Comparison

Anti-MAFA Picoband® Antibody European Partner

Item no. BOS-A05251-1-Dylight594
Manufacturer Boster
Amount 100 ug
Quantity options 100 ug/vial 10 ug 100 ug 100 ug 100 ug 100 ug 100 ug 100 ug 100 ug 100 ug 100 ug 100 ug
Category
Type Primary Antibody
Format Lyophilized
Applications WB, FC, IF, IHC, ICC, ELISA
Specific against Human (Homo sapiens), Mouse (Murine, Mus musculus)
Host Rabbit
Isotype IgG
Conjugate/Tag DyLight 594
Citations 1. Iacovazzo, D., Flanagan, S. E., Walker, E., Quezado, R., de Sousa Barros, F. A., Caswell, R., Johnson, M. B., Wakeling, M., Brandle, M., Guo, M., Dang, M. N., Gabrovska, P., and 14 others. MAFA missense mutation causes familial insulinomatosis and diabetes mellitus. Proc. Nat. Acad. Sci. 115: 1027-1032, 2018.
2. Olbrot, M., Rud, J., Moss, L. G., Sharma, A. Identification of beta-cell-specific insulin gene transcription factor RIPE3b1 as mammalian MafA. Proc. Nat. Acad. Sci. 99: 6737-6742, 2002.
3. Tragl, K.-H., Mayr, W. R. Familial islet-cell adenomatosis. Lancet 318: 426-428, 1977. Note: Originally Volume II.
ECLASS 10.1 32160702
ECLASS 11.0 32160702
UNSPSC 12352203
Alias Transcription factor MafA,Pancreatic beta-cell-specific transcriptional activator,RIPE3b1 factor,V-maf musculoaponeurotic fibrosarcoma oncogene homolog A,MAFA
Available
Manufacturer - Category
Primary Antibodies
Storage Conditions
Store at -20°C for one year from date of receipt. After reconstitution, at 4°C for one month. It can also be aliquotted and stored frozen at -20°C for six months. Avoid repeated freeze-thaw cycles.
Observed Molecular weight
50 kDa
Calculated Molecular weight
39411 MW
Clonality
Polyclonal
Application Details
Western blot, 0.25-0.5μg/ml, Human
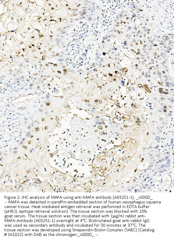
Immunohistochemistry (Paraffin-embedded Section), 0.5-1μg/ml, Human, Mouse
Immunocytochemistry/Immunofluorescence, 2μg/ml, Human
Flow Cytometry (Fixed), 1-3μg/1x106 cells, Human
ELISA, 0.1-0.5μg/ml
Gene Name
MAFA
Gene Full Name
MAF bZIP transcription factor A
Manufacturer - Specificity
No cross reactivity with other proteins.
Background
MAFA is a transcription factor that binds RIPE3b, a conserved enhancer element that regulates pancreatic beta cell-specific expression of the insulin gene. It is mapped to 8q24.3.
Immunogen
E.coli-derived human MAFA recombinant protein (Position: A9-D308).
Contents
Each vial contains 4mg Trehalose, 0.9mg NaCl, 0.2mg Na2HPO4, 0.05mg NaN3.
Purification
Immunogen affinity purified.
Reconstitution
Add 0.2ml of distilled water will yield a concentration of 500ug/ml.
Concentration
Adding 0.2 ml of distilled water will yield a concentration of 500 μg/ml.
Manufacturer - Research Category
Signal Transduction
Protein Name
Zinc finger protein Helios
Protein Function
Transcription factor that activates insulin gene expression. Acts synergistically with NEUROD1/BETA2 and PDX1. Binds the insulin enhancer C1/RIPE3b element. Binds to consensus TRE-type MARE 5'-TGCTGACTCAGCA-3' DNA sequence.
Subcellular Localization
Nucleus.
Description
Boster Bio Anti-MAFA Picoband® Antibody catalog # A05251-1. Tested in ELISA, Flow Cytometry, IF, IHC, ICC, WB applications. This antibody reacts with Human, Mouse. The brand Picoband indicates this is a premium antibody that guarantees superior quality, high affinity, and strong signals with minimal background in Western blot applications. Only our best-performing antibodies are designated as Picoband, ensuring unmatched performance.
Tissue Specificity
Preferentially expressed in regulatory T-cells (Tregs).
Manufacturer - Cross Reactivity
No cross-reactivity with other proteins.

Note: The presented information and documents (Manual, Product Datasheet, Safety Datasheet and Certificate of Analysis) correspond to our latest update and should serve for orientational purpose only. We do not guarantee the topicality. We would kindly ask you to make a request for specific requirements, if necessary.

All products are intended for research use only (RUO). Not for human, veterinary or therapeutic use.

Amount: 100 ug
Available: In stock
available

Compare

Add to wishlist

Get an offer

Request delivery time

Ask a technical question

Submit a bulk request

Questions about this Product?