Comparison

TMX1 Antibody

Item no. PRS-15-795-100uL
Manufacturer ProSci
Amount 100 uL
Quantity options 100 uL
Category
Type Antibody Primary
Format Liquid
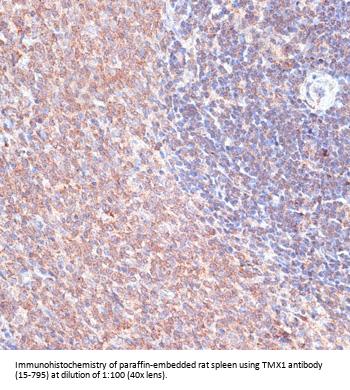
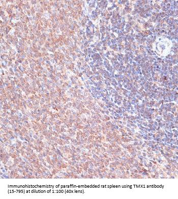
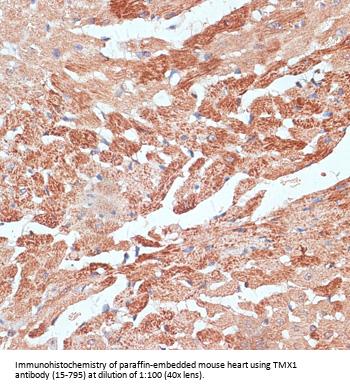
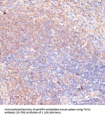
Applications WB, IHC
Specific against Human (Homo sapiens), Mouse (Murine, Mus musculus), Rat (Rattus norvegicus)
Host Rabbit
Isotype IgG
Conjugate/Tag Unconjugated
NCBI TMX1
ECLASS 10.1 32160702
ECLASS 11.0 32160702
UNSPSC 12352203
Alias TXNDC,thioredoxin domain containing 1,TMX,TXNDC1,DKFZP564E1962,thioredoxin domain-containing,thioredoxin-related transmembrane protein,TXNDC,PSEC0085,UNQ235/PRO268
Shipping Condition Cool pack
Available
Specificity Human,Mouse,Rat
Manufacturer - Type
Primary Antibodies
Shipping Temperature
Blue Ice
Storage Conditions
Store at -20˚ C. Avoid freeze / thaw cycles.
Molecular Weight
Observed: 35kDa
Manufacturer - Research Area
Apoptosis, Cell Cycle, Signal Transduction
Background
This gene encodes a member of the disulfide isomerase (PDI) family of endoplasmic reticulum (ER) proteins that catalyze protein folding and thiol-disulfide interchange reactions. The encoded protein has an N-terminal ER-signal sequence, a catalytically active thioredoxin domain, and one transmembrane domain. Unlike most members of this gene family, it lacks a C-terminal ER-retention sequence. The mature membrane-bound protein can both oxidize and reduce disulfide bonds and acts selectively on membrane-associated polypeptides.
By Type
Apoptosis, Cell Cycle, Signal Transduction
Modifications
None
Purification
Affinity purification
Positive Control 1
293T
Positive Control 2
LO2
Positive Control 3
HeLa
Positive Control 4
Jurkat
Concentration
batch dependent
Buffer
PBS with 0.02% sodium azide, 50% glycerol, pH7.3.
Application Note
WB: 1:500 - 1:2000
IHC: 1:50 - 1:200
Immunogen
Recombinant fusion protein containing a sequence corresponding to amino acids 210-280 of human TMX1 (NP_110382.3).
Clonality
Polyclonal
NCBI Official Name
thioredoxin-related transmembrane protein 1
NCBI Organism
Homo sapiens
User Note
Optimal dilutions for each application to be determined by the researcher.

Note: The presented information and documents (Manual, Product Datasheet, Safety Datasheet and Certificate of Analysis) correspond to our latest update and should serve for orientational purpose only. We do not guarantee the topicality. We would kindly ask you to make a request for specific requirements, if necessary.

All products are intended for research use only (RUO). Not for human, veterinary or therapeutic use.

Amount: 100 uL
Available: In stock
available

Compare

Add to wishlist

Get an offer

Request delivery time

Ask a technical question

Submit a bulk request

Questions about this Product?
 
Close