Y., Cai, J., Murphy, T. J., Jones, D. P. Overexpressed human mitochondrial thioredoxin confers resistance to oxidant-induced apoptosis in human osteosarcoma cells. J. Biol. Chem. 277: 33242-33248, 2002.
ECLASS 10.1 32160702
ECLASS 11.0 32160702
UNSPSC 12352203
Alias Thioredoxin,mitochondrial,MTRX,Mt-Trx,Thioredoxin-2,TXN2,TRX2
Available
Manufacturer - Category
Primary Antibodies
Storage Conditions
Store at -20°C for one year from date of receipt. After reconstitution, at 4°C for one month. It can also be aliquotted and stored frozen at -20°C for six months. Avoid repeated freeze-thaw cycles.
Observed Molecular weight
13 kDa
Clonality
Polyclonal
Application Details
Western blot, 0.25-0.5μg/ml, Human, Mouse, Rat
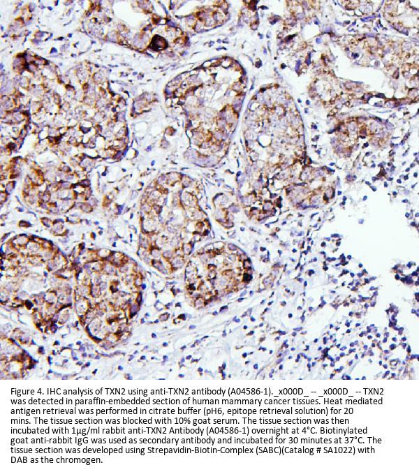
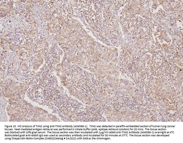
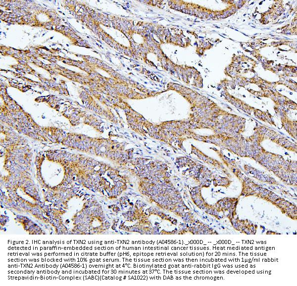
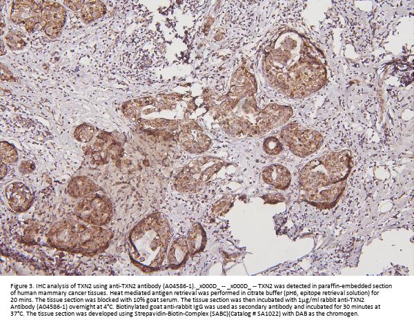
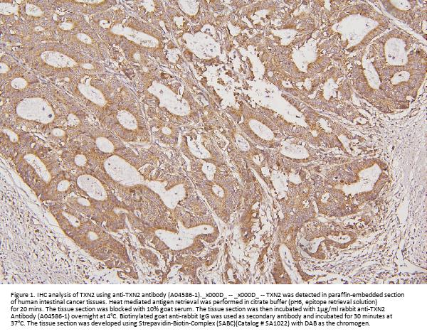
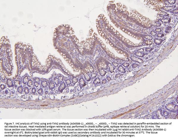
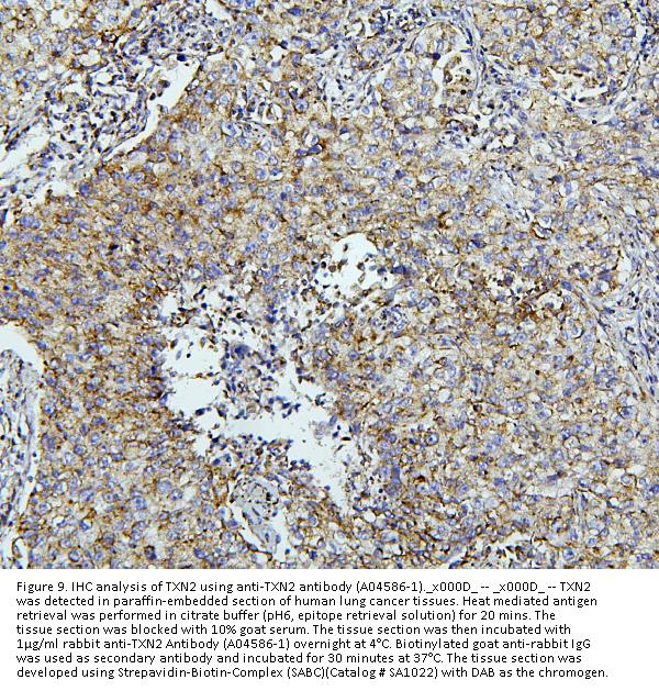
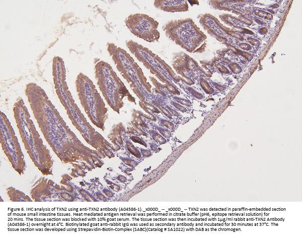
Immunohistochemistry (Paraffin-embedded Section), 0.5-1μg/ml, Human
Immunocytochemistry/Immunofluorescence, 2μg/ml, Human
Flow Cytometry (Fixed), 1-3μg/1x106 cells, Human
ELISA, 0.1-0.5μg/ml
Gene Name
TXN2
Gene Full Name
thioredoxin 2
Manufacturer - Specificity
No cross reactivity with other proteins.
Background
Thioredoxin, mitochondrial also known as thioredoxin-2 is a protein that in humans is encoded by the TXN2 gene on chromosome 22. It is mapped to 22q12.3. This nuclear gene encodes a mitochondrial member of the thioredoxin family, a group of small multifunctional redox-active proteins. The encoded protein may play important roles in the regulation of the mitochondrial membrane potential and in protection against oxidant-induced apoptosis.
Immunogen
E.coli-derived human Thioredoxin 2/TXN2 recombinant protein (Position: T60-G166).
Contents
Each vial contains 4mg Trehalose, 0.9mg NaCl, 0.2mg Na2HPO4, 0.05mg NaN3.
Purification
Immunogen affinity purified.
Reconstitution
Add 0.2ml of distilled water will yield a concentration of 500ug/ml.
Concentration
Adding 0.2 ml of distilled water will yield a concentration of 500 μg/ml.
Manufacturer - Research Category
Hematopoietic Progenitors, Immunology, Innate Immunity, Stem Cells, Surface Molecules
Protein Function
Important for the control of mitochondrial reactive oxygen species homeostasis, apoptosis regulation and cell viability. Possesses a dithiol-reducing activity.
Subcellular Localization
Mitochondrion.
Description
Boster Bio Anti-Thioredoxin 2/TXN2 Antibody catalog # A04586-1. Tested in ELISA, Flow Cytometry, IF, IHC, ICC, WB applications. This antibody reacts with Human, Mouse, Rat. The brand Picoband indicates this is a premium antibody that guarantees superior quality, high affinity, and strong signals with minimal background in Western blot applications. Only our best-performing antibodies are designated as Picoband, ensuring unmatched performance.
Tissue Specificity
Widely expressed in adult (at protein level) and fetal tissues.
Manufacturer - Cross Reactivity
No cross-reactivity with other proteins.

Note: The presented information and documents (Manual, Product Datasheet, Safety Datasheet and Certificate of Analysis) correspond to our latest update and should serve for orientational purpose only. We do not guarantee the topicality. We would kindly ask you to make a request for specific requirements, if necessary.

All products are intended for research use only (RUO). Not for human, veterinary or therapeutic use.

Amount: 100 ug
Available: In stock
available

Compare

Add to wishlist

Get an offer

Request delivery time

Ask a technical question

Submit a bulk request

Questions about this Product?