Comparison

IL17A Antibody

Item no. PRS-14-434-100uL
Manufacturer ProSci
Amount 100 uL
Quantity options 100 uL
Category
Type Antibody Primary
Format Liquid
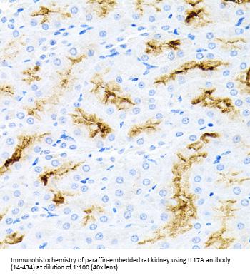
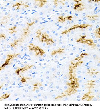
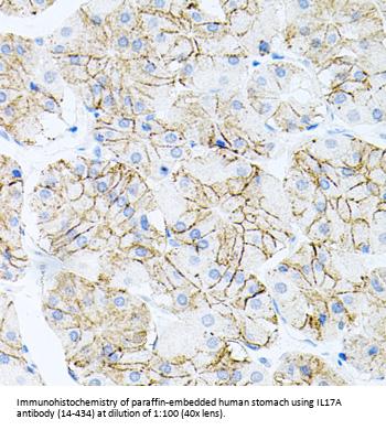
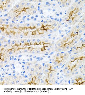
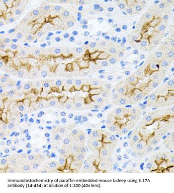
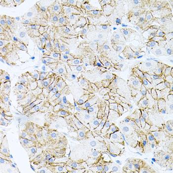
Applications WB, IHC
Specific against Human (Homo sapiens), Mouse (Murine, Mus musculus), Rat (Rattus norvegicus)
Host Rabbit
Isotype IgG
Conjugate/Tag Unconjugated
NCBI IL17A
ECLASS 10.1 32160702
ECLASS 11.0 32160702
UNSPSC 12352203
Alias Interleukin-17A,CTLA-8,Cytotoxic T Lymphocyte-associated Antigen 8
Shipping Condition Cool pack
Available
Specificity Human,Mouse,Rat
Manufacturer - Type
Primary Antibodies
Shipping Temperature
Blue Ice
Storage Conditions
Store at -20˚ C. Avoid freeze / thaw cycles.
Molecular Weight
Observed: 37kDa
Manufacturer - Research Area
Apoptosis, Cancer, Cell Cycle, Chemokines & Cytokines, Immunology, Innate Immunity
Background
The protein encoded by this gene is a proinflammatory cytokine produced by activated T cells. This cytokine regulates the activities of NF-kappaB and mitogen-activated protein kinases. This cytokine can stimulate the expression of IL6 and cyclooxygenase-2 (PTGS2/COX-2), as well as enhance the production of nitric oxide (NO). High levels of this cytokine are associated with several chronic inflammatory diseases including rheumatoid arthritis, psoriasis and multiple sclerosis.
By Type
Apoptosis, Cancer, Cell Cycle, Chemokines & Cytokines, Immunology, Innate Immunity
Modifications
None
Purification
Affinity purification
Positive Control 1
U-937
Positive Control 2
Raji
Positive Control 3
Jurkat
Positive Control 4
SW620
Positive Control 5
Mouse thymus
Concentration
batch dependent
Buffer
PBS with 0.02% sodium azide, 50% glycerol, pH7.3.
Application Note
WB: 1:500 - 1:2000
IHC: 1:50 - 1:200
Immunogen
Recombinant fusion protein containing a sequence corresponding to amino acids 24-155 of human IL17A (NP_002181.1).
Clonality
Polyclonal
NCBI Official Name
interleukin 17A
NCBI Organism
Homo sapiens
User Note
Optimal dilutions for each application to be determined by the researcher.

Note: The presented information and documents (Manual, Product Datasheet, Safety Datasheet and Certificate of Analysis) correspond to our latest update and should serve for orientational purpose only. We do not guarantee the topicality. We would kindly ask you to make a request for specific requirements, if necessary.

All products are intended for research use only (RUO). Not for human, veterinary or therapeutic use.

Amount: 100 uL
Available: In stock
available

Compare

Add to wishlist

Get an offer

Request delivery time

Ask a technical question

Submit a bulk request

Questions about this Product?
 
Close