Comparison

CTSK Antibody

Item no. PRS-18-119-100uL
Manufacturer ProSci
Amount 100 uL
Quantity options 100 uL
Category
Type Antibody Primary
Format Liquid
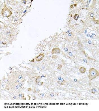
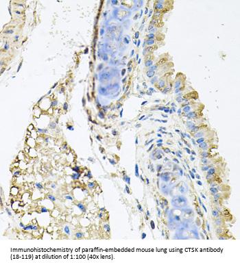
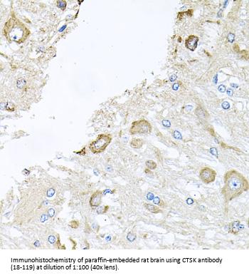
Applications WB, IHC
Specific against Mouse (Murine, Mus musculus), Rat (Rattus norvegicus), Duck (Anas platyrhynchos domesticus)
Host Rabbit
Isotype IgG
Conjugate/Tag Unconjugated
NCBI CTSK
ECLASS 10.1 32160702
ECLASS 11.0 32160702
UNSPSC 12352203
Alias CTSK,cathepsin K,CTS02,CTSO,CTSO1,CTSO2,MGC23107,PKND,PYCD,cathepsin K (pycnodysostosis),cathepsin O1,cathepsin O2,cathepsin X
Shipping Condition Cool pack
Available
Specificity Mouse,Rat,Duck
Manufacturer - Type
Primary Antibodies
Shipping Temperature
Blue Ice
Storage Conditions
Store at -20˚ C. Avoid freeze / thaw cycles.
Molecular Weight
Observed: 41kDa
Manufacturer - Research Area
Cancer, Cell Cycle, Neuroscience, Signal Transduction
Background
The protein encoded by this gene is a lysosomal cysteine proteinase involved in bone remodeling and resorption. This protein, which is a member of the peptidase C1 protein family, is predominantly expressed in osteoclasts. However, the encoded protein is also expressed in a significant fraction of human breast cancers, where it could contribute to tumor invasiveness. Mutations in this gene are the cause of pycnodysostosis, an autosomal recessive disease characterized by osteosclerosis and short stature.
By Type
Cancer, Cell Cycle, Neuroscience, Signal Transduction
Modifications
None
Purification
Affinity purification
Positive Control 1
Mouse liver
Concentration
batch dependent
Buffer
PBS with 0.02% sodium azide, 50% glycerol, pH7.3.
Application Note
WB: 1:500 - 1:2000
IHC: 1:50 - 1:100
Immunogen
Recombinant fusion protein containing a sequence corresponding to amino acids 115-329 of human CTSK (NP_000387.1).
Clonality
Polyclonal
NCBI Official Name
cathepsin K
NCBI Organism
Homo sapiens
User Note
Optimal dilutions for each application to be determined by the researcher.

Note: The presented information and documents (Manual, Product Datasheet, Safety Datasheet and Certificate of Analysis) correspond to our latest update and should serve for orientational purpose only. We do not guarantee the topicality. We would kindly ask you to make a request for specific requirements, if necessary.

All products are intended for research use only (RUO). Not for human, veterinary or therapeutic use.

Amount: 100 uL
Available: In stock
available

Compare

Add to wishlist

Get an offer

Request delivery time

Ask a technical question

Submit a bulk request

Questions about this Product?
 
Close