Comparison

PIK3CA Antibody

Item no. PRS-13-115-100uL
Manufacturer ProSci
Amount 100 uL
Quantity options 100 uL
Category
Type Antibody Primary
Format Liquid
Applications WB, IF, IHC
Specific against Human (Homo sapiens), Mouse (Murine, Mus musculus), Rat (Rattus norvegicus)
Host Rabbit
Isotype IgG
Conjugate/Tag Unconjugated
NCBI PIK3CA
ECLASS 10.1 32160702
ECLASS 11.0 32160702
UNSPSC 12352203
Shipping Condition Cool pack
Available
Specificity Human,Mouse,Rat
Manufacturer - Type
Primary Antibodies
Shipping Temperature
Blue Ice
Storage Conditions
Store at -20˚ C. Avoid freeze / thaw cycles.
Molecular Weight
Observed: 115kDa
Manufacturer - Research Area
Apoptosis, Cancer, Cell Cycle, Immunology, Innate Immunity, Signal Transduction
Background
Phosphatidylinositol 3-kinase is composed of an 85 kDa regulatory subunit and a 110 kDa catalytic subunit. The protein encoded by this gene represents the catalytic subunit, which uses ATP to phosphorylate PtdIns, PtdIns4P and PtdIns(4, 5)P2. This gene has been found to be oncogenic and has been implicated in cervical cancers. A pseudogene of this gene has been defined on chromosome 22.
By Type
Apoptosis, Cancer, Cell Cycle, Immunology, Innate Immunity, Signal Transduction
Modifications
None
Purification
Affinity purification
Positive Control 1
HeLa
Concentration
batch dependent
Buffer
PBS with 0.02% sodium azide, 50% glycerol, pH7.3.
Application Note
WB: 1:500 - 1:2000
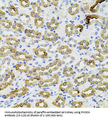
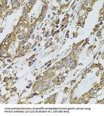
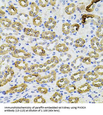
IHC: 1:50 - 1:100
IF: 1:50 - 1:100
Immunogen
Recombinant fusion protein containing a sequence corresponding to amino acids 401-600 of human PIK3CA (NP_006209.2).
Clonality
Polyclonal
NCBI Official Name
Phosphatidylinositol 4, 5-bisphosphate 3-kinase catalytic subunit alpha isoform
NCBI Organism
Homo sapiens
User Note
Optimal dilutions for each application to be determined by the researcher.
Manufacturer - Additional Names
Phosphatidylinositol 4, 5-bisphosphate 3-kinase catalytic subunit alpha isoform, PI3-kinase subunit alpha, PI3K-alpha, PI3Kalpha, PtdIns-3-kinase subunit alpha, Phosphatidylinositol 4, 5-bisphosphate 3-kinase 110 kDa catalytic subunit alpha, PtdIns-3-kinase subunit p110-alpha, p110alpha, Phosphoinositide-3-kinase catalytic alpha polypeptide, Serine/threonine protein kinase PIK3CA, PIK3CA

Note: The presented information and documents (Manual, Product Datasheet, Safety Datasheet and Certificate of Analysis) correspond to our latest update and should serve for orientational purpose only. We do not guarantee the topicality. We would kindly ask you to make a request for specific requirements, if necessary.

All products are intended for research use only (RUO). Not for human, veterinary or therapeutic use.

Amount: 100 uL
Available: In stock
available

Compare

Add to wishlist

Get an offer

Request delivery time

Ask a technical question

Submit a bulk request

Questions about this Product?
 
Close