Comparison

Anti-SRCIN1 Antibody Picoband® European Partner

Item no. BOS-A08110-1-HRP
Manufacturer Boster
Amount 100 ug
Quantity options 100 ug/vial 10 ug 100 ug 100 ug 100 ug 100 ug 100 ug 100 ug 100 ug 100 ug 100 ug 100 ug
Category
Type Antibody Polyclonal
Format Lyophilized
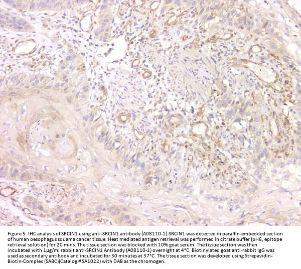
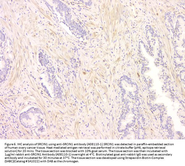
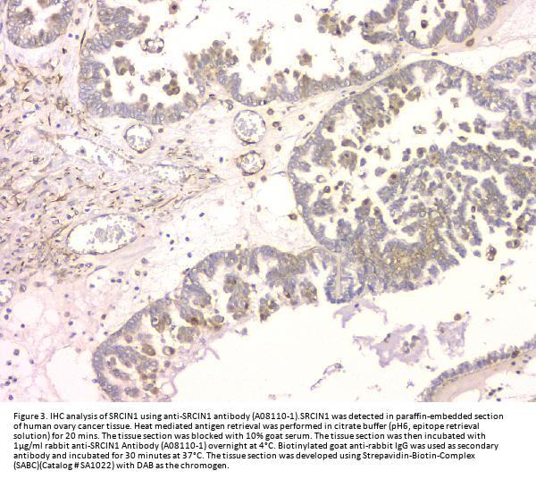
Applications WB, FC, IHC, ICC, ELISA, IHC-F
Specific against Human (Homo sapiens), Mouse (Murine, Mus musculus), Rat (Rattus norvegicus)
Host Rabbit
Isotype IgG
Conjugate/Tag HRP
Citations 1. Chin, L.-S., Nugent, R. D., Raynor, M. C., Vavalle, J. P., Li, L. SNIP, a novel SNAP-25-interacting protein implicated in regulated exocytosis. J. Biol. Chem. 275: 1191-1200, 2000.
2. Nagase, T., Kikuno, R., Hattori, A., Kondo, Y., Okumura, K., Ohara, O. Prediction of the coding sequences of unidentified human genes. XIX. The complete sequences of 100 new cDNA clones from brain which code for large proteins in vitro. DNA Res. 7: 347-355, 2000.
ECLASS 10.1 32160702
ECLASS 11.0 32160702
UNSPSC 12352203
Alias SRC kinase signaling inhibitor 1,SNAP-25-interacting protein,SNIP,p130Cas-associated protein,p140Cap,SRCIN1,KIAA1684,P140
Available
Manufacturer - Category
Primary Antibodies
Storage Conditions
Store at -20°C for one year from date of receipt. After reconstitution, at 4°C for one month. It can also be aliquotted and stored frozen at -20°C for six months. Avoid repeated freeze-thaw cycles.
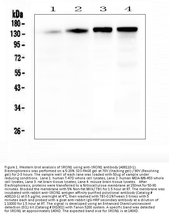
Observed Molecular weight
140 kDa
Calculated Molecular weight
17136 MW
Clonality
Polyclonal
Application Details
Western blot, 0.1-0.5μg/ml
Immunohistochemistry (Paraffin-embedded Section), 0.5-1μg/ml
Immunohistochemistry (Frozen Section), 0.5-1μg/ml
Immunocytochemistry, 0.5-1μg/ml
Flow Cytometry (Fixed), 1-3μg/1x106 cells
ELISA, 0.1-0.5μg/ml
Gene Name
SRCIN1
Gene Full Name
SRC kinase signaling inhibitor 1
Manufacturer - Specificity
No cross reactivity with other proteins.
Background
Using yeast 2-hybrid analysis, protein pull-down assays, and mutation analysis, it is showed that the first coiled-coil domain of rat Snip interacted with the N-terminal t-SNARE domain of Snap25 (600322). Biochemical studies demonstrated that Snip was tightly associated with rat brain cytoskeleton. In immunofluorescence and confocal microscopy of rat PC12 pheochromocytoma cells revealed colocalization of Snip with Snap25 in the actin cytoskeleton, particularly in filopodia, lamellipodia, and neuritic extensions, including the tips. Overexpression of Snip or its Snap25-interacting domain inhibited calcium-dependent exocytosis from PC12 cells. It is concluded that SNIP is involved in regulation of neurosecretion, perhaps via its interaction with SNAP25 and the cytoskeleton.
Immunogen
E.coli-derived human SRCIN1 recombinant protein (Position: E189-E287).
Contents
Each vial contains 4mg Trehalose, 0.9mg NaCl, 0.2mg Na2HPO4, 0.05mg NaN3.
Purification
Immunogen affinity purified.
Reconstitution
Add 0.2ml of distilled water will yield a concentration of 500ug/ml.
Concentration
Adding 0.2 ml of distilled water will yield a concentration of 500 μg/ml.
Manufacturer - Research Category
Co-Factors, Epigenetics and Nuclear Signaling, Mediator Complex, Pol II Transcription, Polymerase Associated Factors, Transcription
Protein Name
Chromaffin granule amine transporter
Protein Function
Acts as a negative regulator of SRC by activating CSK which inhibits SRC activity and downstream signaling, leading to impaired cell spreading and migration. Regulates dendritic spine morphology. Involved in calcium-dependent exocytosis. May play a role in neurotransmitter release or synapse maintenance.
Subcellular Localization
Postsynaptic density. Cytoskeleton. Cytoplasm. Axon. Dendrite. Synapse.
Description
Boster Bio Anti-SRCIN1 Antibody Picoband® catalog # A08110-1. Tested in ELISA, Flow Cytometry, IHC, IHC-F, ICC, WB applications. This antibody reacts with Human, Mouse, Rat. The brand Picoband indicates this is a premium antibody that guarantees superior quality, high affinity, and strong signals with minimal background in Western blot applications. Only our best-performing antibodies are designated as Picoband, ensuring unmatched performance.
Tissue Specificity
Expressed in some primary breast carcinomas where its presence is significantly associated with increased tumor size. Not detected in normal breast tissue.
Manufacturer - Cross Reactivity
No cross-reactivity with other proteins.

Note: The presented information and documents (Manual, Product Datasheet, Safety Datasheet and Certificate of Analysis) correspond to our latest update and should serve for orientational purpose only. We do not guarantee the topicality. We would kindly ask you to make a request for specific requirements, if necessary.

All products are intended for research use only (RUO). Not for human, veterinary or therapeutic use.

Amount: 100 ug
Available: In stock
available

Compare

Add to wishlist

Get an offer

Request delivery time

Ask a technical question

Submit a bulk request

Questions about this Product?