Comparison

BAZ1B Antibody

Item no. PRS-14-497-100uL
Manufacturer ProSci
Amount 100 uL
Quantity options 100 uL
Category
Type Antibody Primary
Format Liquid
Applications WB
Specific against Human (Homo sapiens), Mouse (Murine, Mus musculus), Rat (Rattus norvegicus)
Host Rabbit
Isotype IgG
Conjugate/Tag Unconjugated
NCBI BAZ1B
ECLASS 10.1 32160702
ECLASS 11.0 32160702
UNSPSC 12352203
Shipping Condition Cool pack
Available
Specificity Human,Mouse,Rat
Manufacturer - Type
Primary Antibodies
Shipping Temperature
Blue Ice
Storage Conditions
Store at -20˚ C. Avoid freeze / thaw cycles.
Molecular Weight
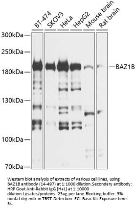
Observed: 185kDa
Manufacturer - Research Area
Signal Transduction
Background
This gene encodes a member of the bromodomain protein family. The bromodomain is a structural motif characteristic of proteins involved in chromatin-dependent regulation of transcription. This gene is deleted in Williams-Beuren syndrome, a developmental disorder caused by deletion of multiple genes at 7q11.23.
By Type
Signal Transduction
Modifications
None
Purification
Affinity purification
Positive Control 1
BT-474
Positive Control 2
SKOV3
Positive Control 3
HeLa
Positive Control 4
HepG2
Positive Control 5
Mouse brain
Positive Control 6
Rat brain
Concentration
batch dependent
Buffer
PBS with 0.02% sodium azide, 50% glycerol, pH7.3.
Application Note
WB: 1:500 - 1:2000
Immunogen
Recombinant fusion protein containing a sequence corresponding to amino acids 1-260 of human BAZ1B (NP_115784.1).
Clonality
Polyclonal
NCBI Official Name
Tyrosine-protein kinase BAZ1B
NCBI Organism
Homo sapiens
User Note
Optimal dilutions for each application to be determined by the researcher.
Manufacturer - Additional Names
Tyrosine-protein kinase BAZ1B, Bromodomain adjacent to zinc finger domain protein 1B, Williams syndrome transcription factor, Williams-Beuren syndrome chromosomal region 10 protein, Williams-Beuren syndrome chromosomal region 9 protein, hWALp2, BAZ1B, WBSC10, WBSCR10, WBSCR9, WSTF

Note: The presented information and documents (Manual, Product Datasheet, Safety Datasheet and Certificate of Analysis) correspond to our latest update and should serve for orientational purpose only. We do not guarantee the topicality. We would kindly ask you to make a request for specific requirements, if necessary.

All products are intended for research use only (RUO). Not for human, veterinary or therapeutic use.

Amount: 100 uL
Available: In stock
available

Compare

Add to wishlist

Get an offer

Request delivery time

Ask a technical question

Submit a bulk request

Questions about this Product?
 
Close