Comparison

MAP2K1 Antibody, KO Validated

Item no. PRS-14-580-100uL
Manufacturer ProSci
Amount 100 uL
Quantity options 100 uL
Category
Type Antibody Primary
Format Liquid
Applications WB, IHC
Specific against Human (Homo sapiens), Mouse (Murine, Mus musculus), Rat (Rattus norvegicus)
Host Rabbit
Isotype IgG
Conjugate/Tag Unconjugated
NCBI MAP2K1
ECLASS 10.1 32160702
ECLASS 11.0 32160702
UNSPSC 12352203
Alias Mitogen-activated protein kinase kinase 1,MAP2K1,MAPKK1,MEK1,MKK1,PRKMK1,CFC3,Mitogen-activated protein kinase kinase 2,MAP2K2,MAPKK2,MEK2,MKK2,PRKMK2,CFC
Shipping Condition Cool pack
Available
Specificity Human,Mouse,Rat
Manufacturer - Type
Primary Antibodies
Shipping Temperature
Blue Ice
Storage Conditions
Store at -20˚ C. Avoid freeze / thaw cycles.
Molecular Weight
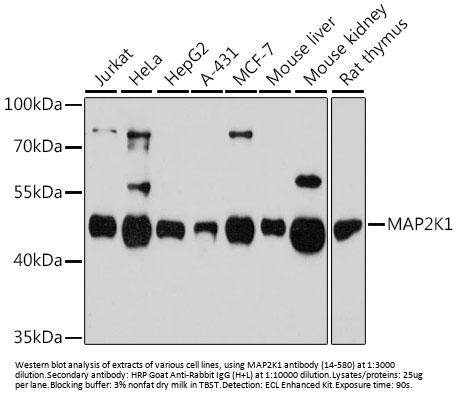
Observed: 45kDa
Manufacturer - Research Area
Cell Cycle, Immunology, Neuroscience, Signal Transduction
Background
The protein encoded by this gene is a member of the dual specificity protein kinase family, which acts as a mitogen-activated protein (MAP) kinase kinase. MAP kinases, also known as extracellular signal-regulated kinases (ERKs), act as an integration point for multiple biochemical signals. This protein kinase lies upstream of MAP kinases and stimulates the enzymatic activity of MAP kinases upon wide variety of extra- and intracellular signals. As an essential component of MAP kinase signal transduction pathway, this kinase is involved in many cellular processes such as proliferation, differentiation, transcription regulation and development.
By Type
Cell Cycle, Immunology, Neuroscience, Signal Transduction
Badges
KO
Modifications
None
Purification
Affinity purification
Validation
Antibody is Knockout validated.
Positive Control 1
Jurkat
Positive Control 2
HeLa
Positive Control 3
A-431
Positive Control 4
MCF-7
Positive Control 5
Mouse liver
Positive Control 6
Mouse kidney
Concentration
batch dependent
Buffer
PBS with 0.02% sodium azide, 50% glycerol, pH7.3.
Application Note
WB: 1:1000 - 1:3000
IHC: 1:50 - 1:200
Immunogen
A synthetic peptide corresponding to a sequence within amino acids 1-100 of human MAP2K1 (NP_002746.1).
Clonality
Polyclonal
NCBI Official Name
mitogen-activated protein kinase kinase 1
NCBI Organism
Homo sapiens
User Note
Optimal dilutions for each application to be determined by the researcher.
Validation
Antibody is Knockout validated.

Note: The presented information and documents (Manual, Product Datasheet, Safety Datasheet and Certificate of Analysis) correspond to our latest update and should serve for orientational purpose only. We do not guarantee the topicality. We would kindly ask you to make a request for specific requirements, if necessary.

All products are intended for research use only (RUO). Not for human, veterinary or therapeutic use.

Amount: 100 uL
Available: In stock
available

Compare

Add to wishlist

Get an offer

Request delivery time

Ask a technical question

Submit a bulk request

Questions about this Product?
 
Close