Comparison

SERPINI1 Antibody

Item no. PRS-16-189-100uL
Manufacturer ProSci
Amount 100 uL
Quantity options 100 uL
Category
Type Antibody Primary
Format Liquid
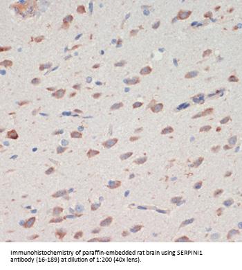
Applications WB, IF, IHC
Specific against Mouse (Murine, Mus musculus), Rat (Rattus norvegicus)
Host Rabbit
Isotype IgG
Conjugate/Tag Unconjugated
NCBI SERPINI1
ECLASS 10.1 32160702
ECLASS 11.0 32160702
UNSPSC 12352203
Alias PI12,neuroserpin,PI12,Neuroserpin,Peptidase inhibitor 12,PI-12
Shipping Condition Cool pack
Available
Specificity Mouse,Rat
Manufacturer - Type
Primary Antibodies
Shipping Temperature
Blue Ice
Storage Conditions
Store at -20˚ C. Avoid freeze / thaw cycles.
Molecular Weight
Observed: 46kDa
Manufacturer - Research Area
Neuroscience
Background
This gene encodes a member of the serpin superfamily of serine proteinase inhibitors. The protein is primarily secreted by axons in the brain, and preferentially reacts with and inhibits tissue-type plasminogen activator. It is thought to play a role in the regulation of axonal growth and the development of synaptic plasticity. Mutations in this gene result in familial encephalopathy with neuroserpin inclusion bodies (FENIB), which is a dominantly inherited form of familial encephalopathy and epilepsy characterized by the accumulation of mutant neuroserpin polymers. Multiple alternatively spliced variants, encoding the same protein, have been identified.
By Type
Neuroscience
Modifications
None
Purification
Affinity purification
Positive Control 1
Mouse brain
Positive Control 2
Rat brain
Concentration
batch dependent
Buffer
PBS with 0.02% sodium azide, 50% glycerol, pH7.3.
Application Note
WB: 1:500 - 1:2000
IHC: 1:50 - 1:100
IF: 1:50 - 1:100
Immunogen
Recombinant fusion protein containing a sequence corresponding to amino acids 181-410 of human SERPINI1 (NP_005016.1).
Clonality
Polyclonal
NCBI Official Name
serpin peptidase inhibitor, clade I (neuroserpin), member 1
NCBI Organism
Homo sapiens
User Note
Optimal dilutions for each application to be determined by the researcher.

Note: The presented information and documents (Manual, Product Datasheet, Safety Datasheet and Certificate of Analysis) correspond to our latest update and should serve for orientational purpose only. We do not guarantee the topicality. We would kindly ask you to make a request for specific requirements, if necessary.

All products are intended for research use only (RUO). Not for human, veterinary or therapeutic use.

Amount: 100 uL
Available: In stock
available

Compare

Add to wishlist

Get an offer

Request delivery time

Ask a technical question

Submit a bulk request

Questions about this Product?
 
Close