Comparison

Anti-SHQ1 Antibody Picoband® European Partner

Item no. BOS-A10185-1-Dylight550
Manufacturer Boster
Amount 100 ug
Quantity options 100 ug/vial 10 ug 100 ug/vial 100 ug/vial 100 ug/vial 100 ug 100 ug 100 ug 100 ug/vial 100 ug/vial 100 ug/vial 100 ug/vial
Category
Type Antibody
Format Lyophilized
Applications WB, FC, IF, IHC, ICC, ELISA
Specific against Human (Homo sapiens), Mouse (Murine, Mus musculus), Rat (Rattus norvegicus)
Host Rabbit
Isotype IgG
Conjugate/Tag Dylight 550
Citations 1. Bizarro, J., Meier, U. T. Inherited SHQ1 mutations impair interaction with NAP57/dyskerin, a major target in dyskeratosis congenita. Molec. Genet. Genomic Med. 5: 805-808, 2017.
2. Grozdanov, P. N., Roy, S., Kuttur, N., Meier, U. T. SHQ1 is required prior to NAF1 for assembly of H/ACA small nucleolar and telomerase RNPs. RNA 15: 1188-1197, 2009. [PubMed: 19383767, images, related citations] [Full Text]
3. Hartz, P. A. Personal Communication. Baltimore, Md. 12/3/2010.
ECLASS 10.1 32160702
ECLASS 11.0 32160702
UNSPSC 12352203
Alias Protein NDRG3,N-myc downstream-regulated gene 3 protein,NDRG3
Available
Manufacturer - Category
Primary Antibodies
Storage Conditions
At -20°C for one year from date of receipt.
After reconstitution, at 4°C for one month. It can also be aliquotted and stored frozen at -20°C for six months.
Avoid repeated freezing and thawing.
Observed Molecular weight
80 kDa
Calculated Molecular weight
41409 MW
Clonality
Polyclonal
Application Details
Western blot, 0.25-0.5 μg/ml, Human
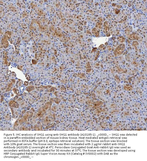
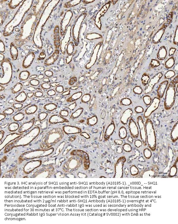
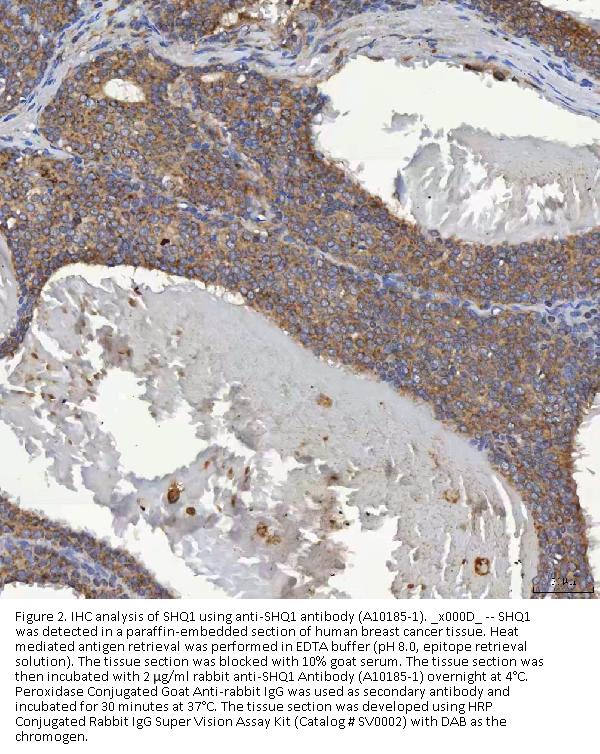
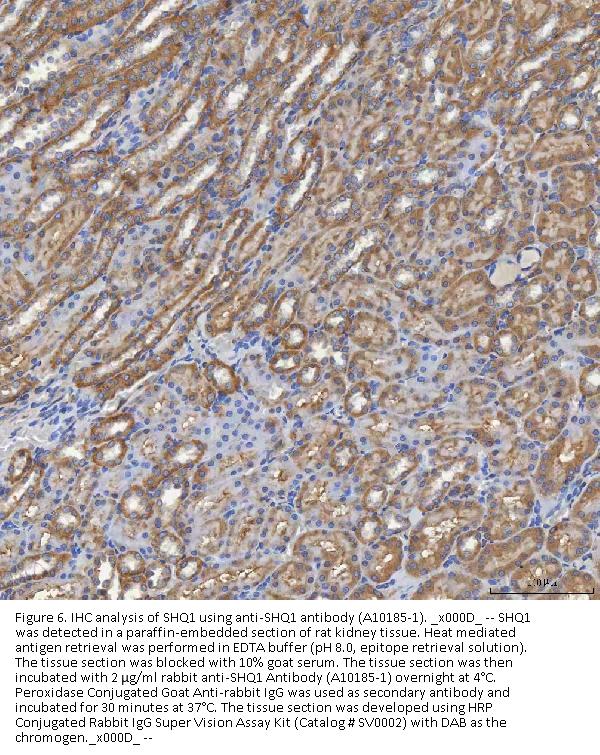
Immunohistochemistry(Paraffin-embedded Section), 2-5 μg/ml, Human, Mouse, Rat
Immunocytochemistry/Immunofluorescence, 5 μg/ml, Human
Flow Cytometry (Fixed), 1-3 μg/1x106 cells, Human
ELISA, 0.1-0.5 μg/ml
Gene Name
SHQ1
Gene Full Name
Protein NDRG3
Background
