Comparison

beta 2 Microglobulin Antibody, KO Validated

Item no. PRS-14-403-100uL
Manufacturer ProSci
Amount 100 uL
Quantity options 100 uL
Category
Type Antibody Primary
Format Liquid
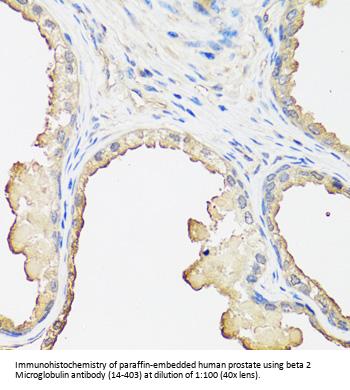
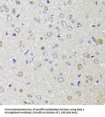
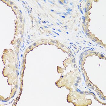
Applications WB, IP, IHC
Specific against Human (Homo sapiens), Mouse (Murine, Mus musculus), Rat (Rattus norvegicus), Monkey (Cynomolgus, Simian)
Host Rabbit
Isotype IgG
Conjugate/Tag Unconjugated
NCBI B2M
ECLASS 10.1 32160702
ECLASS 11.0 32160702
UNSPSC 12352203
Alias B2M Antibody: Beta-2-microglobulin
Shipping Condition Cool pack
Available
Specificity Human,Mouse,Rat,Monkey
Manufacturer - Type
Primary Antibodies
Shipping Temperature
Blue Ice
Storage Conditions
Store at -20˚ C. Avoid freeze / thaw cycles.
Molecular Weight
Observed: 12kDa
Manufacturer - Research Area
Cancer
Background
This gene encodes a serum protein found in association with the major histocompatibility complex (MHC) class I heavy chain on the surface of nearly all nucleated cells. The protein has a predominantly beta-pleated sheet structure that can form amyloid fibrils in some pathological conditions. The encoded antimicrobial protein displays antibacterial activity in amniotic fluid. A mutation in this gene has been shown to result in hypercatabolic hypoproteinemia.
By Type
Cancer
Badges
KO
Modifications
None
Purification
Affinity purification
Validation
Antibody is Knockout validated.
Positive Control 1
Jurkat
Positive Control 2
COS7
Positive Control 3
HeLa
Positive Control 4
K-562
Positive Control 5
Mouse liver
Positive Control 6
Mouse spleen
Concentration
batch dependent
Buffer
PBS with 0.02% sodium azide, 50% glycerol, pH7.3.
Application Note
WB: 1:500 - 1:2000
IHC: 1:50 - 1:200
IP: 1:50 - 1:100
Immunogen
Recombinant fusion protein containing a sequence corresponding to amino acids 21-119 of human beta 2 Microglobulin (NP_004039.1).
Clonality
Polyclonal
NCBI Official Name
beta-2-microglobulin
NCBI Organism
Homo sapiens
User Note
Optimal dilutions for each application to be determined by the researcher.
Validation
Antibody is Knockout validated.

Note: The presented information and documents (Manual, Product Datasheet, Safety Datasheet and Certificate of Analysis) correspond to our latest update and should serve for orientational purpose only. We do not guarantee the topicality. We would kindly ask you to make a request for specific requirements, if necessary.

All products are intended for research use only (RUO). Not for human, veterinary or therapeutic use.

Amount: 100 uL
Available: In stock
available

Compare

Add to wishlist

Get an offer

Request delivery time

Ask a technical question

Submit a bulk request

Questions about this Product?
 
Close