Comparison

PTPN1 Antibody, KO Validated

Item no. PRS-16-310-100uL
Manufacturer ProSci
Amount 100 uL
Quantity options 100 uL
Category
Type Antibody Primary
Format Liquid
Applications WB, IF, IHC
Specific against Human (Homo sapiens), Mouse (Murine, Mus musculus), Rat (Rattus norvegicus)
Host Rabbit
Isotype IgG
Conjugate/Tag Unconjugated
NCBI PTPN1
ECLASS 10.1 32160702
ECLASS 11.0 32160702
UNSPSC 12352203
Alias PTPN1,PTP1B
Shipping Condition Cool pack
Available
Specificity Human,Mouse,Rat
Manufacturer - Type
Primary Antibodies
Shipping Temperature
Blue Ice
Storage Conditions
Store at -20˚ C. Avoid freeze / thaw cycles.
Molecular Weight
Observed: 50kDa
Manufacturer - Research Area
Cell Cycle, Immunology, Signal Transduction
Background
The protein encoded by this gene is the founding member of the protein tyrosine phosphatase (PTP) family, which was isolated and identified based on its enzymatic activity and amino acid sequence. PTPs catalyze the hydrolysis of the phosphate monoesters specifically on tyrosine residues. Members of the PTP family share a highly conserved catalytic motif, which is essential for the catalytic activity. PTPs are known to be signaling molecules that regulate a variety of cellular processes including cell growth, differentiation, mitotic cycle, and oncogenic transformation. This PTP has been shown to act as a negative regulator of insulin signaling by dephosphorylating the phosphotryosine residues of insulin receptor kinase. This PTP was also reported to dephosphorylate epidermal growth factor receptor kinase, as well as JAK2 and TYK2 kinases, which implicated the role of this PTP in cell growth control, and cell response to interferon stimulation. Two transcript variants encoding different isoforms have been found for this gene.
By Type
Cell Cycle, Immunology, Signal Transduction
Badges
KO
Modifications
None
Purification
Affinity purification
Validation
Antibody is Knockout validated.
Positive Control 1
BT-474
Positive Control 2
SKOV3
Positive Control 3
U-251MG
Positive Control 4
Mouse brain
Positive Control 5
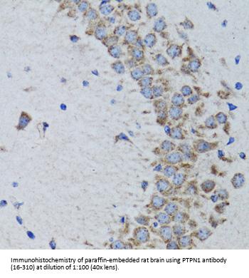
Rat brain
Concentration
batch dependent
Buffer
PBS with 0.02% sodium azide, 50% glycerol, pH7.3.
Application Note
WB: 1:500 - 1:2000
IHC: 1:50 - 1:200
IF: 1:10 - 1:100
Immunogen
Recombinant fusion protein containing a sequence corresponding to amino acids 281-435 of human PTPN1 (NP_002818.1).
Clonality
Polyclonal
NCBI Official Name
protein tyrosine phosphatase, non-receptor type 1
NCBI Organism
Homo sapiens
User Note
Optimal dilutions for each application to be determined by the researcher.
Validation
Antibody is Knockout validated.

Note: The presented information and documents (Manual, Product Datasheet, Safety Datasheet and Certificate of Analysis) correspond to our latest update and should serve for orientational purpose only. We do not guarantee the topicality. We would kindly ask you to make a request for specific requirements, if necessary.

All products are intended for research use only (RUO). Not for human, veterinary or therapeutic use.

Amount: 100 uL
Available: In stock
available

Compare

Add to wishlist

Get an offer

Request delivery time

Ask a technical question

Submit a bulk request

Questions about this Product?
 
Close