Comparison

CCNC Antibody

Item no. PRS-15-103-100uL
Manufacturer ProSci
Amount 100 uL
Quantity options 100 uL
Category
Type Antibody Primary
Format Liquid
Applications WB, IF
Specific against Human (Homo sapiens), Mouse (Murine, Mus musculus), Rat (Rattus norvegicus)
Host Rabbit
Isotype IgG
Conjugate/Tag Unconjugated
NCBI CCNC
ECLASS 10.1 32160702
ECLASS 11.0 32160702
UNSPSC 12352203
Alias Cyclin-C,SRB11 homolog,hSRB11,CCNC
Shipping Condition Cool pack
Available
Specificity Human,Mouse,Rat
Manufacturer - Type
Primary Antibodies
Shipping Temperature
Blue Ice
Storage Conditions
Store at -20˚ C. Avoid freeze / thaw cycles.
Molecular Weight
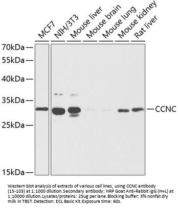
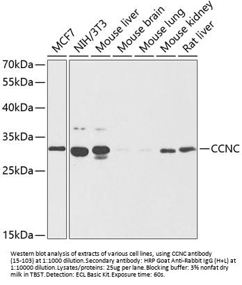
Observed: 33kDa
Manufacturer - Research Area
Cell Cycle
Background
The protein encoded by this gene is a member of the cyclin family of proteins. The encoded protein interacts with cyclin-dependent kinase 8 and induces the phophorylation of the carboxy-terminal domain of the large subunit of RNA polymerase II. The level of mRNAs for this gene peaks in the G1 phase of the cell cycle. Two transcript variants encoding different isoforms have been found for this gene.
By Type
Cell Cycle
Modifications
None
Purification
Affinity purification
Positive Control 1
MCF7
Positive Control 2
NIH/3T3
Positive Control 3
Mouse liver
Positive Control 4
Mouse brain
Positive Control 5
Mouse lung
Positive Control 6
Mouse kidney
Concentration
batch dependent
Buffer
PBS with 0.02% sodium azide, 50% glycerol, pH7.3.
Application Note
WB: 1:500 - 1:2000
IF: 1:50 - 1:200
Immunogen
Recombinant fusion protein containing a sequence corresponding to amino acids 1-283 of human CCNC (NP_005181.2).
Clonality
Polyclonal
NCBI Official Name
Cyclin-C
NCBI Organism
Homo sapiens
User Note
Optimal dilutions for each application to be determined by the researcher.

Note: The presented information and documents (Manual, Product Datasheet, Safety Datasheet and Certificate of Analysis) correspond to our latest update and should serve for orientational purpose only. We do not guarantee the topicality. We would kindly ask you to make a request for specific requirements, if necessary.

All products are intended for research use only (RUO). Not for human, veterinary or therapeutic use.

Amount: 100 uL
Available: In stock
available

Compare

Add to wishlist

Get an offer

Request delivery time

Ask a technical question

Submit a bulk request

Questions about this Product?
 
Close