Comparison

SSPN Antibody

Item no. PRS-14-304-100uL
Manufacturer ProSci
Amount 100 uL
Quantity options 100 uL
Category
Type Antibody Primary
Format Liquid
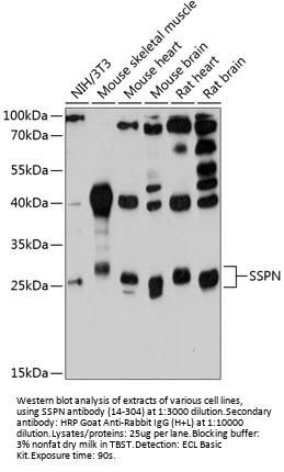
Applications WB
Specific against Human (Homo sapiens), Mouse (Murine, Mus musculus), Rat (Rattus norvegicus)
Host Rabbit
Isotype IgG
Conjugate/Tag Unconjugated
NCBI SSPN
ECLASS 10.1 32160702
ECLASS 11.0 32160702
UNSPSC 12352203
Alias DAGA5,KRAG,NSPN,SPN1,SPN2,sarcospan,K-ras oncogene-associated protein,Kras oncogene-associated,kirsten-ras-associated protein,microspan,nanospan,sarcospan (Kras oncogene-associated gene)
Shipping Condition Cool pack
Available
Specificity Human,Mouse,Rat
Manufacturer - Type
Primary Antibodies
Shipping Temperature
Blue Ice
Storage Conditions
Store at -20˚ C. Avoid freeze / thaw cycles.
Molecular Weight
Observed: 27kDa
Manufacturer - Research Area
Cell Cycle, Signal Transduction
Background
This gene encodes a member of the dystrophin-glycoprotein complex (DGC). The DGC spans the sarcolemma and is comprised of dystrophin, syntrophin, alpha- and beta-dystroglycans and sarcoglycans. The DGC provides a structural link between the subsarcolemmal cytoskeleton and the extracellular matrix of muscle cells. Two alternatively spliced transcript variants that encode different protein isoforms have been described.
By Type
Cell Cycle, Signal Transduction
Modifications
None
Purification
Affinity purification
Positive Control 1
NIH/3T3
Positive Control 2
Mouse skeletal muscle
Positive Control 3
Mouse heart
Positive Control 4
Mouse brain
Positive Control 5
Rat heart
Positive Control 6
Rat brain
Concentration
batch dependent
Buffer
PBS with 0.02% sodium azide, 50% glycerol, pH7.3.
Application Note
WB: 1:500 - 1:2000
Immunogen
Recombinant fusion protein containing a sequence corresponding to amino acids 1-60 of human SSPN (NP_005077.2).
Clonality
Polyclonal
NCBI Official Name
sarcospan
NCBI Organism
Homo sapiens
User Note
Optimal dilutions for each application to be determined by the researcher.

Note: The presented information and documents (Manual, Product Datasheet, Safety Datasheet and Certificate of Analysis) correspond to our latest update and should serve for orientational purpose only. We do not guarantee the topicality. We would kindly ask you to make a request for specific requirements, if necessary.

All products are intended for research use only (RUO). Not for human, veterinary or therapeutic use.

Amount: 100 uL
Available: In stock
available

Compare

Add to wishlist

Get an offer

Request delivery time

Ask a technical question

Submit a bulk request

Questions about this Product?
 
Close