Comparison

TMEFF2 Antibody

Item no. PRS-13-668-100uL
Manufacturer ProSci
Amount 100 uL
Quantity options 100 uL
Category
Type Antibody Primary
Format Liquid
Applications WB
Specific against Human (Homo sapiens), Mouse (Murine, Mus musculus), Rat (Rattus norvegicus)
Host Rabbit
Isotype IgG
Conjugate/Tag Unconjugated
NCBI TMEFF2
ECLASS 10.1 32160702
ECLASS 11.0 32160702
UNSPSC 12352203
Alias CT120.2,HPP1,TENB2,TPEF,TR,TR-2,tomoregulin-2,cancer/testis antigen family 12member 2,hyperplastic polyposis protein 1,transmembrane protein TENB2,transmembrane protein with EGF-like and two follistatin-like domains
Shipping Condition Cool pack
Available
Specificity Human,Mouse,Rat
Manufacturer - Type
Primary Antibodies
Shipping Temperature
Blue Ice
Storage Conditions
Store at -20˚ C. Avoid freeze / thaw cycles.
Molecular Weight
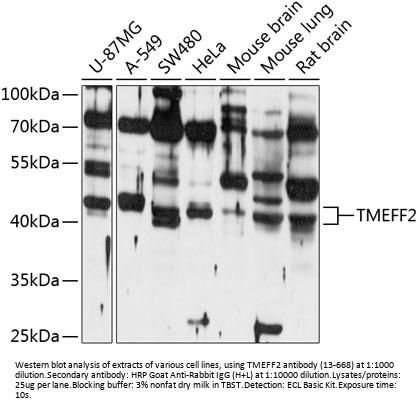
Observed: 41kDa
Manufacturer - Research Area
Cancer, Cell Cycle, Growth Factors
Background
This gene encodes a member of the tomoregulin family of transmembrane proteins. This protein has been shown to function as both an oncogene and a tumor suppressor depending on the cellular context and may regulate prostate cancer cell invasion. Multiple soluble forms of this protein have been identified that arise from both an alternative splice variant and ectodomain shedding. Additionally, this gene has been found to be hypermethylated in multiple cancer types. Alternative splicing results in multiple transcript variants.
By Type
Cancer, Cell Cycle, Growth Factors
Modifications
None
Purification
Affinity purification
Positive Control 1
U-87MG
Positive Control 2
A-549
Positive Control 3
SW480
Positive Control 4
HeLa
Positive Control 5
Mouse brain
Positive Control 6
Mouse lung
Concentration
batch dependent
Buffer
PBS with 0.02% sodium azide, 50% glycerol, pH7.3.
Application Note
WB: 1:500 - 1:2000
Immunogen
Recombinant fusion protein containing a sequence corresponding to amino acids 41-320 of human TMEFF2 (NP_057276.2).
Clonality
Polyclonal
NCBI Official Name
transmembrane protein with EGF like and two follistatin like domains 2
NCBI Organism
Homo sapiens
User Note
Optimal dilutions for each application to be determined by the researcher.

Note: The presented information and documents (Manual, Product Datasheet, Safety Datasheet and Certificate of Analysis) correspond to our latest update and should serve for orientational purpose only. We do not guarantee the topicality. We would kindly ask you to make a request for specific requirements, if necessary.

All products are intended for research use only (RUO). Not for human, veterinary or therapeutic use.

Amount: 100 uL
Available: In stock
available

Compare

Add to wishlist

Get an offer

Request delivery time

Ask a technical question

Submit a bulk request

Questions about this Product?
 
Close