Comparison

IL10RB Antibody

Item no. PRS-16-179-100uL
Manufacturer ProSci
Amount 100 uL
Quantity options 100 uL
Category
Type Antibody Primary
Format Liquid
Applications WB
Specific against Human (Homo sapiens), Mouse (Murine, Mus musculus), Rat (Rattus norvegicus)
Host Rabbit
Isotype IgG
Conjugate/Tag Unconjugated
NCBI IL10RB
ECLASS 10.1 32160702
ECLASS 11.0 32160702
UNSPSC 12352203
Shipping Condition Cool pack
Available
Specificity Human,Mouse,Rat
Manufacturer - Type
Primary Antibodies
Shipping Temperature
Blue Ice
Storage Conditions
Store at -20˚ C. Avoid freeze / thaw cycles.
Molecular Weight
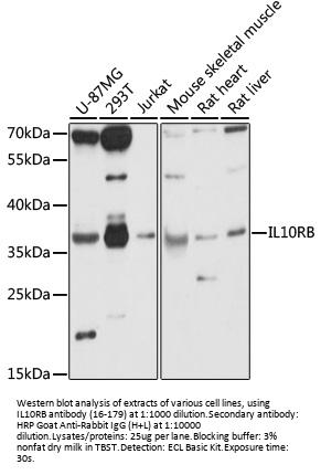
Observed: 36kDa
Manufacturer - Research Area
Chemokines & Cytokines, Immunology, Innate Immunity, Signal Transduction
Background
The protein encoded by this gene belongs to the cytokine receptor family. It is an accessory chain essential for the active interleukin 10 receptor complex. Coexpression of this and IL10RA proteins has been shown to be required for IL10-induced signal transduction. This gene and three other interferon receptor genes, IFAR2, IFNAR1, and IFNGR2, form a class II cytokine receptor gene cluster located in a small region on chromosome 21.
By Type
Chemokines & Cytokines, Immunology, Innate Immunity, Signal Transduction
Modifications
None
Purification
Affinity purification
Positive Control 1
U-87MG
Positive Control 2
293T
Positive Control 3
Jurkat
Positive Control 4
Mouse skeletal muscle
Positive Control 5
Rat heart
Positive Control 6
Rat liver
Concentration
batch dependent
Buffer
PBS with 0.02% sodium azide, 50% glycerol, pH7.3.
Application Note
WB: 1:500 - 1:2000
Immunogen
Recombinant fusion protein containing a sequence corresponding to amino acids 20-220 of human IL10RB (NP_000619.3).
Clonality
Polyclonal
NCBI Official Name
interleukin 10 receptor subunit beta
NCBI Organism
Homo sapiens
User Note
Optimal dilutions for each application to be determined by the researcher.
Manufacturer - Additional Names
CDW210B, CRF2-4, CRFB4, D21S58, D21S66, IL-10R2, interleukin-10 receptor subunit beta, IL-10 receptor subunit beta, IL-10R subunit 2, IL-10R subunit beta, IL-10RB, cytokine receptor class-II CRF2-4, cytokine receptor class-II member 4, cytokine receptor family 2 member 4, cytokine receptor family II, member 4, interleukin 10 receptor, beta, interleukin-10 receptor subunit 2

Note: The presented information and documents (Manual, Product Datasheet, Safety Datasheet and Certificate of Analysis) correspond to our latest update and should serve for orientational purpose only. We do not guarantee the topicality. We would kindly ask you to make a request for specific requirements, if necessary.

All products are intended for research use only (RUO). Not for human, veterinary or therapeutic use.

Amount: 100 uL
Available: In stock
available

Compare

Add to wishlist

Get an offer

Request delivery time

Ask a technical question

Submit a bulk request

Questions about this Product?
 
Close