Comparison

Anti-NCKAP1 Antibody Picoband® European Partner

Item no. BOS-A09238-1-Dylight550
Manufacturer Boster
Amount 100 ug
Quantity options 100 ug/vial 10 ug 100 ug 100 ug 100 ug 100 ug 100 ug 100 ug 100 ug 100 ug 100 ug 100 ug
Category
Type Antibody Polyclonal
Format Lyophilized
Applications WB
Specific against Human (Homo sapiens), Mouse (Murine, Mus musculus), Rat (Rattus norvegicus)
Host Rabbit
Isotype IgG
Conjugate/Tag Dylight 550
Citations 1. Eden S, Rohatgi R, Podtelejnikov AV, Mann M, Kirschner MW (Aug 2002). Mechanism of regulation of WAVE1-induced actin nucleation by Rac1 and Nck. Nature. 418 (6899): 790–3.
2. Kitamura Y, Kitamura T, Sakaue H, Maeda T, Ueno H, Nishio S, Ohno S, Osada SI, Sakaue M, Ogawa W, Kasuga M (Mar 1997). Interaction of Nck-associated protein 1 with activated GTP-binding protein Rac. The Biochemical Journal. 322 (Pt 3): 873–8.
3. Suzuki, T., Nishiyama, K., Yamamoto, A., Inazawa, J., Iwaki, T., Yamada, T., Kanazawa, I., Sakaki, Y. Molecular cloning of a novel apoptosis-related gene, human Nap1 (NCKAP1), and its possible relation to Alzheimer disease. Genomics 63: 246-254, 2000.
ECLASS 10.1 32160702
ECLASS 11.0 32160702
UNSPSC 12352203
Alias Nck-associated protein 1,NAP 1,Membrane-associated protein HEM-2,p125Nap1,NCKAP1,HEM2,KIAA0587,NAP1
Available
Manufacturer - Category
Primary Antibodies
Storage Conditions
Store at -20°C for one year from date of receipt. After reconstitution, at 4°C for one month. It can also be aliquotted and stored frozen at -20°C for six months. Avoid repeated freeze-thaw cycles.
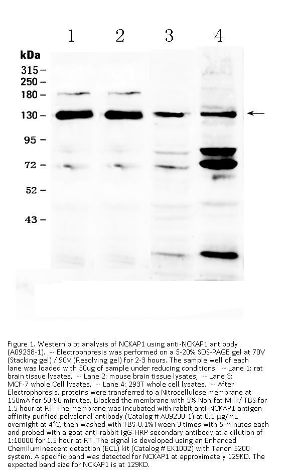
Observed Molecular weight
129 kDa
Calculated Molecular weight
128790 MW
Clonality
Polyclonal
Application Details
Western blot, 0.1-0.5μg/ml, Human, Mouse, Rat
Gene Name
NCKAP1
Gene Full Name
Nck-associated protein 1
Manufacturer - Specificity
No cross reactivity with other proteins.
Background
Nck-associated protein 1 is a protein that in humans is encoded by the NCKAP1 gene. By somatic cell hybrid analysis, the NCKAP1 gene was mapped to chromosome 2. NCKAP1 is a predicted type II transmembrane protein, with a C-terminal transmembrane domain. It was demonstrated that suppression of NCKAP1 expression using an antisense NCKAP1 oligonucleotide induced apoptosis of neuronal cells.
Immunogen
E.coli-derived human NCKAP1 recombinant protein (Position: S2-K201). Human NCKAP1 shares 98.5% and 98% amino acid (aa) sequence identity with mouse and rat NCKAP1, respectively.
Contents
Each vial contains 5mg BSA, 0.9mg NaCl, 0.2mg Na2HPO4, 0.05mg NaN3.
Purification
Immunogen affinity purified.
Reconstitution
Add 0.2ml of distilled water will yield a concentration of 500ug/ml.
Concentration
Adding 0.2 ml of distilled water will yield a concentration of 500 μg/ml.
Manufacturer - Research Category
Neurogenesis, Neurology Process, Neuroscience, NFKB Pathway, Nuclear Signaling, Signal Transduction, Signaling Pathway
Protein Name
Nck-associated protein 1
Protein Function
Part of the WAVE complex that regulates lamellipodia formation. The WAVE complex regulates actin filament reorganization via its interaction with the Arp2/3 complex. Actin remodeling activity is regulated by RAC1.
Subcellular Localization
Cell membrane; Single-pass membrane protein; Cytoplasmic side. Cell projection, lamellipodium membrane; Single-pass membrane protein; Cytoplasmic side. At the interface between the lamellipodial actin meshwork and the membrane.
Description
Boster Bio Anti-NCKAP1 Antibody Picoband® catalog # A09238-1. Tested in WB applications. This antibody reacts with Human, Mouse, Rat. The brand Picoband indicates this is a premium antibody that guarantees superior quality, high affinity, and strong signals with minimal background in Western blot applications. Only our best-performing antibodies are designated as Picoband, ensuring unmatched performance.
Tissue Specificity
Expressed in all tissues examined except peripheral blood leukocytes, with highest expression in brain, heart, and skeletal muscle.
Manufacturer - Cross Reactivity
No cross-reactivity with other proteins.

Note: The presented information and documents (Manual, Product Datasheet, Safety Datasheet and Certificate of Analysis) correspond to our latest update and should serve for orientational purpose only. We do not guarantee the topicality. We would kindly ask you to make a request for specific requirements, if necessary.

All products are intended for research use only (RUO). Not for human, veterinary or therapeutic use.

Amount: 100 ug
Available: In stock
available

Compare

Add to wishlist

Get an offer

Request delivery time

Ask a technical question

Submit a bulk request

Questions about this Product?