Comparison

CORIN Antibody

Item no. PRS-13-631-100uL
Manufacturer ProSci
Amount 100 uL
Quantity options 100 uL
Category
Type Antibody Primary
Format Liquid
Applications WB
Specific against Human (Homo sapiens), Mouse (Murine, Mus musculus), Rat (Rattus norvegicus)
Host Rabbit
Isotype IgG
Conjugate/Tag Unconjugated
NCBI CORIN
ECLASS 10.1 32160702
ECLASS 11.0 32160702
UNSPSC 12352203
Alias CORIN,ATC2,CRN,Lrp4,MGC119742,TMPRSS10,PEE5
Shipping Condition Cool pack
Available
Specificity Human,Mouse,Rat
Manufacturer - Type
Primary Antibodies
Shipping Temperature
Blue Ice
Storage Conditions
Store at -20˚ C. Avoid freeze / thaw cycles.
Molecular Weight
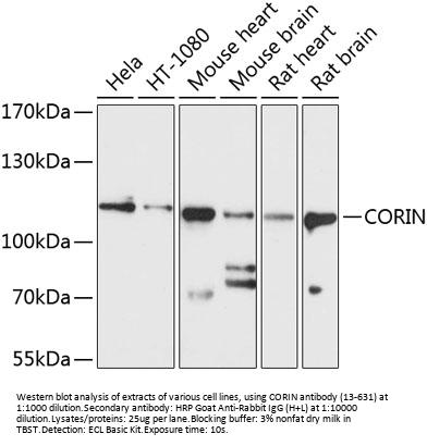
Observed: 116kDa
Manufacturer - Research Area
Cell Cycle
Background
This gene encodes a member of the type II transmembrane serine protease class of the trypsin superfamily. Members of this family are composed of multiple structurally distinct domains. The encoded protein converts pro-atrial natriuretic peptide to biologically active atrial natriuretic peptide, a cardiac hormone that regulates blood volume and pressure. This protein may also function as a pro-brain-type natriuretic peptide convertase. Multiple alternatively spliced transcript variants encoding different isoforms have been found for this gene.
By Type
Cell Cycle
Modifications
None
Purification
Affinity purification
Positive Control 1
HeLa
Positive Control 2
HT-1080
Positive Control 3
Mouse heart
Positive Control 4
Mouse brain
Positive Control 5
Rat heart
Positive Control 6
Rat brain
Concentration
batch dependent
Buffer
PBS with 0.02% sodium azide, 50% glycerol, pH7.3.
Application Note
WB: 1:500 - 1:2000
Immunogen
Recombinant fusion protein containing a sequence corresponding to amino acids 1-110 of human CORIN (NP_006578.2).
Clonality
Polyclonal
NCBI Official Name
corin, serine peptidase
NCBI Organism
Homo sapiens
User Note
Optimal dilutions for each application to be determined by the researcher.

Note: The presented information and documents (Manual, Product Datasheet, Safety Datasheet and Certificate of Analysis) correspond to our latest update and should serve for orientational purpose only. We do not guarantee the topicality. We would kindly ask you to make a request for specific requirements, if necessary.

All products are intended for research use only (RUO). Not for human, veterinary or therapeutic use.

Amount: 100 uL
Available: In stock
available

Compare

Add to wishlist

Get an offer

Request delivery time

Ask a technical question

Submit a bulk request

Questions about this Product?
 
Close