Comparison

IL31 Antibody

Item no. PRS-15-817-100uL
Manufacturer ProSci
Amount 100 uL
Quantity options 100 uL
Category
Type Antibody Primary
Format Liquid
Applications WB
Specific against Human (Homo sapiens), Mouse (Murine, Mus musculus), Rat (Rattus norvegicus)
Host Rabbit
Isotype IgG
Conjugate/Tag Unconjugated
NCBI IL31
ECLASS 10.1 32160702
ECLASS 11.0 32160702
UNSPSC 12352203
Alias IL-31Interleukin-31IL-31
Shipping Condition Cool pack
Available
Specificity Human,Mouse,Rat
Manufacturer - Type
Primary Antibodies
Shipping Temperature
Blue Ice
Storage Conditions
Store at -20˚ C. Avoid freeze / thaw cycles.
Molecular Weight
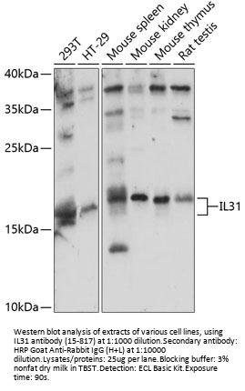
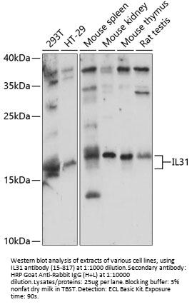
Observed: 18kDa
Manufacturer - Research Area
Chemokines & Cytokines, Immunology, Innate Immunity
By Type
Chemokines & Cytokines, Immunology, Innate Immunity
Modifications
None
Purification
Affinity purification
Positive Control 1
293T
Positive Control 2
HT-29
Positive Control 3
Mouse spleen
Positive Control 4
Mouse kidney
Positive Control 5
Mouse thymus
Positive Control 6
Rat testis
Concentration
batch dependent
Buffer
PBS with 0.02% sodium azide, 50% glycerol, pH7.3.
Application Note
WB: 1:500 - 1:2000
Immunogen
Recombinant fusion protein containing a sequence corresponding to amino acids 24-164 of human IL31 (NP_001014358.1).
Clonality
Polyclonal
NCBI Official Name
interleukin 31
NCBI Organism
Homo sapiens
User Note
Optimal dilutions for each application to be determined by the researcher.

Note: The presented information and documents (Manual, Product Datasheet, Safety Datasheet and Certificate of Analysis) correspond to our latest update and should serve for orientational purpose only. We do not guarantee the topicality. We would kindly ask you to make a request for specific requirements, if necessary.

All products are intended for research use only (RUO). Not for human, veterinary or therapeutic use.

Amount: 100 uL
Available: In stock
available

Compare

Add to wishlist

Get an offer

Request delivery time

Ask a technical question

Submit a bulk request

Questions about this Product?
 
Close