Comparison

GLI1 Antibody

Item no. PRS-15-663-100uL
Manufacturer ProSci
Amount 100 uL
Quantity options 100 uL
Category
Type Antibody Primary
Format Liquid
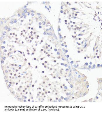
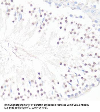
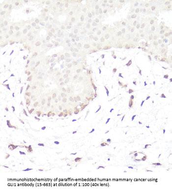
Applications WB, IF, IHC
Specific against Human (Homo sapiens), Mouse (Murine, Mus musculus), Rat (Rattus norvegicus)
Host Rabbit
Isotype IgG
Conjugate/Tag Unconjugated
NCBI GLI1
ECLASS 10.1 32160702
ECLASS 11.0 32160702
UNSPSC 12352203
Alias GLI1,GLI
Shipping Condition Cool pack
Available
Specificity Human,Mouse,Rat
Manufacturer - Type
Primary Antibodies
Shipping Temperature
Blue Ice
Storage Conditions
Store at -20˚ C. Avoid freeze / thaw cycles.
Molecular Weight
Observed: 130kDa/160kDa
Manufacturer - Research Area
Cancer, Cell Cycle, Neuroscience, Signal Transduction, Stem Cell, Transcription
Background
This gene encodes a member of the Kruppel family of zinc finger proteins. The encoded transcription factor is activated by the sonic hedgehog signal transduction cascade and regulates stem cell proliferation. The activity and nuclear localization of this protein is negatively regulated by p53 in an inhibitory loop. Multiple transcript variants encoding different isoforms have been found for this gene.
By Type
Cancer, Cell Cycle, Neuroscience, Signal Transduction, Stem Cell, Transcription
Modifications
None
Purification
Affinity purification
Positive Control 1
DU145
Positive Control 2
Mouse liver
Positive Control 3
Mouse brain
Positive Control 4
Rat brain
Concentration
batch dependent
Buffer
PBS with 0.02% sodium azide, 50% glycerol, pH7.3.
Application Note
WB: 1:500 - 1:2000
IHC: 1:50 - 1:200
IF: 1:50 - 1:200
Immunogen
A synthetic peptide corresponding to a sequence within amino acids 200-300 of human GLI1 (NP_001153517.1).
Clonality
Polyclonal
NCBI Official Name
GLI family zinc finger 1
NCBI Organism
Homo sapiens
User Note
Optimal dilutions for each application to be determined by the researcher.

Note: The presented information and documents (Manual, Product Datasheet, Safety Datasheet and Certificate of Analysis) correspond to our latest update and should serve for orientational purpose only. We do not guarantee the topicality. We would kindly ask you to make a request for specific requirements, if necessary.

All products are intended for research use only (RUO). Not for human, veterinary or therapeutic use.

Amount: 100 uL
Available: In stock
available

Compare

Add to wishlist

Get an offer

Request delivery time

Ask a technical question

Submit a bulk request

Questions about this Product?
 
Close