Comparison

SLC37A4 Antibody

Item no. PRS-15-605-100uL
Manufacturer ProSci
Amount 100 uL
Quantity options 100 uL
Category
Type Antibody Primary
Format Liquid
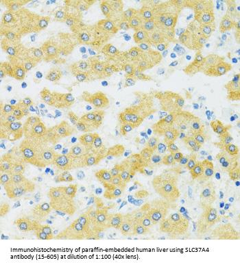
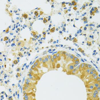
Applications WB, IHC
Specific against Human (Homo sapiens), Mouse (Murine, Mus musculus), Rat (Rattus norvegicus)
Host Rabbit
Isotype IgG
Conjugate/Tag Unconjugated
NCBI SLC37A4
ECLASS 10.1 32160702
ECLASS 11.0 32160702
UNSPSC 12352203
Alias SLC37A4,G6PT1,G6PT2,G6PT3,GSD1b,GSD1c,GSD1d,MGC15729,PRO0685,TRG19,TRG-19
Shipping Condition Cool pack
Available
Specificity Human,Mouse,Rat
Manufacturer - Type
Primary Antibodies
Shipping Temperature
Blue Ice
Storage Conditions
Store at -20˚ C. Avoid freeze / thaw cycles.
Molecular Weight
Observed: 46kDa
Manufacturer - Research Area
Cancer, Signal Transduction
Background
This gene regulates glucose-6-phosphate transport from the cytoplasm to the lumen of the endoplasmic reticulum, in order to maintain glucose homeostasis. It also plays a role in ATP-mediated calcium sequestration in the lumen of the endoplasmic reticulum. Mutations in this gene have been associated with various forms of glycogen storage disease. Alternative splicing in this gene results in multiple transcript variants.
By Type
Cancer, Signal Transduction
Modifications
None
Purification
Affinity purification
Positive Control 1
Mouse kidney
Positive Control 2
Rat liver
Concentration
batch dependent
Buffer
PBS with 0.02% sodium azide, 50% glycerol, pH7.3.
Application Note
WB: 1:500 - 1:2000
IHC: 1:50 - 1:200
Immunogen
A synthetic peptide corresponding to a sequence within amino acids 300 to the C-terminus of human SLC37A4 (NP_001157752.1).
Clonality
Polyclonal
NCBI Official Name
solute carrier family 37 (glucose-6-phosphate transporter), member 4
NCBI Organism
Homo sapiens
User Note
Optimal dilutions for each application to be determined by the researcher.

Note: The presented information and documents (Manual, Product Datasheet, Safety Datasheet and Certificate of Analysis) correspond to our latest update and should serve for orientational purpose only. We do not guarantee the topicality. We would kindly ask you to make a request for specific requirements, if necessary.

All products are intended for research use only (RUO). Not for human, veterinary or therapeutic use.

Amount: 100 uL
Available: In stock
available

Compare

Add to wishlist

Get an offer

Request delivery time

Ask a technical question

Submit a bulk request

Questions about this Product?
 
Close