Comparison

ARHGEF5 Antibody

Item no. PRS-16-836-100uL
Manufacturer ProSci
Amount 100 uL
Quantity options 100 uL
Category
Type Antibody Primary
Format Liquid
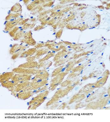
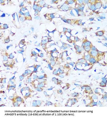
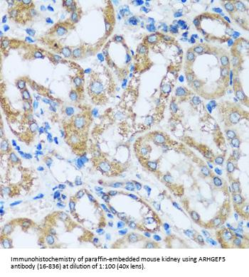
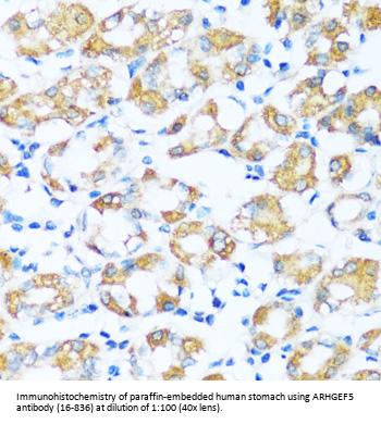
Applications IF, IHC
Specific against Human (Homo sapiens), Mouse (Murine, Mus musculus), Rat (Rattus norvegicus)
Host Rabbit
Isotype IgG
Conjugate/Tag Unconjugated
NCBI ARHGEF5
ECLASS 10.1 32160702
ECLASS 11.0 32160702
UNSPSC 12352203
Alias ARHGEF5,Rho guanine nucleotide exchange factor (GEF) 5,DKFZp686N1969,GEF5,P60,TIM,TIM1,guanine nucleotide regulatory protein TIM,oncogene TIM rho guanine nucleotide exchange factor 5,transforming immortalized mammary oncogene
Shipping Condition Cool pack
Available
Specificity Human,Mouse,Rat
Manufacturer - Type
Primary Antibodies
Shipping Temperature
Blue Ice
Storage Conditions
Store at -20˚ C. Avoid freeze / thaw cycles.
Manufacturer - Research Area
Signal Transduction
Background
Rho GTPases play a fundamental role in numerous cellular processes initiated by extracellular stimuli that work through G protein coupled receptors. The encoded protein may form a complex with G proteins and stimulate Rho-dependent signals. This protein may be involved in the control of cytoskeletal organization.
By Type
Signal Transduction
Modifications
None
Purification
Affinity purification
Concentration
batch dependent
Buffer
PBS with 0.02% sodium azide, 50% glycerol, pH7.3.
Application Note
IHC: 1:50 - 1:200
IF: 1:50 - 1:200
Immunogen
Recombinant fusion protein containing a sequence corresponding to amino acids 1248-1597 of human ARHGEF5 (NP_005426.2).
Clonality
Polyclonal
NCBI Official Name
Rho guanine nucleotide exchange factor (GEF) 5
NCBI Organism
Homo sapiens
User Note
Optimal dilutions for each application to be determined by the researcher.

Note: The presented information and documents (Manual, Product Datasheet, Safety Datasheet and Certificate of Analysis) correspond to our latest update and should serve for orientational purpose only. We do not guarantee the topicality. We would kindly ask you to make a request for specific requirements, if necessary.

All products are intended for research use only (RUO). Not for human, veterinary or therapeutic use.

Amount: 100 uL
Available: In stock
available

Compare

Add to wishlist

Get an offer

Request delivery time

Ask a technical question

Submit a bulk request

Questions about this Product?
 
Close