Comparison

IL17RD Antibody

Item no. PRS-13-386-100uL
Manufacturer ProSci
Amount 100 uL
Quantity options 100 uL
Category
Type Antibody Primary
Format Liquid
Applications WB
Specific against Human (Homo sapiens), Mouse (Murine, Mus musculus), Rat (Rattus norvegicus)
Host Rabbit
Isotype IgG
Conjugate/Tag Unconjugated
NCBI IL17RD
ECLASS 10.1 32160702
ECLASS 11.0 32160702
UNSPSC 12352203
Alias Interleukin-17 receptor D,IL-17 receptor D,IL-17RD,IL17Rhom,Interleukin-17 receptor-like protein,Sef homolog,hSef,IL17RD,IL17RLM,SEF
Shipping Condition Cool pack
Available
Specificity Human,Mouse,Rat
Manufacturer - Type
Primary Antibodies
Shipping Temperature
Blue Ice
Storage Conditions
Store at -20˚ C. Avoid freeze / thaw cycles.
Molecular Weight
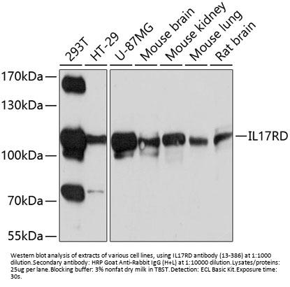
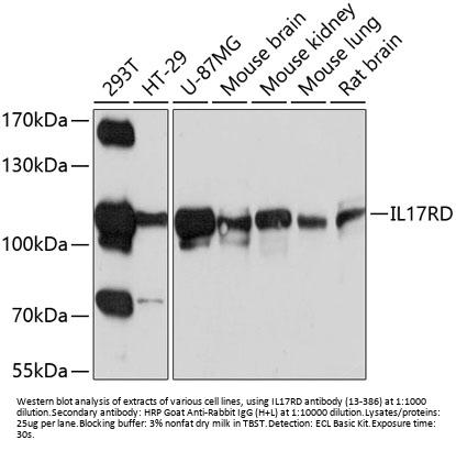
Observed: 110kDa
Manufacturer - Research Area
Cancer, Cell Cycle, Chemokines & Cytokines, Growth Factors, Immunology, Innate Immunity, Signal Transduction
Background
This gene encodes a membrane protein belonging to the interleukin-17 receptor (IL-17R) protein family. The encoded protein is a component of the interleukin-17 receptor signaling complex, and the interaction between this protein and IL-17R does not require the interleukin. The gene product also affects fibroblast growth factor signaling, inhibiting or stimulating growth through MAPK/ERK signaling. Alternate splicing generates multiple transcript variants encoding distinct isoforms.
By Type
Cancer, Cell Cycle, Chemokines & Cytokines, Growth Factors, Immunology, Innate Immunity, Signal Transduction
Modifications
None
Purification
Affinity purification
Positive Control 1
293T
Positive Control 2
HT-29
Positive Control 3
U-87MG
Positive Control 4
Mouse brain
Positive Control 5
Mouse kidney
Positive Control 6
Mouse lung
Concentration
batch dependent
Buffer
PBS with 0.02% sodium azide, 50% glycerol, pH7.3.
Application Note
WB: 1:500 - 1:2000
Immunogen
Recombinant fusion protein containing a sequence corresponding to amino acids 150-300 of human IL17RD (NP_060033.3).
Clonality
Polyclonal
NCBI Official Name
Interleukin-17 receptor D
NCBI Organism
Homo sapiens
User Note
Optimal dilutions for each application to be determined by the researcher.

Note: The presented information and documents (Manual, Product Datasheet, Safety Datasheet and Certificate of Analysis) correspond to our latest update and should serve for orientational purpose only. We do not guarantee the topicality. We would kindly ask you to make a request for specific requirements, if necessary.

All products are intended for research use only (RUO). Not for human, veterinary or therapeutic use.

Amount: 100 uL
Available: In stock
available

Compare

Add to wishlist

Get an offer

Request delivery time

Ask a technical question

Submit a bulk request

Questions about this Product?
 
Close