Comparison

c-Fos Antibody

Item no. PRS-13-096-100uL
Manufacturer ProSci
Amount 100 uL
Quantity options 100 uL
Category
Type Antibody Primary
Format Liquid
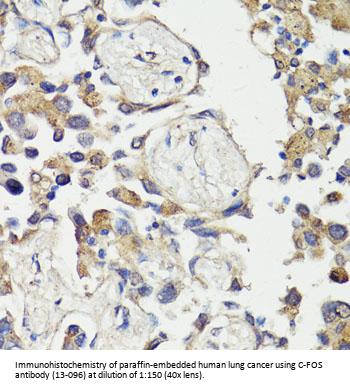
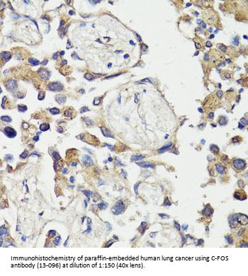
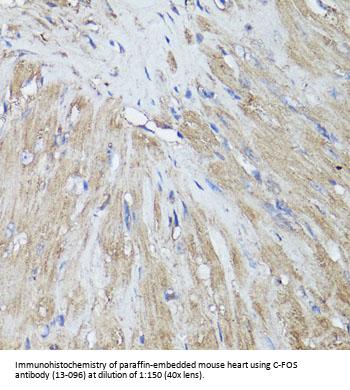
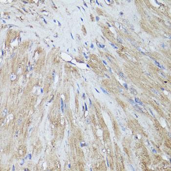
Applications WB, IF, IHC
Specific against Human (Homo sapiens), Mouse (Murine, Mus musculus), Rat (Rattus norvegicus)
Host Rabbit
Isotype IgG
Conjugate/Tag Unconjugated
NCBI FOS
ECLASS 10.1 32160702
ECLASS 11.0 32160702
UNSPSC 12352203
Alias FOS,p55,AP-1,C-FOS
Shipping Condition Cool pack
Available
Specificity Human,Mouse,Rat
Manufacturer - Type
Primary Antibodies
Shipping Temperature
Blue Ice
Storage Conditions
Store at -20˚ C. Avoid freeze / thaw cycles.
Molecular Weight
Observed: 70kDa/62kDa
Manufacturer - Research Area
Cancer, Immunology, Neuroscience, Signal Transduction, Transcription
Background
The Fos gene family consists of 4 members: FOS, FOSB, FOSL1, and FOSL2. These genes encode leucine zipper proteins that can dimerize with proteins of the JUN family, thereby forming the transcription factor complex AP-1. As such, the FOS proteins have been implicated as regulators of cell proliferation, differentiation, and transformation. In some cases, expression of the FOS gene has also been associated with apoptotic cell death.
By Type
Cancer, Immunology, Neuroscience, Signal Transduction, Transcription
Modifications
None
Purification
Affinity purification
Positive Control 1
Mouse spinal cord
Positive Control 2
Mouse lung
Positive Control 3
Mouse brain
Positive Control 4
Mouse intestine
Positive Control 5
HepG2
Concentration
batch dependent
Buffer
PBS with 0.02% sodium azide, 50% glycerol, pH7.3.
Application Note
WB: 1:500 - 1:2000
IHC: 1:50 - 1:200
IF: 1:50 - 1:200
Immunogen
Recombinant fusion protein containing a sequence corresponding to amino acids 211-380 of human c-Fos (NP_005243.1).
Clonality
Polyclonal
NCBI Official Name
FBJ murine osteosarcoma viral oncogene homolog
NCBI Organism
Homo sapiens
User Note
Optimal dilutions for each application to be determined by the researcher.

Note: The presented information and documents (Manual, Product Datasheet, Safety Datasheet and Certificate of Analysis) correspond to our latest update and should serve for orientational purpose only. We do not guarantee the topicality. We would kindly ask you to make a request for specific requirements, if necessary.

All products are intended for research use only (RUO). Not for human, veterinary or therapeutic use.

Amount: 100 uL
Available: In stock
available

Compare

Add to wishlist

Get an offer

Request delivery time

Ask a technical question

Submit a bulk request

Questions about this Product?
 
Close