SHQ1 assists in the assembly of H/ACA-box ribonucleoproteins that function in the processing of ribosomal RNAs, modification of spliceosomal small nuclear RNAs, and stabilization of telomerase.
Immunogen
E.coli-derived human SHQ1 recombinant protein (Position: M1-D277).
Contents
Each vial contains 4 mg Trehalose, 0.9 mg NaCl, 0.2 mg Na2HPO4.
Purification
Immunogen affinity purified.
Reconstitution
Adding 0.2 ml of distilled water will yield a concentration of 500 μg/ml.
Concentration
Adding 0.2 ml of distilled water will yield a concentration of 500 μg/ml.
Manufacturer - Research Category
Cancer, Cell Biology, Cell Cycle, Cell Differentiation, Tumor Biomarkers
Protein Name
Protein NDRG3
Protein Function
Promotes the growth of epithelial cells. May stimulate the phosphorylation of EGFR and mitogen-activated protein kinases.
Subcellular Localization
Membrane; Single-pass type I membrane protein.
Description
Boster Bio Anti-SHQ1 Antibody Picoband® catalog # A10185-1. Tested in ELISA, Flow Cytometry, IF, IHC, ICC, WB applications. This antibody reacts with Human, Mouse, Rat. The brand Picoband indicates this is a premium antibody that guarantees superior quality, high affinity, and strong signals with minimal background in Western blot applications. Only our best-performing antibodies are designated as Picoband, ensuring unmatched performance.
Tissue Specificity
Ubiquitous. Highly expressed in brain.
Manufacturer - Cross Reactivity
No cross-reactivity with other proteins

Note: The presented information and documents (Manual, Product Datasheet, Safety Datasheet and Certificate of Analysis) correspond to our latest update and should serve for orientational purpose only. We do not guarantee the topicality. We would kindly ask you to make a request for specific requirements, if necessary.

All products are intended for research use only (RUO). Not for human, veterinary or therapeutic use.

Amount: 100 ug
Available: In stock
available

Compare

Add to wishlist

Get an offer

Request delivery time

Ask a technical question

Submit a bulk request

Questions about this Product?