Comparison

MLST8 Antibody, KO Validated

Item no. PRS-13-744-100uL
Manufacturer ProSci
Amount 100 uL
Quantity options 100 uL
Category
Type Antibody Primary
Format Liquid
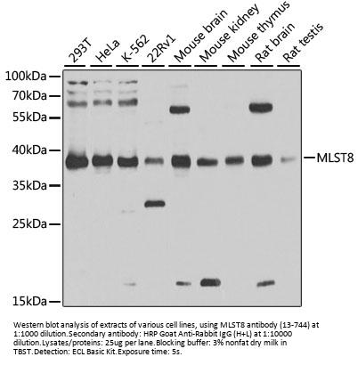
Applications WB
Specific against Human (Homo sapiens), Mouse (Murine, Mus musculus), Rat (Rattus norvegicus)
Host Rabbit
Isotype IgG
Conjugate/Tag Unconjugated
NCBI MLST8
ECLASS 10.1 32160702
ECLASS 11.0 32160702
UNSPSC 12352203
Alias GBL Antibody: GBL,LST8,POP3,WAT1,GbetaL,GBL,Target of rapamycin complex subunit LST8,G protein beta subunit-like,TORC subunit LST8
Shipping Condition Cool pack
Available
Specificity Human,Mouse,Rat
Manufacturer - Type
Primary Antibodies
Shipping Temperature
Blue Ice
Storage Conditions
Store at -20˚ C. Avoid freeze / thaw cycles.
Molecular Weight
Observed: 37kDa
Manufacturer - Research Area
Autophagy, Cell Cycle, Immunology, Signal Transduction
By Type
Autophagy, Cell Cycle, Immunology, Signal Transduction
Badges
KO
Modifications
None
Purification
Affinity purification
Validation
Antibody is Knockout validated.
Positive Control 1
293T
Positive Control 2
HeLa
Positive Control 3
K-562
Positive Control 4
22Rv1
Positive Control 5
Mouse brain
Positive Control 6
Mouse kidney
Concentration
batch dependent
Buffer
PBS with 0.02% sodium azide, 50% glycerol, pH7.3.
Application Note
WB: 1:500 - 1:2000
Immunogen
Recombinant fusion protein containing a sequence corresponding to amino acids 1-326 of human MLST8 (NP_001186103.1).
Clonality
Polyclonal
NCBI Official Name
G protein beta subunit-like
NCBI Organism
Homo sapiens
User Note
Optimal dilutions for each application to be determined by the researcher.
Validation
Antibody is Knockout validated.

Note: The presented information and documents (Manual, Product Datasheet, Safety Datasheet and Certificate of Analysis) correspond to our latest update and should serve for orientational purpose only. We do not guarantee the topicality. We would kindly ask you to make a request for specific requirements, if necessary.

All products are intended for research use only (RUO). Not for human, veterinary or therapeutic use.

Amount: 100 uL
Available: In stock
available

Compare

Add to wishlist

Get an offer

Request delivery time

Ask a technical question

Submit a bulk request

Questions about this Product?
 
Close