Comparison

LIPH Antibody

Item no. PRS-15-936-100uL
Manufacturer ProSci
Amount 100 uL
Quantity options 100 uL
Category
Type Antibody Primary
Format Liquid
Applications WB
Specific against Human (Homo sapiens), Mouse (Murine, Mus musculus), Rat (Rattus norvegicus)
Host Rabbit
Isotype IgG
Conjugate/Tag Unconjugated
NCBI LIPH
ECLASS 10.1 32160702
ECLASS 11.0 32160702
UNSPSC 12352203
Shipping Condition Cool pack
Available
Specificity Human,Mouse,Rat
Manufacturer - Type
Primary Antibodies
Shipping Temperature
Blue Ice
Storage Conditions
Store at -20˚ C. Avoid freeze / thaw cycles.
Molecular Weight
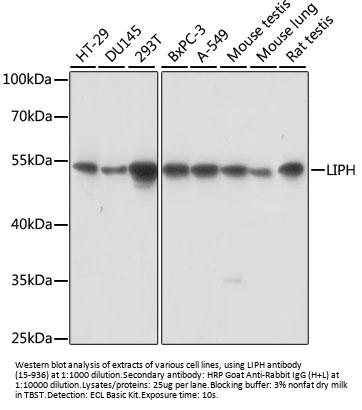
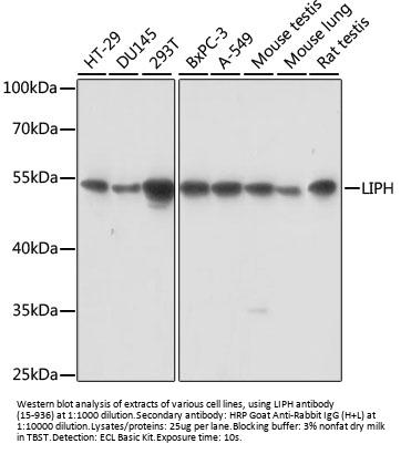
Observed: 54kDa
Manufacturer - Research Area
Signal Transduction
Background
This gene encodes a membrane-bound member of the mammalian triglyceride lipase family. It catalyzes the production of 2-acyl lysophosphatidic acid (LPA), which is a lipid mediator with diverse biological properties that include platelet aggregation, smooth muscle contraction, and stimulation of cell proliferation and motility.
By Type
Signal Transduction
Modifications
None
Purification
Affinity purification
Positive Control 1
HT-29
Positive Control 2
DU145
Positive Control 3
293T
Positive Control 4
BxPC-3
Positive Control 5
A-549
Positive Control 6
Mouse testis
Concentration
batch dependent
Buffer
PBS with 0.02% sodium azide, 50% glycerol, pH7.3.
Application Note
WB: 1:500 - 1:2000
Immunogen
A synthetic peptide corresponding to a sequence within amino acids 350-450 of human LIPH (NP_640341.1).
Clonality
Polyclonal
NCBI Official Name
lipase H
NCBI Organism
Homo sapiens
User Note
Optimal dilutions for each application to be determined by the researcher.
Manufacturer - Additional Names
AH, ARWH2, HYPT7, LAH2, LPDLR, PLA1B, mPA-PLA1, lipase member H, LPD lipase-related protein, lipase, member H, mPA-PLA1 alpha, membrane-associated phosphatidic acid-selective phospholipase A1-alpha, membrane-bound phosphatidic acid-selective phospholipase A1, phospholipase A(1), phospholipase A1 member B

Note: The presented information and documents (Manual, Product Datasheet, Safety Datasheet and Certificate of Analysis) correspond to our latest update and should serve for orientational purpose only. We do not guarantee the topicality. We would kindly ask you to make a request for specific requirements, if necessary.

All products are intended for research use only (RUO). Not for human, veterinary or therapeutic use.

Amount: 100 uL
Available: In stock
available

Compare

Add to wishlist

Get an offer

Request delivery time

Ask a technical question

Submit a bulk request

Questions about this Product?
 
Close