Comparison

PROS1 Antibody

Item no. PRS-16-337-100uL
Manufacturer ProSci
Amount 100 uL
Quantity options 100 uL
Category
Type Antibody Primary
Format Liquid
Applications WB
Specific against Human (Homo sapiens), Mouse (Murine, Mus musculus), Rat (Rattus norvegicus)
Host Rabbit
Isotype IgG
Conjugate/Tag Unconjugated
NCBI PROS1
ECLASS 10.1 32160702
ECLASS 11.0 32160702
UNSPSC 12352203
Alias PROS,PS21,PS22,PS23,PS24,PS25,PSA,THPH5,THPH6,vitamin K-dependent protein S,protein S (alpha),protein Sa,vitamin K-dependent plasma protein S
Shipping Condition Cool pack
Available
Specificity Human,Mouse,Rat
Manufacturer - Type
Primary Antibodies
Shipping Temperature
Blue Ice
Storage Conditions
Store at -20˚ C. Avoid freeze / thaw cycles.
Molecular Weight
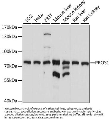
Observed: 75kDa
Manufacturer - Research Area
Other
Background
This gene encodes a vitamin K-dependent plasma protein that functions as a cofactor for the anticoagulant protease, activated protein C (APC) to inhibit blood coagulation. It is found in plasma in both a free, functionally active form and also in an inactive form complexed with C4b-binding protein. Mutations in this gene result in autosomal dominant hereditary thrombophilia. An inactive pseudogene of this locus is located at an adjacent region on chromosome 3. Alternative splicing results in multiple transcript variants encoding different isoforms that may undergo similar processing to generate mature protein.
By Type
Other
Modifications
None
Purification
Affinity purification
Positive Control 1
LO2
Positive Control 2
HeLa
Positive Control 3
293T
Positive Control 4
Mouse liver
Positive Control 5
Mouse kidney
Positive Control 6
Rat liver
Concentration
batch dependent
Buffer
PBS with 0.02% sodium azide, 50% glycerol, pH7.3.
Application Note
WB: 1:500 - 1:2000
Immunogen
Recombinant fusion protein containing a sequence corresponding to amino acids 405-676 of human PROS1 (NP_000304.2).
Clonality
Polyclonal
NCBI Official Name
protein S
NCBI Organism
Homo sapiens
User Note
Optimal dilutions for each application to be determined by the researcher.

Note: The presented information and documents (Manual, Product Datasheet, Safety Datasheet and Certificate of Analysis) correspond to our latest update and should serve for orientational purpose only. We do not guarantee the topicality. We would kindly ask you to make a request for specific requirements, if necessary.

All products are intended for research use only (RUO). Not for human, veterinary or therapeutic use.

Amount: 100 uL
Available: In stock
available

Compare

Add to wishlist

Get an offer

Request delivery time

Ask a technical question

Submit a bulk request

Questions about this Product?
 
Close