Comparison

Anti-TCR alpha/TRAC Antibody Picoband® European Partner

Item no. BOS-A05315-Dylight550
Manufacturer Boster
Amount 100 ug
Quantity options 100 ug/vial 10 ug 100 ug 100 ug 100 ug 100 ug 100 ug 100 ug 100 ug 100 ug 100 ug 100 ug 100 ug
Category
Type Antibody Primary
Format Lyophilized
Applications WB, FC, IHC, ELISA
Specific against Human (Homo sapiens), Mouse (Murine, Mus musculus), Rat (Rattus norvegicus)
Host Rabbit
Isotype IgG
Conjugate/Tag Dylight 550
Citations 1. Choudhuri, K., Llodra, J., Roth, E. W., Tsai, J., Gordo, S., Wucherpfennig, K. W., Kam, L. C., Stokes, D. L., Dustin, M. L. Polarized release of T-cell-receptor-enriched microvesicles at the immunological synapse. Nature 507: 118-123, 2014.
2. Janeway, C. A., Jr., Travers, P., Walport, M., Shlomchik, M. J. Immunobiology: The Immune System in Health and Disease. (6th ed.). New York: Garland Science Publishing (pub.) 2005. Pp. 149-154, and 164-165.
ECLASS 10.1 32160702
ECLASS 11.0 32160702
UNSPSC 12352203
Alias T-cell receptor alpha chain C region,TRAC,TCRA
Available
Manufacturer - Category
Primary Antibodies
Storage Conditions
Store at -20°C for one year from date of receipt. After reconstitution, at 4°C for one month. It can also be aliquotted and stored frozen at -20°C for six months. Avoid repeated freeze-thaw cycles.
Observed Molecular weight
45 kDa
Calculated Molecular weight
39411 MW
Clonality
Polyclonal
Application Details
Western blot, 0.1-0.5μg/ml
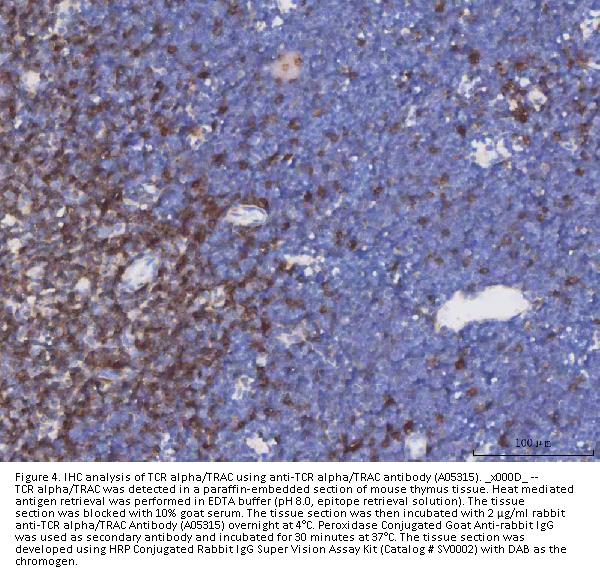
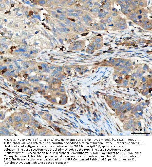
Immunohistochemistry(Paraffin-embedded Section), 2-5 μg/m
Flow Cytometry(Fixed), 1-3μg/1x106 cells
ELISA, 0.1-0.5μg/ml
Gene Name
TRAC
Gene Full Name
T cell receptor alpha constant
Manufacturer - Specificity
No cross reactivity with other proteins.
Background
T cell receptors recognize foreign antigens which have been processed as small peptides and bound to major histocompatibility complex (MHC) molecules at the surface of antigen presenting cells (APC). Each T cell receptor is a dimer consisting of one alpha and one beta chain or one delta and one gamma chain. In a single cell, the T cell receptor loci are rearranged and expressed in the order delta, gamma, beta, and alpha. If both delta and gamma rearrangements produce functional chains, the cell expresses delta and gamma. If not, the cell proceeds to rearrange the beta and alpha loci. This region represents the germline organization of the T cell receptor alpha and delta loci. Both the alpha and delta loci include V (variable), J (joining), and C (constant) segments and the delta locus also includes diversity (D) segments. The delta locus is situated within the alpha locus, between the alpha V and J segments. During T cell development, the delta chain is synthesized by a recombination event at the DNA level joining a D segment with a J segment; a V segment is then joined to the D-J gene. The alpha chain is synthesized by recombination joining a single V segment with a J segment. For both chains, the C segment is later joined by splicing at the RNA level. Recombination of many different V segments with several J segments provides a wide range of antigen recognition. Additional diversity is attained by junctional diversity, resulting from the random additional of nucleotides by terminal deoxynucleotidyltransferase. Five variable segments can be used in either alpha or delta chains and are described by TRAV/DV symbols. Several V and J segments of the alpha locus are known to be incapable of encoding a protein and are considered pseudogenes.
Immunogen
E. coli-derived human TCR alpha recombinant protein (Position: I1-L114).
Contents
Each vial contains 4 mg Trehalose, 0.9 mg NaCl and 0.2 mg Na2HPO4.
Purification
Immunogen affinity purified.
Reconstitution
Add 0.2ml of distilled water will yield a concentration of 500ug/ml.
Concentration
Adding 0.2 ml of distilled water will yield a concentration of 500 μg/ml.
Manufacturer - Research Category
Microbiology
Protein Name
Zinc finger protein Helios
Protein Function
Major keratinocyte cell envelope protein.
Subcellular Localization
Membrane; Single-pass membrane protein.
Description
Boster Bio Anti-TCR alpha/TRAC Antibody Picoband® catalog # A05315. Tested in ELISA, Flow Cytometry, IHC, WB applications. This antibody reacts with Human, Mouse, Rat. The brand Picoband indicates this is a premium antibody that guarantees superior quality, high affinity, and strong signals with minimal background in Western blot applications. Only our best-performing antibodies are designated as Picoband, ensuring unmatched performance.
Tissue Specificity
Expressed in testis and to a lesser degree in brain, ovary and placenta. Found in most tissues at low levels.
Manufacturer - Cross Reactivity
No cross-reactivity with other proteins.

Note: The presented information and documents (Manual, Product Datasheet, Safety Datasheet and Certificate of Analysis) correspond to our latest update and should serve for orientational purpose only. We do not guarantee the topicality. We would kindly ask you to make a request for specific requirements, if necessary.

All products are intended for research use only (RUO). Not for human, veterinary or therapeutic use.

Amount: 100 ug
Available: In stock
available

Compare

Add to wishlist

Get an offer

Request delivery time

Ask a technical question

Submit a bulk request

Questions about this Product?