Comparison

SARS2 Antibody

Item no. PRS-14-350-100uL
Manufacturer ProSci
Amount 100 uL
Quantity options 100 uL
Category
Type Antibody Primary
Format Liquid
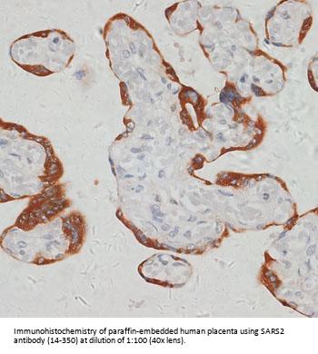
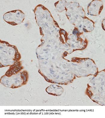
Applications WB, IHC
Specific against Human (Homo sapiens), Mouse (Murine, Mus musculus), Rat (Rattus norvegicus)
Host Rabbit
Isotype IgG
Conjugate/Tag Unconjugated
NCBI SARS2
ECLASS 10.1 32160702
ECLASS 11.0 32160702
UNSPSC 12352203
Alias Serine--tRNA ligase,mitochondrial,SerRSmt,Seryl-tRNA synthetase,SerRS,Seryl-tRNA(Ser/Sec) synthetase,SARS2,SARSM
Shipping Condition Cool pack
Available
Specificity Human,Mouse,Rat
Manufacturer - Type
Primary Antibodies
Shipping Temperature
Blue Ice
Storage Conditions
Store at -20˚ C. Avoid freeze / thaw cycles.
Molecular Weight
Observed: 50kDa
Manufacturer - Research Area
Other
Background
This gene encodes the mitochondrial seryl-tRNA synthethase precursor, a member of the class II tRNA synthetase family. The mature enzyme catalyzes the ligation of Serine to tRNA(Ser) and participates in the biosynthesis of selenocysteinyl-tRNA(sec) in mitochondria. The enzyme contains an N-terminal tRNA binding domain and a core catalytic domain. It functions in a homodimeric form, which is stabilized by tRNA binding. This gene is regulated by a bidirectional promoter that also controls the expression of mitochondrial ribosomal protein S12. Both genes are within the critical interval for the autosomal dominant deafness locus DFNA4 and might be linked to this disease. Multiple transcript variants encoding different isoforms have been identified for this gene.
By Type
Other
Modifications
None
Purification
Affinity purification
Positive Control 1
HepG2
Positive Control 2
Mouse liver
Positive Control 3
Mouse kidney
Concentration
batch dependent
Buffer
PBS with 0.02% sodium azide, 50% glycerol, pH7.3.
Application Note
WB: 1:500 - 1:2000
IHC: 1:50 - 1:200
Immunogen
Recombinant fusion protein containing a sequence corresponding to amino acids 289-518 of human SARS2 (NP_060297.1).
Clonality
Polyclonal
NCBI Official Name
Serine--tRNA ligase, mitochondrial
NCBI Organism
Homo sapiens
User Note
Optimal dilutions for each application to be determined by the researcher.

Note: The presented information and documents (Manual, Product Datasheet, Safety Datasheet and Certificate of Analysis) correspond to our latest update and should serve for orientational purpose only. We do not guarantee the topicality. We would kindly ask you to make a request for specific requirements, if necessary.

All products are intended for research use only (RUO). Not for human, veterinary or therapeutic use.

Amount: 100 uL
Available: In stock
available

Compare

Add to wishlist

Get an offer

Request delivery time

Ask a technical question

Submit a bulk request

Questions about this Product?
 
Close