Comparison

Anti-DYNLT1 Antibody Picoband® European Partner

Item no. BOS-A05556-iFluor647
Manufacturer Boster
Amount 100 ug
Quantity options 100 ug/vial 10 ug 100 ug 100 ug 100 ug 100 ug 100 ug 100 ug 100 ug 100 ug 100 ug 100 ug 100 ug
Category
Type Antibody Polyclonal
Format Lyophilized
Applications WB, IF, IHC, ELISA
Specific against Human (Homo sapiens), Mouse (Murine, Mus musculus), Rat (Rattus norvegicus)
Host Rabbit
Isotype IgG
Citations 1. Chuang, J.-Z., Yeh, T.-Y., Bollati, F., Conde, C., Canavosio, F., Caceres, A., Sung, C.-H. The dynein light chain Tctex-1 has a dynein-independent role in actin remodeling during neurite outgrowth. Dev. Cell 9: 75-86, 2005.
2. Machado, R. D., Rudarakanchana, N., Atkinson, C., Flanagan, J. A., Harrison, R., Morrell, N. W., Trembath, R. C. Functional interaction between BMPR-II and Tctex-1, a light chain of dynein, is isoform-specific and disrupted by mutations underlying primary pulmonary hypertension. Hum. Molec. Genet. 12: 3277-3286, 2003.
ECLASS 10.1 32160702
ECLASS 11.0 32160702
UNSPSC 12352203
Alias Dynein light chain Tctex-type 1,Protein CW-1,T-complex testis-specific protein 1 homolog,DYNLT1,TCTEL1,TCTEX-1,TCTEX1
Available
Manufacturer - Category
Primary Antibodies
Manufacturer - Conjugate / Tag
iFluor647
Storage Conditions
Store at -20°C for one year from date of receipt. After reconstitution, at 4°C for one month. It can also be aliquotted and stored frozen at -20°C for six months. Avoid repeated freeze-thaw cycles.
Observed Molecular weight
16 kDa
Calculated Molecular weight
13 kDa
Clonality
Polyclonal
Application Details
Western blot, 0.1-0.5μg/ml, Human
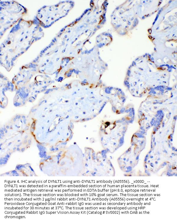
Immunohistochemistry (Paraffin-embedded Section), 2-5μg/ml, Human, Mouse, Rat
Immunofluorescence, 5μg/ml, Human, Rat
ELISA, 0.1-0.5μg/ml
Gene Name
DYNLT1
Gene Full Name
dynein light chain Tctex-type 1
Manufacturer - Specificity
No cross reactivity with other proteins.
Background
Dynein light chain Tctex-type 1 is a protein that in humans is encoded by the DYNLT1 gene. This gene encodes a component of the motor complex, cytoplasmic dynein, which transports cellular cargo along microtubules in the cell. The encoded protein regulates the length of primary cilia which are sensory organelles found on the surface of cells. The protein encoded by this gene interacts with viral proteins, like the minor capsid protein L2 of human papillomavirus, and is required for dynein-mediated delivery of the viral nucleic acid to the host nucleus. This protein interacts with oncogenic nucleoporins to disrupt gene regulation and cause leukemic transformation. Pseudogenes of this gene are present on chromosomes 4 and 17. Alternative splicing results in multiple transcript variants encoding different isoforms.
Immunogen
E. coli-derived human DYNLT1 recombinant protein (Position: M1-A80).
Contents
Each vial contains 4 mg Trehalose, 0.9 mg NaCl and 0.2 mg Na2HPO4.
Purification
Immunogen affinity purified.
Reconstitution
Add 0.2ml of distilled water will yield a concentration of 500ug/ml.
Concentration
Adding 0.2 ml of distilled water will yield a concentration of 500 μg/ml.
Manufacturer - Research Category
Cytoskeleton, Cytoskeleton/ECM, Dynein, Host-Virus Interaction, Interspecies Interaction, Microbiology, Motor Proteins, Signal Transduction
Protein Name
Serine protease HTRA3
Protein Function
Acts as one of several non-catalytic accessory components of the cytoplasmic dynein 1 complex that are thought to be involved in linking dynein to cargos and to adapter proteins that regulate dynein function. Cytoplasmic dynein 1 acts as a motor for the intracellular retrograde motility of vesicles and organelles along microtubules. Binds to transport cargos and is involved in apical cargo transport such as rhodopsin-bearing vesicles in polarized epithelia. May also be a accessory component of axonemal dynein.
Subcellular Localization
Golgi apparatus. Cytoplasm. Cytoplasm, cytoskeleton, spindle. Localizes to mitotic spindles.
Description
Boster Bio Anti-DYNLT1 Antibody Picoband® catalog # A05556. Tested in ELISA, IF, IHC, WB applications. This antibody reacts with Human, Mouse, Rat. The brand Picoband indicates this is a premium antibody that guarantees superior quality, high affinity, and strong signals with minimal background in Western blot applications. Only our best-performing antibodies are designated as Picoband, ensuring unmatched performance.
Tissue Specificity
Expressed in heart, placenta, skeletal muscle kidney, pancreas, spleen, prostate, testis, ovary, ileum and colon. Expressed in lung endothelial and smooth muscle cells (at protein level).
Manufacturer - Cross Reactivity
No cross-reactivity with other proteins.

Note: The presented information and documents (Manual, Product Datasheet, Safety Datasheet and Certificate of Analysis) correspond to our latest update and should serve for orientational purpose only. We do not guarantee the topicality. We would kindly ask you to make a request for specific requirements, if necessary.

All products are intended for research use only (RUO). Not for human, veterinary or therapeutic use.

Amount: 100 ug
Available: In stock
available

Compare

Add to wishlist

Get an offer

Request delivery time

Ask a technical question

Submit a bulk request

Questions about this Product?