Comparison

UGT2B15 Antibody

Item no. PRS-16-699-100uL
Manufacturer ProSci
Amount 100 uL
Quantity options 100 uL
Category
Type Antibody Primary
Format Liquid
Applications WB, IHC
Specific against Human (Homo sapiens), Mouse (Murine, Mus musculus), Rat (Rattus norvegicus)
Host Rabbit
Isotype IgG
Conjugate/Tag Unconjugated
NCBI UGT2B15
ECLASS 10.1 32160702
ECLASS 11.0 32160702
UNSPSC 12352203
Alias UGT2B15,UGT2B8,HLUG4,UDPGTH3,UDPGT 2B8,UDPGT2B15
Shipping Condition Cool pack
Available
Specificity Human,Mouse,Rat
Manufacturer - Type
Primary Antibodies
Shipping Temperature
Blue Ice
Storage Conditions
Store at -20˚ C. Avoid freeze / thaw cycles.
Molecular Weight
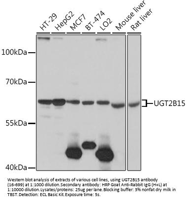
Observed: 61kDa
Manufacturer - Research Area
Cell Cycle, Growth Factors, Signal Transduction
Background
This gene encodes a glycosyltransferase that is invovled in the metabolism and elimination of toxic compounts, both endogenous and of xenobiotic origin. This gene plays a role in the regulation of estrogens and androgens. This locus is present in a cluster of similar genes and pseudogenes on chromosome 4.
By Type
Cell Cycle, Growth Factors, Signal Transduction
Modifications
None
Purification
Affinity purification
Positive Control 1
HT-29
Positive Control 2
HepG2
Positive Control 3
MCF7
Positive Control 4
BT-474
Positive Control 5
LO2
Positive Control 6
Mouse liver
Concentration
batch dependent
Buffer
PBS with 0.02% sodium azide, 50% glycerol, pH7.3.
Application Note
WB: 1:500 - 1:2000
IHC: 1:100 - 1:200
Immunogen
Recombinant fusion protein containing a sequence corresponding to amino acids 60-190 of human UGT2B15 (NP_001067.2).
Clonality
Polyclonal
NCBI Official Name
UDP glucuronosyltransferase 2 family, polypeptide B15
NCBI Organism
Homo sapiens
User Note
Optimal dilutions for each application to be determined by the researcher.

Note: The presented information and documents (Manual, Product Datasheet, Safety Datasheet and Certificate of Analysis) correspond to our latest update and should serve for orientational purpose only. We do not guarantee the topicality. We would kindly ask you to make a request for specific requirements, if necessary.

All products are intended for research use only (RUO). Not for human, veterinary or therapeutic use.

Amount: 100 uL
Available: In stock
available

Compare

Add to wishlist

Get an offer

Request delivery time

Ask a technical question

Submit a bulk request

Questions about this Product?
 
Close