Comparison

DICER1 Antibody

Item no. PRS-16-238-100uL
Manufacturer ProSci
Amount 100 uL
Quantity options 100 uL
Category
Type Antibody Primary
Format Liquid
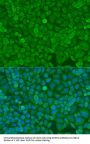
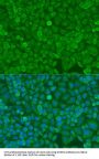
Applications IF
Specific against Human (Homo sapiens)
Host Rabbit
Isotype IgG
Conjugate/Tag Unconjugated
NCBI DICER1
ECLASS 10.1 32160702
ECLASS 11.0 32160702
UNSPSC 12352203
Alias DCR1,Dicer,Dicer1e,GLOW,HERNA,K12H4.8-LIKE,MNG1,RMSE2,endoribonuclease Dicer,Dicer1,Dcr-1 homolog,dicer 1,double-stranded RNA-specific endoribonuclease,dicer 1,ribonuclease type III,helicase MOI,helicase with RNAse motif
Shipping Condition Cool pack
Available
Specificity Human
Manufacturer - Type
Primary Antibodies
Shipping Temperature
Blue Ice
Storage Conditions
Store at -20˚ C. Avoid freeze / thaw cycles.
Manufacturer - Research Area
Other
Background
This gene encodes a protein possessing an RNA helicase motif containing a DEXH box in its amino terminus and an RNA motif in the carboxy terminus. The encoded protein functions as a ribonuclease and is required by the RNA interference and small temporal RNA (stRNA) pathways to produce the active small RNA component that represses gene expression. Alternative splicing results in multiple transcript variants.
By Type
Other
Modifications
None
Purification
Affinity purification
Concentration
batch dependent
Buffer
PBS with 0.02% sodium azide, 50% glycerol, pH7.3.
Application Note
IF: 1:50 - 1:200
Immunogen
A synthetic peptide corresponding to a sequence within amino acids 350-450 of human DICER1 (NP_001258211.1).
Clonality
Polyclonal
NCBI Official Name
dicer 1, ribonuclease III
NCBI Organism
Homo sapiens
User Note
Optimal dilutions for each application to be determined by the researcher.

Note: The presented information and documents (Manual, Product Datasheet, Safety Datasheet and Certificate of Analysis) correspond to our latest update and should serve for orientational purpose only. We do not guarantee the topicality. We would kindly ask you to make a request for specific requirements, if necessary.

All products are intended for research use only (RUO). Not for human, veterinary or therapeutic use.

Amount: 100 uL
Available: In stock
available

Compare

Add to wishlist

Get an offer

Request delivery time

Ask a technical question

Submit a bulk request

Questions about this Product?
 
Close