Comparison

Anti-TIMP4 Antibody Picoband® European Partner

Item no. BOS-A07131-Biotin
Manufacturer Boster
Amount 100 ug
Quantity options 100 ug/vial 10 ug 100 ug 100 ug 100 ug 100 ug 100 ug 100 ug 100 ug 100 ug 100 ug 100 ug 100 ug
Category
Type Antibody Polyclonal
Format Lyophilized
Applications WB, FC, IF, IHC, ICC, ELISA
Specific against Human (Homo sapiens), Mouse (Murine, Mus musculus), Rat (Rattus norvegicus)
Host Rabbit
Isotype IgG
Conjugate/Tag Biotin
Citations 1. Entrez Gene: THPO TIMP4 (myeloproliferative leukemia virus oncogene ligand, megakaryocyte growth and development factor).
2. Olson TM, Hirohata S, Ye J, Leco K, Seldin MF, Apte SS (Sep 1998). Cloning of the human tissue inhibitor of metalloproteinase-4 gene (TIMP4) and localization of the TIMP4 and Timp4 genes to human chromosome 3p25 and mouse chromosome 6, respectively. Genomics. 51 (1): 148–151.
ECLASS 10.1 32160702
ECLASS 11.0 32160702
UNSPSC 12352203
Alias Metalloproteinase inhibitor 4,Tissue inhibitor of metalloproteinases 4,TIMP-4,TIMP4
Available
Manufacturer - Category
Primary Antibodies
Storage Conditions
Store at -20°C for one year from date of receipt. After reconstitution, at 4°C for one month. It can also be aliquotted and stored frozen at -20°C for six months. Avoid repeated freeze-thaw cycles.
Observed Molecular weight
25 kDa
Calculated Molecular weight
25503 MW
Clonality
Polyclonal
Application Details
Western blot, 0.1-0.5μg/ml, Human, Mouse, Rat
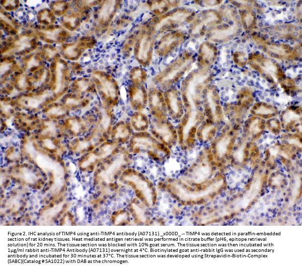
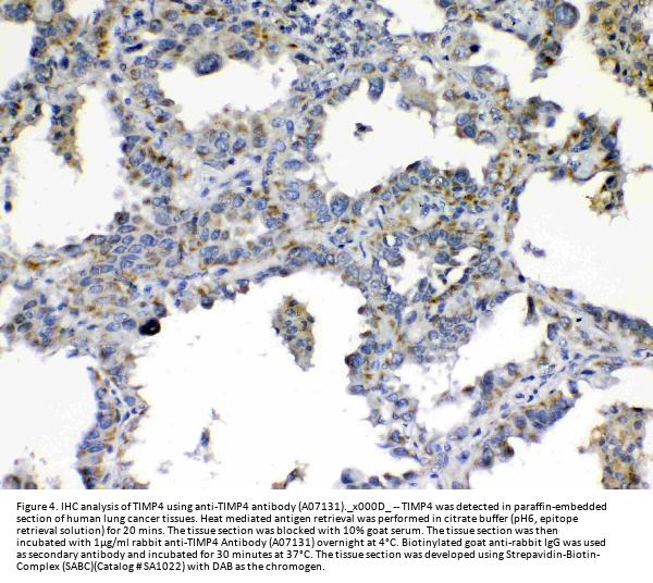
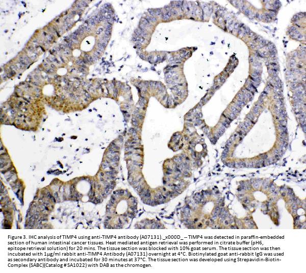
Immunohistochemistry (Paraffin-embedded Section), 0.5-1μg/ml, Human, Rat
Immunocytochemistry, 0.5-1μg/ml, Human
Immunocytochemistry/Immunofluorescence, 2μg/ml, Human
Flow Cytometry (Fixed), 1-3μg/1x106 cells, Human
ELISA, 0.1-0.5μg/ml
Gene Name
TIMP4
Gene Full Name
Metalloproteinase inhibitor 4
Manufacturer - Specificity
No cross reactivity with other proteins.
Background
Metalloproteinase inhibitor 4 is an enzyme that in humans is encoded by the TIMP4 gene. And this gene is mapped to chromosome 3p25. This gene belongs to the TIMP gene family. The proteins encoded by this gene family are inhibitors of the matrix metalloproteinases, a group of peptidases involved in degradation of the extracellular matrix. The secreted, netrin domain-containing protein encoded by this gene is involved in regulation of platelet aggregation and recruitment and may play role in hormonal regulation and endometrial tissue remodeling.
Immunogen
E. coli-derived human TIMP4 recombinant protein (Position: N174-P224). Human TIMP4 shares 92.2% amino acid (aa) sequence identity with both mouse and rat TIMP4.
Contents
Each vial contains 4mg Trehalose, 0.9mg NaCl, 0.2mg Na2HPO4, 0.05mg NaN3.
Purification
Immunogen affinity purified.
Reconstitution
Add 0.2ml of distilled water will yield a concentration of 500ug/ml.
Concentration
Adding 0.2 ml of distilled water will yield a concentration of 500 μg/ml.
Manufacturer - Research Category
Angiogenesis, Cancer, Cardiovascular, Cell Biology, ECM Enzymes, Extracellular Matrix, Invasion/Microenvironment, Protease Inhibitors, Proteolysis/Ubiquitin
Protein Name
Metalloproteinase inhibitor 4
Protein Function
Complexes with metalloproteinases (such as collagenases) and irreversibly inactivates them by binding to their catalytic zinc cofactor. Known to act on MMP-1, MMP-2, MMP-3, MMP-7 and MMP- 9.
Subcellular Localization
Secreted.
Description
Boster Bio Anti-TIMP4 Antibody Picoband® catalog # A07131. Tested in ELISA, Flow Cytometry, IF, IHC, ICC, WB applications. This antibody reacts with Human, Mouse, Rat. The brand Picoband indicates this is a premium antibody that guarantees superior quality, high affinity, and strong signals with minimal background in Western blot applications. Only our best-performing antibodies are designated as Picoband, ensuring unmatched performance.
Tissue Specificity
Abundant in heart and present at low levels in many other tissues.
Manufacturer - Cross Reactivity
No cross-reactivity with other proteins

Note: The presented information and documents (Manual, Product Datasheet, Safety Datasheet and Certificate of Analysis) correspond to our latest update and should serve for orientational purpose only. We do not guarantee the topicality. We would kindly ask you to make a request for specific requirements, if necessary.

All products are intended for research use only (RUO). Not for human, veterinary or therapeutic use.

Amount: 100 ug
Available: In stock
available

Compare

Add to wishlist

Get an offer

Request delivery time

Ask a technical question

Submit a bulk request

Questions about this Product?