Comparison

Anti-v-Myb/MYBL1 Antibody Picoband® European Partner

Item no. BOS-A05803-2-APC
Manufacturer Boster
Amount 100 ug
Quantity options 100 ug/vial 10 ug 100 ug 100 ug 100 ug 100 ug 100 ug 100 ug 100 ug 100 ug 100 ug 100 ug
Category
Type Primary Antibody
Format Lyophilized
Applications WB, FC, ELISA
Specific against Human (Homo sapiens), Mouse (Murine, Mus musculus), Rat (Rattus norvegicus)
Host Rabbit
Isotype IgG
Conjugate/Tag APC
Citations 1. Barletta, C., Druck, T., LaForgia, S., Calabretta, B., Drabkin, H., Patterson, D., Croce, C. M., Huebner, K. Chromosome locations of the MYB related genes, AMYB and BMYB. Cancer Res. 51: 3821-3824, 1991.
2. Nomura, N., Takahashi, M., Matsui, M., Ishii, S., Date, T., Sasamoto, S., Ishizaki, R. Isolation of human cDNA clones of MYB-related genes, A-MYB and B-MYB. Nucleic Acids Res. 16: 11075-11089, 1988. Note: Erratum: Nucleic Acids Res. 17: 1282 only, 1989.
3. Takahashi, T., Nakagoshi, H., Sarai, A., Nomura, N., Yamamoto, T., Ishii, S. Human A-myb gene encodes a transcriptional activator containing the negative regulatory domains. FEBS Lett. 358: 89-96, 1995.
ECLASS 10.1 32160702
ECLASS 11.0 32160702
UNSPSC 12352203
Alias Ubiquitin carboxyl-terminal hydrolase 16,Deubiquitinating enzyme 16,Ubiquitin thioesterase 16,Ubiquitin-processing protease UBP-M,Ubiquitin-specific-processing protease 16,USP16,MSTP039
Available
Manufacturer - Category
Primary Antibodies
Storage Conditions
Store at -20°C for one year from date of receipt. After reconstitution, at 4°C for one month. It can also be aliquotted and stored frozen at -20°C for six months. Avoid repeated freeze-thaw cycles.
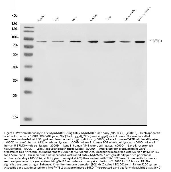
Observed Molecular weight
86 kDa
Calculated Molecular weight
16693 MW
Clonality
Polyclonal
Application Details
Western blot, 0.25-0.5μg/ml, Human, Mouse, Rat
Flow Cytometry (Fixed), 1-3μg/1x106 cells, Human
ELISA, 0.1-0.5μg/ml
Gene Name
MYBL1
Gene Full Name
ubiquitin specific peptidase 16
Background
MYB proto-oncogene like 1 is a protein that in humans is encoded by the MYBL1 gene. A-Myb is expressed at specific times in reproductive tissues, some neural cells, and a subset of normal and neoplastic B lymphocytes. Both A-Myb and B-Myb are expressed in t (14:18) lymphoma cells where they then inhibit cell arrest and apoptotic signaling. Expression of B-Myb rescues cells from p53-induced G1 phase arrest that is mediated by p21, while A-Myb functions as an anti-apoptotic factor by effectively activating the bcl-2 promoter and thereby up-regulating Bcl-2 expression.
Immunogen
E.coli-derived human v-Myb/MYBL1 recombinant protein (Position: K199-L752).
Contents
Each vial contains 4mg Trehalose, 0.9mg NaCl and 0.2mg Na2HPO4.
Purification
Immunogen affinity purified.
Reconstitution
Add 0.2ml of distilled water will yield a concentration of 500μg/ml.
Concentration
Adding 0.2 ml of distilled water will yield a concentration of 500 μg/ml.
Manufacturer - Research Category
Cancer, Cancer Susceptibility, Chromatin Binding Proteins, DNA/RNA Binding, Epigenetics and Nuclear Signaling, Oncoproteins, Oncoproteins/Suppressors, Proto-Oncogenes, Transcription, Transcription Factors
Protein Name
Protein phosphatase 1 regulatory subunit 14A
Protein Function
Specifically deubiquitinates 'Lys-120' of histone H2A (H2AK119Ub), a specific tag for epigenetic transcriptional repression, thereby acting as a coactivator. Deubiquitination of histone H2A is a prerequisite for subsequent phosphorylation at 'Ser-11' of histone H3 (H3S10ph), and is required for chromosome segregation when cells enter into mitosis. In resting B- and T-lymphocytes, phosphorylation by AURKB leads to enhance its activity, thereby maintaining transcription in resting lymphocytes. Regulates Hox gene expression via histone H2A deubiquitination. Prefers nucleosomal substrates. Does not deubiquitinate histone H2B.
Subcellular Localization
Nucleus.
Description
Boster Bio Anti-v-Myb/MYBL1 Antibody Picoband® catalog # A05803-2. Tested in ELISA, Flow Cytometry, WB applications. This antibody reacts with Human, Mouse, Rat. The brand Picoband indicates this is a premium antibody that guarantees superior quality, high affinity, and strong signals with minimal background in Western blot applications. Only our best-performing antibodies are designated as Picoband, ensuring unmatched performance.
Tissue Specificity
Present in all the tissues examined including fetal brain, lung, liver, kidney, and adult heart, brain, placenta, lung, liver, skeletal muscle, kidney and pancreas.

Note: The presented information and documents (Manual, Product Datasheet, Safety Datasheet and Certificate of Analysis) correspond to our latest update and should serve for orientational purpose only. We do not guarantee the topicality. We would kindly ask you to make a request for specific requirements, if necessary.

All products are intended for research use only (RUO). Not for human, veterinary or therapeutic use.

Amount: 100 ug
Available: In stock
available

Compare

Add to wishlist

Get an offer

Request delivery time

Ask a technical question

Submit a bulk request

Questions about this Product?