Comparison

p38 MAPK Antibody

Item no. PRS-15-523-100uL
Manufacturer ProSci
Amount 100 uL
Quantity options 100 uL
Category
Type Antibody Primary
Format Liquid
Applications WB, IF, IP
Specific against Human (Homo sapiens), Mouse (Murine, Mus musculus), Rat (Rattus norvegicus)
Host Rabbit
Isotype IgG
Conjugate/Tag Unconjugated
NCBI MAPK14
ECLASS 10.1 32160702
ECLASS 11.0 32160702
UNSPSC 12352203
Alias MAPK14,RK,p38,CSBP,EXIP,Mxi2,CSBP1,CSBP2,CSPB1,PRKM14,PRKM15,SAPK2A,p38ALPHA
Shipping Condition Cool pack
Available
Specificity Human,Mouse,Rat
Manufacturer - Type
Primary Antibodies
Shipping Temperature
Blue Ice
Storage Conditions
Store at -20˚ C. Avoid freeze / thaw cycles.
Molecular Weight
Observed: 41kDa
Manufacturer - Research Area
Cell Cycle, Immunology, Innate Immunity, Neuroscience, Signal Transduction
Background
The protein encoded by this gene is a member of the MAP kinase family. MAP kinases act as an integration point for multiple biochemical signals, and are involved in a wide variety of cellular processes such as proliferation, differentiation, transcription regulation and development. This kinase is activated by various environmental stresses and proinflammatory cytokines. The activation requires its phosphorylation by MAP kinase kinases (MKKs), or its autophosphorylation triggered by the interaction of MAP3K7IP1/TAB1 protein with this kinase. The substrates of this kinase include transcription regulator ATF2, MEF2C, and MAX, cell cycle regulator CDC25B, and tumor suppressor p53, which suggest the roles of this kinase in stress related transcription and cell cycle regulation, as well as in genotoxic stress response. Four alternatively spliced transcript variants of this gene encoding distinct isoforms have been reported.
By Type
Cell Cycle, Immunology, Innate Immunity, Neuroscience, Signal Transduction
Modifications
None
Purification
Affinity purification
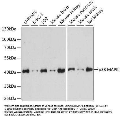
Positive Control 1
U-87MG
Positive Control 2
BxPC-3
Positive Control 3
LO2
Positive Control 4
Mouse brain
Positive Control 5
Mouse kidney
Positive Control 6
Mouse pancreas
Concentration
batch dependent
Buffer
PBS with 0.02% sodium azide, 50% glycerol, pH7.3.
Application Note
WB: 1:500 - 1:1000
IF: 1:50 - 1:100
IP: 1:50 - 1:100
Immunogen
A synthetic peptide corresponding to a sequence within amino acids 300 to the C-terminus of human p38 MAPK (NP_620581.1).
Clonality
Polyclonal
NCBI Official Name
mitogen-activated protein kinase 14
NCBI Organism
Homo sapiens
User Note
Optimal dilutions for each application to be determined by the researcher.

Note: The presented information and documents (Manual, Product Datasheet, Safety Datasheet and Certificate of Analysis) correspond to our latest update and should serve for orientational purpose only. We do not guarantee the topicality. We would kindly ask you to make a request for specific requirements, if necessary.

All products are intended for research use only (RUO). Not for human, veterinary or therapeutic use.

Amount: 100 uL
Available: In stock
available

Compare

Add to wishlist

Get an offer

Request delivery time

Ask a technical question

Submit a bulk request

Questions about this Product?
 
Close