Comparison

IRF3 Antibody, KO Validated

Item no. PRS-13-919-100uL
Manufacturer ProSci
Amount 100 uL
Quantity options 100 uL
Category
Type Antibody Primary
Format Liquid
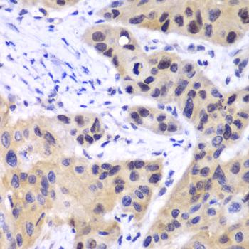
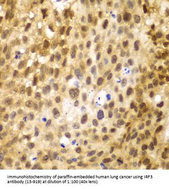
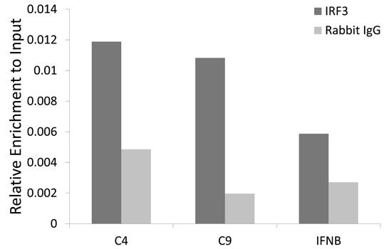
Applications WB, IHC, CHIP
Specific against Human (Homo sapiens), Mouse (Murine, Mus musculus)
Host Rabbit
Isotype IgG
Conjugate/Tag Unconjugated
NCBI IRF3
ECLASS 10.1 32160702
ECLASS 11.0 32160702
UNSPSC 12352203
Alias IRF3 Antibody: Interferon regulatory factor 3,IRF-3
Shipping Condition Cool pack
Available
Specificity Human,Mouse
Manufacturer - Type
Primary Antibodies
Shipping Temperature
Blue Ice
Storage Conditions
Store at -20˚ C. Avoid freeze / thaw cycles.
Molecular Weight
Observed: 56kDa
Manufacturer - Research Area
Chemokines & Cytokines, Immunology, Innate Immunity, Transcription, Inflammasomes
Background
This gene encodes a member of the interferon regulatory transcription factor (IRF) family. The encoded protein is found in an inactive cytoplasmic form that upon serine/threonine phosphorylation forms a complex with CREBBP. This complex translocates to the nucleus and activates the transcription of interferons alpha and beta, as well as other interferon-induced genes. Alternatively spliced transcript variants encoding multiple isoforms have been observed for this gene.
By Type
Chemokines & Cytokines, Immunology, Innate Immunity, Transcription, Inflammasomes
Badges
KO
Modifications
None
Purification
Affinity purification
Validation
Antibody is Knockout validated.
Positive Control 1
293T
Positive Control 2
HeLa
Positive Control 3
Jurkat
Positive Control 4
HepG2
Concentration
batch dependent
Buffer
PBS with 0.02% sodium azide, 50% glycerol, pH7.3.
Application Note
WB: 1:500 - 1:2000
IHC: 1:50 - 1:200
ChIP: 1:20 - 1:100
Immunogen
Recombinant fusion protein containing a sequence corresponding to amino acids 1-260 of human IRF3 (NP_001184051.1).
Clonality
Polyclonal
NCBI Official Name
interferon regulatory factor 3
NCBI Organism
Homo sapiens
User Note
Optimal dilutions for each application to be determined by the researcher.
Validation
Antibody is Knockout validated.

Note: The presented information and documents (Manual, Product Datasheet, Safety Datasheet and Certificate of Analysis) correspond to our latest update and should serve for orientational purpose only. We do not guarantee the topicality. We would kindly ask you to make a request for specific requirements, if necessary.

All products are intended for research use only (RUO). Not for human, veterinary or therapeutic use.

Amount: 100 uL
Available: In stock
available

Compare

Add to wishlist

Get an offer

Request delivery time

Ask a technical question

Submit a bulk request

Questions about this Product?
 
Close