Comparison

Anti-TAF12 Antibody Picoband® European Partner

Item no. BOS-A06944-1-carrier-free
Manufacturer Boster
Amount 100 ug
Quantity options 100 ug/vial 10 ug 100 ug 100 ug 100 ug 100 ug 100 ug 100 ug 100 ug 100 ug 100 ug 100 ug
Category
Type Antibody Polyclonal
Format Lyophilized
Applications WB, IHC
Specific against Human (Homo sapiens), Mouse (Murine, Mus musculus), Rat (Rattus norvegicus)
Host Rabbit
Isotype IgG
Citations 1. Bieniossek, C., Papai, G., Schaffitzel, C., Garzoni, F., Chaillet, M., Scheer, E., Papadopoulos, P., Tora, L., Schultz, P., Berger, I. The architecture of human general transcription factor TFIID core complex. Nature 493: 699-702, 2013.
2. Mengus, G., May, M., Jacq, X., Staub, A., Tora, L., Chambon, P., Davidson, I. Cloning and characterization of hTAFII18, hTAFII20 and hTAFII28: three subunits of the human transcription factor TFIID. EMBO J. 14: 1520-1531, 1995.
ECLASS 10.1 32160702
ECLASS 11.0 32160702
UNSPSC 12352203
Alias Transcription initiation factor TFIID subunit 12,Transcription initiation factor TFIID 20/15 kDa subunits,TAFII-20,TAFII-15,TAFII20,TAFII15,TAF12,TAF15,TAF2J,TAFII20
Available
Manufacturer - Category
Primary Antibodies
Manufacturer - Conjugate / Tag
carrier-free
Storage Conditions
Store at -20°C for one year from date of receipt. After reconstitution, at 4°C for one month. It can also be aliquotted and stored frozen at -20°C for six months. Avoid repeated freeze-thaw cycles.
Observed Molecular weight
22 kDa
Calculated Molecular weight
87148 MW
Clonality
Polyclonal
Application Details
Western blot, 0.1-0.5μg/ml
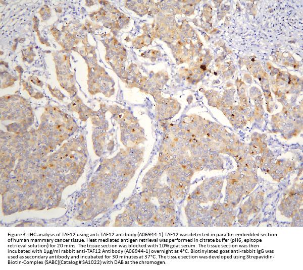
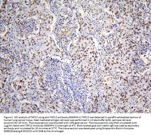
Immunohistochemistry (Paraffin-embedded Section), 0.5-1μg/ml
Gene Name
TAF12
Gene Full Name
TATA-box binding protein associated factor 12
Manufacturer - Specificity
No cross reactivity with other proteins.
Background
Transcription initiation factor TFIID subunit 12 is a protein that in humans is encoded by the TAF12 gene. Control of transcription by RNA polymerase II involves the basal transcription machinery which is a collection of proteins. These proteins with RNA polymerase II, assemble into complexes which are modulated by transactivator proteins that bind to cis-regulatory elements located adjacent to the transcription start site. Some modulators interact ly with the basal complex, whereas others may act as bridging proteins linking transactivators to the basal transcription factors. Some of these associated factors are weakly attached while others are tightly associated with TBP in the TFIID complex. Among the latter are the TAF proteins. Different TAFs are predicted to mediate the function of distinct transcriptional activators for a variety of gene promoters and RNA polymerases. TAF12 interacts ly with TBP as well as with TAF2I. Two transcript variants encoding the same protein have been found for this gene.
Immunogen
A synthetic peptide corresponding to a sequence at the C-terminus of human TAF12, identical to the related mouse and rat sequences.
Contents
Each vial contains 4mg Trehalose, 0.9mg NaCl, 0.2mg Na2HPO4, 0.05mg NaN3.
Purification
Immunogen affinity purified.
Reconstitution
Add 0.2ml of distilled water will yield a concentration of 500ug/ml.
Concentration
Adding 0.2 ml of distilled water will yield a concentration of 500 μg/ml.
Manufacturer - Research Category
Epigenetics and Nuclear Signaling, Pol II Transcription, Polymerase Associated Factors, Transcription
Protein Name
ADAM metallopeptidase domain 28
Protein Function
TAFs are components of the transcription factor IID (TFIID) complex, PCAF histone acetylase complex and TBP-free TAFII complex (TFTC). TAFs components-TIIFD are essential for mediating regulation of RNA polymerase transcription.
Subcellular Localization
Nucleus.
Description
Boster Bio Anti-TAF12 Antibody Picoband® catalog # A06944-1. Tested in IHC, WB applications. This antibody reacts with Human, Mouse, Rat. The brand Picoband indicates this is a premium antibody that guarantees superior quality, high affinity, and strong signals with minimal background in Western blot applications. Only our best-performing antibodies are designated as Picoband, ensuring unmatched performance.
Tissue Specificity
Ubiquitous.
Manufacturer - Cross Reactivity
No cross-reactivity with other proteins.

Note: The presented information and documents (Manual, Product Datasheet, Safety Datasheet and Certificate of Analysis) correspond to our latest update and should serve for orientational purpose only. We do not guarantee the topicality. We would kindly ask you to make a request for specific requirements, if necessary.

All products are intended for research use only (RUO). Not for human, veterinary or therapeutic use.

Amount: 100 ug
Available: In stock
available

Compare

Add to wishlist

Get an offer

Request delivery time

Ask a technical question

Submit a bulk request

Questions about this Product?