Comparison

BAX Antibody, KO Validated

Item no. PRS-14-223-100uL
Manufacturer ProSci
Amount 100 uL
Quantity options 100 uL
Category
Type Antibody Primary
Format Liquid
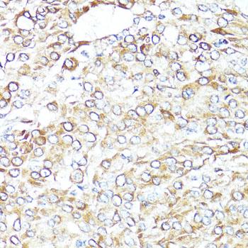
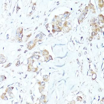
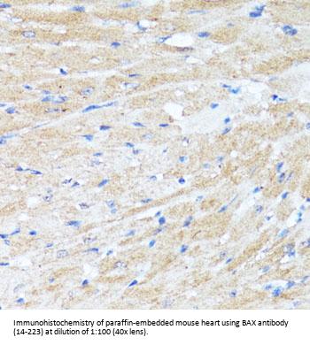
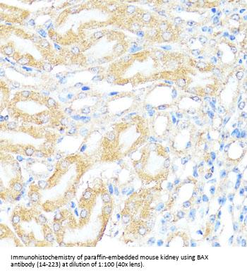
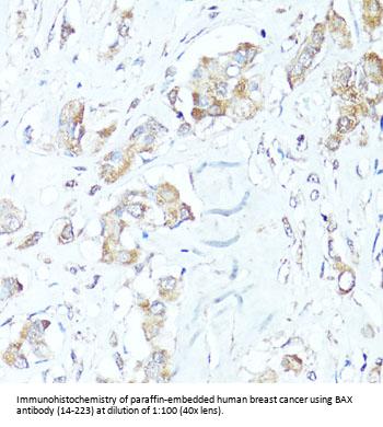
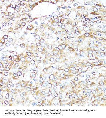
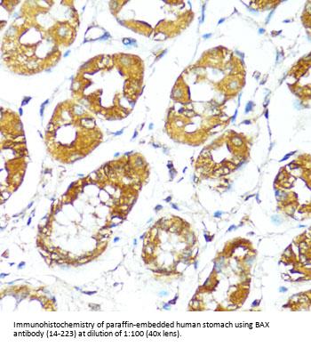
Applications WB, IP, IHC
Specific against Human (Homo sapiens), Mouse (Murine, Mus musculus), Rat (Rattus norvegicus)
Host Rabbit
Isotype IgG
Conjugate/Tag Unconjugated
NCBI BAX
ECLASS 10.1 32160702
ECLASS 11.0 32160702
UNSPSC 12352203
Alias Bax Antibody: BCL2L4,BCL2L4,Apoptosis regulator BAX,Bcl-2-like protein 4,Bcl2-L-4
Shipping Condition Cool pack
Available
Specificity Human,Mouse,Rat
Manufacturer - Type
Primary Antibodies
Shipping Temperature
Blue Ice
Storage Conditions
Store at -20˚ C. Avoid freeze / thaw cycles.
Molecular Weight
Observed: 20kDa
Manufacturer - Research Area
Apoptosis, Cancer, Cell Cycle, Neuroscience, Signal Transduction
Background
The protein encoded by this gene belongs to the BCL2 protein family. BCL2 family members form hetero- or homodimers and act as anti- or pro-apoptotic regulators that are involved in a wide variety of cellular activities. This protein forms a heterodimer with BCL2, and functions as an apoptotic activator. This protein is reported to interact with, and increase the opening of, the mitochondrial voltage-dependent anion channel (VDAC), which leads to the loss in membrane potential and the release of cytochrome c. The expression of this gene is regulated by the tumor suppressor P53 and has been shown to be involved in P53-mediated apoptosis. Multiple alternatively spliced transcript variants, which encode different isoforms, have been reported for this gene.
By Type
Apoptosis, Cancer, Cell Cycle, Neuroscience, Signal Transduction
Badges
KO
Modifications
None
Purification
Affinity purification
Validation
Antibody is Knockout validated.
Positive Control 1
293T
Positive Control 2
HeLa
Positive Control 3
Raji
Positive Control 4
RAW264.7
Positive Control 5
Mouse lung
Positive Control 6
Rat lung
Concentration
batch dependent
Buffer
PBS with 0.02% sodium azide, 50% glycerol, pH7.3.
Application Note
WB: 1:500 - 1:2000
IHC: 1:100 - 1:200
IP: 1:50 - 1:200
Immunogen
A synthetic peptide corresponding to a sequence within amino acids 1-100 of human BAX (NP_620116.1).
Clonality
Polyclonal
NCBI Official Name
BCL2-associated X protein
NCBI Organism
Homo sapiens
User Note
Optimal dilutions for each application to be determined by the researcher.
Validation
Antibody is Knockout validated.

Note: The presented information and documents (Manual, Product Datasheet, Safety Datasheet and Certificate of Analysis) correspond to our latest update and should serve for orientational purpose only. We do not guarantee the topicality. We would kindly ask you to make a request for specific requirements, if necessary.

All products are intended for research use only (RUO). Not for human, veterinary or therapeutic use.

Amount: 100 uL
Available: In stock
available

Compare

Add to wishlist

Get an offer

Request delivery time

Ask a technical question

Submit a bulk request

Questions about this Product?
 
Close