Comparison

FGF1 Antibody

Item no. PRS-13-246-100uL
Manufacturer ProSci
Amount 100 uL
Quantity options 100 uL
Category
Type Antibody Primary
Format Liquid
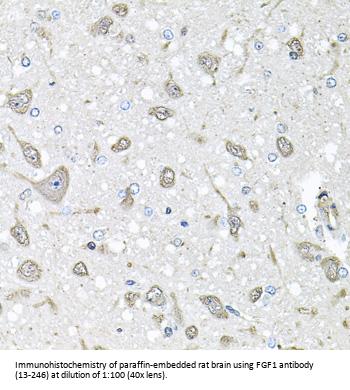
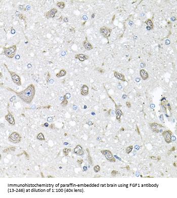
Applications WB, IHC
Specific against Human (Homo sapiens), Mouse (Murine, Mus musculus), Rat (Rattus norvegicus)
Host Rabbit
Isotype IgG
Conjugate/Tag Unconjugated
NCBI FGF1
ECLASS 10.1 32160702
ECLASS 11.0 32160702
UNSPSC 12352203
Alias FGF1,AFGF,Endothelial cell growth factor,Fibroblast growth factor 1,FGFA,ECGFB,HBGF-1,GLIO703,ECGF,ECGF-beta,ECGFA,FGF-1,FGF-alpha,HBGF1
Shipping Condition Cool pack
Available
Specificity Human,Mouse,Rat
Manufacturer - Type
Primary Antibodies
Shipping Temperature
Blue Ice
Storage Conditions
Store at -20˚ C. Avoid freeze / thaw cycles.
Molecular Weight
Observed: 17kDa
Manufacturer - Research Area
Cancer, Cell Cycle, Growth Factors, Signal Transduction
Background
The protein encoded by this gene is a member of the fibroblast growth factor (FGF) family. FGF family members possess broad mitogenic and cell survival activities, and are involved in a variety of biological processes, including embryonic development, cell growth, morphogenesis, tissue repair, tumor growth and invasion. This protein functions as a modifier of endothelial cell migration and proliferation, as well as an angiogenic factor. It acts as a mitogen for a variety of mesoderm- and neuroectoderm-derived cells in vitro, thus is thought to be involved in organogenesis. Multiple alternatively spliced variants encoding different isoforms have been described.
By Type
Cancer, Cell Cycle, Growth Factors, Signal Transduction
Modifications
None
Purification
Affinity purification
Positive Control 1
293T
Concentration
batch dependent
Buffer
PBS with 0.02% sodium azide, 50% glycerol, pH7.3.
Application Note
WB: 1:500 - 1:2000
IHC: 1:100 - 1:200
Immunogen
Recombinant fusion protein containing a sequence corresponding to amino acids 16-155 of human FGF1 (NP_001138364.1).
Clonality
Polyclonal
NCBI Official Name
fibroblast growth factor 1 (acidic)
NCBI Organism
Homo sapiens
User Note
Optimal dilutions for each application to be determined by the researcher.

Note: The presented information and documents (Manual, Product Datasheet, Safety Datasheet and Certificate of Analysis) correspond to our latest update and should serve for orientational purpose only. We do not guarantee the topicality. We would kindly ask you to make a request for specific requirements, if necessary.

All products are intended for research use only (RUO). Not for human, veterinary or therapeutic use.

Amount: 100 uL
Available: In stock
available

Compare

Add to wishlist

Get an offer

Request delivery time

Ask a technical question

Submit a bulk request

Questions about this Product?
 
Close